“脑袋里竟藏着拳头大的肿瘤,没想到我还能自己走着出院!”54岁的陈叔(化名)意外发现颅底巨大脑膜瘤,一度面临生命危险。在广州医科大学附属肿瘤医院神经外科团队精准施治下,成功完整切除肿瘤,不仅保全了神经功能,更让他重拾运动能力。
陈叔是一位马拉松运动爱好者,常年参加马拉松比赛,平时也规律地进行长跑训练。身体一向良好的他,几乎每年体检都是绿灯,未察觉有何异常。
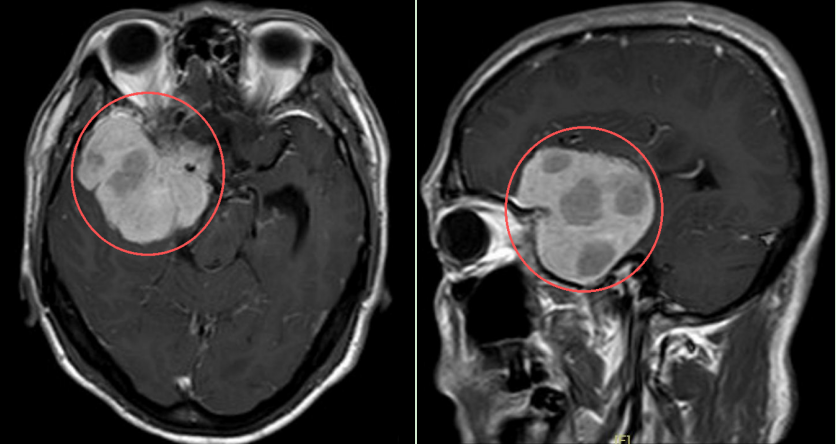
然而,从2025年10月起,他在跑步途中频繁在转弯处摔倒,偶尔还感觉一侧手脚乏力,起初并未放在心上。但随着摔跤次数不断增多,又无明显诱因地出现持续一周的头痛,他和家人终于警觉起来。同年11月中旬陈叔家人带他在当地医院做了一次检查,结果出来,医生发现他右额颞部蝶骨嵴占位病变,大小约5.5x6.6x5.8厘米,是考虑脑膜瘤。

陈叔和家人很担心,检查后的第二天便赶到广州医科大学附属肿瘤医院神经外科就诊,寻求进一步治疗。
该院神经外科彭彪主任、姚谦明教授等迅速牵头组织多学科会诊(MDT)。鉴于肿瘤体积巨大、位置较深,考虑为右侧额颞蝶骨嵴内侧型巨大脑膜瘤,肿瘤突入垂体窝和斜坡,环绕颈内动脉及分支、视神经等重要结构,压迫脑干,并且陈叔已经出现肢体乏力、视力受损、视物重影等进行性神经功能缺损症状,手术的难度和风险极高。但如果不及时干预,肿瘤可能进一步压迫脑组织,可导致陈叔出现偏瘫、失明甚至危及生命,到底该怎么办?
专家们围绕肿瘤的性质、手术入路选择、术中神经功能保护策略以及围术期管理等关键问题展开深入讨论,一致认为,虽然手术极具挑战——肿瘤所处位置特别危险,它被视神经和给大脑供血的大血管紧紧环绕,后面还靠近调控呼吸、心跳的“生命中枢”脑干——但却是目前最有效的治疗手段。这场争分夺秒的多学科“头脑风暴”,为后续精准、安全的手术实施奠定了坚实基础。

手术在高倍显微镜下进行,该院神经外科主任彭彪带领团队精准判断肿瘤边界,操作如“绣花”般细致,一分一毫谨慎分离,尤如在刀尖上行走,既要避免损伤视神经导致视力丧失,又要保护颈内动脉及其分支,在控制出血的同时确保大脑整体血供稳定。经过近8个小时的精细操作,肿瘤被完整切除,重要神经血管结构完好保留。术后,陈叔恢复良好,很快顺利出院。医生鼓励他积极康复,后续或有望重回马拉松赛场。
科普一刻
什么是脑膜瘤?
脑膜瘤是起源于脑膜——即覆盖大脑和脊髓的三层保护膜(尤其是蛛网膜帽细胞)的一类常见颅内肿瘤,可出现在颅内任何有脑膜覆盖的区域,常见于矢状窦旁、大脑凸面、蝶骨嵴、嗅沟及颅底等位置。
脑膜瘤大多数是良性的,生长缓慢,病程隐匿,早期常无症状,常在体检或因其他症状检查时偶然发现。
广州医科大学附属肿瘤医院神经外科专家提醒,若出现不明原因的持续头痛、视力模糊、单侧肢体乏力、嗅觉或听力下降、新发癫痫等,应及时就医,做头部影像检查,早发现、早干预。
医学指导/广州医科大学附属肿瘤医院 神经外科主任 彭彪 主任医师
文/广州日报新花城记者:翁淑贤 通讯员:鲁旭、魏彤
图/广州日报新花城记者:翁淑贤 通讯员:鲁旭、魏彤
视频/广州日报新花城记者:翁淑贤 通讯员:鲁旭、魏彤
广州日报新花城编辑:李津