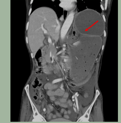
前一阵,59岁的肖姨(化名)进食后突然上腹剧痛、腹胀如鼓、恶心想吐却吐不出来。她到广州医科大学附属第三医院(以下简称“广医三院”)消化内科就诊。本以为是食物不干净吃坏了肚子,没想到CT影像结果出来,医生发现她的胃扭转了270度,胃幽门扭转到膈肌下,十二指肠也被牵拉旋转到了左侧,整个胃被气体和内容物撑得巨大,不仅自身濒临缺血坏死,还使得临近的十二指肠和胰腺受到牵拉和压迫,引发了急性胰腺炎。

CT影像结果可见胃扭转(箭头所示)
情况危急!广医三院消化内科医生坦言,若不及时处理,可能出现胃壁缺血坏死、穿孔,引发严重的弥漫性腹膜炎和感染性休克。同时,胰液大量渗出会“消化”自身及周围组织,可能导致重症胰腺炎伴多器官功能衰竭。
诊断明确后,医生连夜为肖姨施行了“胃扭转复位手术”,将扭转的胃复位,并切除了部分已缺血坏死的胃壁。术后,她腹痛、腹胀等症状明显缓解,很快脱离危险,目前已顺利出院。
知多D
胃扭转到底是怎么回事?
胃扭转,顾名思义,就是胃的正常位置发生了异常旋转。据广医三院消化内科医生介绍,胃扭转发生时,就像一个被拧了一把的袋子,入口(贲门)和出口(幽门)可能被堵塞,导致胃内容物和气体无法通过。
根据发病缓急,胃扭转可分为急性和慢性两种类型。像肖姨遭遇的就是急性胃扭转,因起病急、进展快,未及时有效干预可导致胃缺血、穿孔等严重并发症,还可能“牵连”到胰腺炎,引发急性胰腺炎。对于不明原因的上腹痛、腹胀患者,尤其是伴有胃扩张、呕吐困难时,应及早完善影像检查,警惕胃扭转的可能,以便及时干预。
文/广州日报新花城记者:翁淑贤 通讯员:碗旭照
图/广州日报新花城记者:翁淑贤 通讯员:碗旭照
视频/广州日报新花城记者:翁淑贤
广州日报新花城编辑:何雪华