感冒后想靠汗蒸“排毒”,34岁男子两天内猛汗蒸三次,不料头晕手抖、步态不稳。一查竟是汗蒸脱水导致血液浓缩,脑静脉系统“排水”异常,诱发脑静脉窦血栓。专家介绍,这是一种罕见却危险的中风。
感冒后连续汗蒸三次,突然晕倒
34岁的阿杨(化名)是一名销售员,下班后常与朋友打麻将,一坐就是五六个小时,常常深夜12点后才散场,偶尔还去吃顿宵夜,假期更是常常熬到凌晨三点才休息。
前段时间,阿杨出现流鼻涕、低烧等感冒症状,用热水淋头感觉缓解,便想高温汗蒸“排毒”。短短两天内,他先后汗蒸了3次,每次近一小时,其间几乎没喝水。第3次汗蒸结束后,阿杨用钥匙开柜子取衣物时,发现钥匙插不进去,“感觉头很晕、手抖”,随即晕倒在地。紧急送医检查却未见异常,他便返回了工作岗位。
但阿杨的精神状态越来越差,“站着就想睡觉,手脚没力气,走路会晃”。他再次前往医院进行头部检查,这次终于发现了问题。为寻求进一步诊疗,阿杨来到广东三九脑科医院。
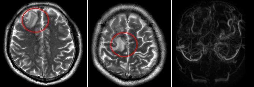
该院神经内二科陈婉洁医生接诊患者后,通过详细问诊和查体,高度怀疑静脉窦血栓形成。在科室主任钟水生指导下,紧急安排了相关检查。头颅磁共振检查显示:右侧颈内静脉、双侧乙状窦、横窦、窦汇、上矢状窦多发血栓,伴静脉淤积性脑梗死。

患者头颅磁共振检查
年轻人和育龄期女性尤其要当心
“脑静脉窦血栓形成是一种相对罕见的中风类型,发病率虽不高,但后果严重。”钟水生用通俗的语言解释说,大脑里有一套“排水系统”——脑静脉和静脉窦,负责清除代谢废物、调节颅内压力等。正常情况下,血液流动顺畅,大脑“排水”正常。一旦形成血栓,静脉回流受阻,大脑“排水”异常,形成颅内高压、静脉淤积性脑梗死或出血,引发头痛、呕吐、四肢抽搐、视物模糊、一侧肢体无力或麻木、意识模糊等症状,严重时甚至形成脑疝,危及生命。
钟水生进一步解释,当人体因饮水不足、大量出汗等导致严重脱水时,使得血液浓缩、血流缓慢,就容易诱发脑静脉窦血栓。汗蒸本身无害,但“只蒸不补”会让身体陷入危险的高凝状态。阿杨正是在短期内频繁高温汗蒸且未及时补液,导致脑子“缺水”,形成脑静脉窦血栓。
该病尤其偏爱长期久坐的年轻人群和育龄期女性。钟水生提醒,大量出汗后应及时补足水分;孕妇、长期服用避孕药的女性、有血栓家族史人群等高危人群,应谨慎进行汗蒸等活动。
幸运的是,经过及时对症治疗,阿杨恢复良好,顺利出院。
文、图/广州日报新花城记者:梁超仪 实习生:唐彩妮 通讯员:张叶美
广州日报新花城编辑:魏丽娜