年味渐浓,家家户户忙着置办年货,期盼着团圆温馨的春节。但在这份热闹期盼中,一种“隐形威胁”正悄然潜伏——鹦鹉热衣原体肺炎进入了高发期。
记者获悉,最近10天内,广医附属番禺中心医院呼吸与危重医学科一区连续接诊两例持续高热、肺部广泛感染的病例,经诊断均为鹦鹉热衣原体肺炎。
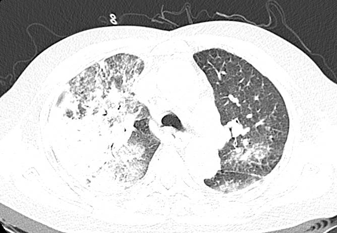
这两位患者症状相似:68岁的黎阿姨(化名)因饲养家鹅后突发高热、干咳,胸部CT显示双肺大面积感染,右肺几乎呈“白肺”;50岁的刘大哥(化名)因从事饲料批发工作常接触鸡群,同样出现不明原因的超高热,影像学也呈现典型的“白肺”表现。两位患者均因高热难退转入广医附属番禺中心医院。
接诊医生通过重点追问禽类接触史这一关键环节,迅速将诊断方向锁定为“鹦鹉热衣原体肺炎”。随后,通过气管镜肺泡灌洗检查和检测结果显示二人为鹦鹉热衣原体感染。

医务人员为患者行气管镜肺泡灌洗检查
经针对性抗感染治疗,黎阿姨与刘大哥分别在用药后第3天和第2天体温恢复正常,并先后康复出院。这两个病例清晰地证明,对于突发高热伴快速进展肺炎的患者,详尽的环境与职业暴露史问诊是避免误诊、实现精准早期治疗的决定性一步。


什么是鹦鹉热?医生介绍说,鹦鹉热是由鹦鹉热衣原体引起的一种人畜共患传染病,虽不常见,但起病急、易进展为重症肺炎。该病原体主要通过呼吸道传播,也可经接触或消化道途径感染。不仅鹦鹉、鸽子等观赏鸟类可能携带,鸡、鸭、鹅等常见家禽同样是潜在传染源。


感染后有哪些表现?最典型的症状为持续高热、剧烈头痛和全身肌肉酸痛。部分患者可伴咳嗽、乏力、恶心呕吐或腹泻。病情若迁延,可能引起肝功能异常、败血症等并发症,严重者甚至出现多器官功能衰竭,危及生命。
◆如何预防鹦鹉热?
春节前后,宰禽备菜、逛花鸟市场等活动增多,做好防护尤为重要:
1.购买禽鸟请选择正规渠道,避免收养来历不明、未经检疫的鸟类;
2.饲养环境保持通风,定期清洁消毒鸟笼,清理粪便、羽毛时请佩戴口罩和手套;
3.避免与禽类过度亲密接触,喂食、互动后务必彻底洗手;
4.购买活禽时保持距离,食用禽肉、蛋类务必彻底煮熟;
5.若不慎被鸟禽抓伤、啄伤,立即清洁消毒伤口,并密切观察健康状况;
6.如出现不明原因发热、肺炎等症状,就诊时请主动告知禽类、鸟类接触史。
该医生提醒,年味渐浓,大家在享受烹鸡宰鹅、游逛花鸟市场的传统年趣时,也别忘了呵护健康。建议佩戴口罩、勤洗手、多通风,如出现发热、咳嗽等不适,请及时就医并主动说明相关接触史。愿大家岁岁安康,团圆喜乐,过一个健康祥和的新春佳节。
文、图/广州日报新花城记者:肖桂来 通讯员:高佳波
广州日报新花城编辑:时秀芙