只要是醒着,王奶奶(化姓)的眼睛、嘴巴、脖子、手总在不由自主地抽动、舞动,寒冬腊月里也会因持续乱动累得冒汗。究其根源,原是她长期不规律管控糖尿病,损伤了大脑运动协调区。
从嘴角抽动到手“舞动”
家住揭阳的王奶奶今年79岁。去年10月底,她的嘴角开始不受控制地抽动,“就算没吃东西,看着也像在不停咀嚼”,儿子林强(化名)回忆。随后他先后两次陪同母亲到当地两家医院检查,都仅查出脑萎缩,服药后症状毫无改善,彼时王奶奶吃饭、日常起居仍正常。
很快,王奶奶的眼睛开始不受控制地频繁眨动;去年12月起,左手出现异常,手指不受控地弯曲、乱抓,手掌不停摇摆,她总说“感觉体内筋骨都在转,脖子到肩膀都在跟着动”。
从嘴角到眼睛,再到脖子、手掌,除了睡觉,只要清醒就不停乱动。林强担心母亲的脑萎缩加重,遂带母亲来到广东三九脑科医院。
高血糖“烧坏”大脑纹状体
该院神经内一科副主任匡祖颖接诊后,详细询问病史、查体,结合影像学检查,很快锁定病因——非酮症高血糖性偏侧舞蹈症,是糖尿病引发的罕见神经系统并发症。

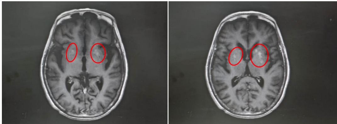
影像检查显示双侧基底节区异常信号
原来,王奶奶两年前就查出高血糖,却未规律服药,只在感觉血糖升高时吃点降糖药。入院空腹血糖13mmol/L,餐后血糖高达21mmol/L,是正常值的两倍。匡祖颖解释,这种病多见于血糖控制不佳的群体,核心诱因是血糖升高“烧坏”了大脑深部的纹状体。
纹状体是基底节的关键部分,负责协调和控制动作。当血糖长期严重升高时,会持续损伤这一区域,导致功能紊乱、指令失控,进而出现单侧肢体、面部不自主的舞蹈样动作,这正是王奶奶“停不下来”的根源。

王展航及团队在查房
神经内一科团队为王奶奶制定了控糖方案,同时辅以药物改善不自主运动。仅治疗一周,王奶奶逐渐恢复平静,嘴、手的乱动症状基本消失,“已经好了七八成”,林强悬着的心终于放下。
该院院长、神经内科专家王展航介绍,非酮症高血糖性偏侧舞蹈症虽罕见,但轻则影响生活、消耗体力,重则因不自主运动导致跌倒、受伤,若长期拖延,高血糖会持续损伤大脑。在此提醒糖尿病患者及家属:一是规律控糖,遵医嘱按时服药、定期监测血糖,切勿“凭感觉吃药”,二要警惕异常信号,老年糖尿病患者若突发单侧肢体不自主舞动、面部抽动、挤眉弄眼等症状,优先排查血糖,及时到神经内科就诊。
文、图/广州日报新花城记者:梁超仪 实习生:唐彩妮 通讯员:张叶美
视频/广州日报新花城记者:梁超仪 实习生:唐彩妮
广州日报新花城编辑:吴婉虹