“肿瘤”两字本来就让人闻之色变,如果它还卡在身体最重要的动静脉深处,紧贴着周围密布的重要血管、神经、器官组织,这可如何是好?近日,南方医科大学第三附属医院泌尿外科团队操控新一代手术机器人,通过一个隐藏于肚脐的3厘米小孔,成功完成了一场精准的微创手术,既完整切除了肿瘤,又保护了所有重要功能。
这是该院泌尿肾病医学中心成立后成功拿下的一场“漂亮仗”。据悉,为了更好服务前列腺癌根治、腹膜后肿瘤切除、复杂肾部分切除等各类需要高精度手术的患者,南医三院深度融合以微创外科技术为特色的泌尿外科与肾内科专业力量,正式成立了这一多学科协作的医学中心。
肿瘤长在“最不该长的地方”
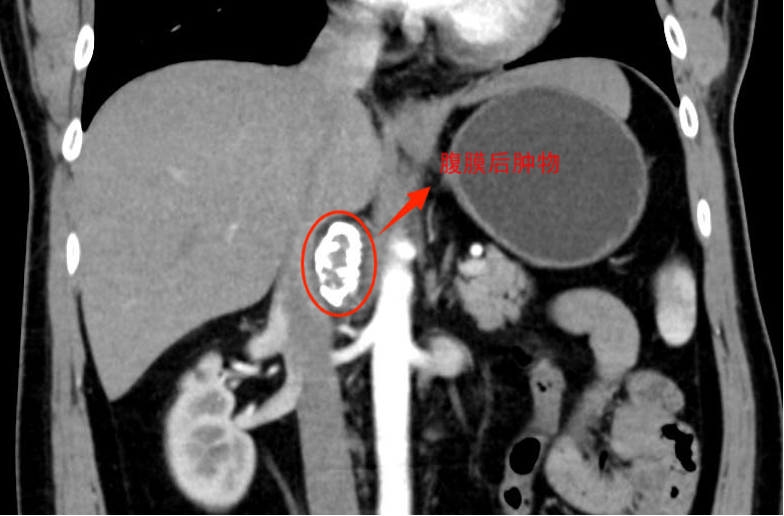
广州市民梁先生(化名)在体检中发现,腹膜后有一个约4厘米的占位,随后被确诊为一种较为罕见的神经内分泌肿瘤——副神经节瘤。虽然多数为良性,但它的特殊性质与所在位置被视为高风险病灶。
“这个位置,用我们外科医生的话说,是‘最不该长肿瘤的地方’之一。”南医三院泌尿外科主任刘存东教授解释。肿瘤被“卡”在了人体最粗的腹主动脉和下腔静脉之间。周围毫米级的狭小空间内,密布着为肠道供血的关键动脉、肾动脉、肾静脉,以及十二指肠、胰腺等重要器官和神经。

一个小孔,挑战“精密仪器内的无损维修”
“在这个区域做手术,每一步都要求绝对的精准,就像在错综复杂的精密仪器内部进行无损维修。”刘存东介绍,为应对这一极高难度挑战,团队制定了机器人辅助单孔腹腔镜手术方案。与传统手术相比,新一代手术机器人系统带来了关键优势:其三维高清视野可放大10倍,让医生拥有了“显微眼”,能清晰辨别最细微的血管和神经层次;其仿生机械臂具备7个自由度,能滤除人手的自然颤动,在固定狭小的空间内实现比人手更稳定、更灵活的“毫米级”操作。
手术中,通过一个隐藏于脐部的约3厘米小切口,手术团队操控机械臂,在放大视野下小心翼翼地进行精细分离。历时约3小时,肿瘤被完整剥离并取出,整个过程中出血量不足50毫升,所有毗邻的重要血管和脏器均得到完好保护。
学科协作:共同守护肾功能健康
刘存东介绍,此类高难度手术的常规化开展,要求专科拥有微创技术领域的长期积累。而在该院泌尿外科,机器人辅助技术已被广泛应用于前列腺癌根治、腹膜后肿瘤切除、复杂肾部分切除等各类高精度手术中。近期全新成立的泌尿肾病医学中心,也深度融合了泌尿外科与肾内科的专业力量,能够运用单孔腹腔镜技术及各类腔内技术,为肾病内科诊治的梗阻性肾病患者(如输尿管狭窄、结石梗阻等)提供及时、微创的解决方案,有效解除梗阻、引流肾积水,从而保护肾功能,延缓肾病的恶化。
据悉,未来这一平台将进一步打破学科壁垒,优化诊疗路径,共同为泌尿系统与肾脏疾病患者提供从诊断、微创治疗到长期功能维护与康复的“一站式”整合医疗服务。
文/广州日报新花城记者:周洁莹 通讯员:董莹
广州日报新花城编辑:林霞虹