在公众的认知里,腰背痛很容易和腰肌劳损、腰椎出问题“绑定”在一起,但事实真的如此吗?
50岁的李女士(化名)被腰痛困扰近一年,她辗转求医,先后被诊断为“腰肌劳损”“腰椎小关节紊乱”,理疗、推拿等保守治疗也试了个遍,但腰痛仍然反复。
前一阵前往广州医科大学附属第三医院(简称“广医三院”)就诊,才发现病根居然藏在胸椎中!明确诊断后,在椎间孔镜下,医生为她实施了微创手术,术后疼痛基本消失,目前已顺利出院。
女子腰痛反复 病根竟在胸椎
李女士近一年来被右侧腰背部的反复疼痛缠上了身。她跑了多家医院,得到的诊断不是“腰肌劳损”,就是“小关节紊乱”,理疗、推拿等保守治疗也试了个遍。原以为这些常规疗法能缓解不适,可疼痛不仅没有根治,反而越来越重,连日常的生活和工作都明显受影响,让她身心俱疲。
前一阵,她前往广医三院脊柱外科就诊。接诊的主任医师王簕询问完病史后,又为她做了详细的检查,结果发现她的疼痛性质和典型的腰椎源性疼痛不太一样——疼痛位置更固定,且伴随的不适感与腰椎病变的常见表现有明显区别。王簕判断其病根或许不在腰椎,可能在更高位的胸椎,于是为她安排了胸椎磁共振(MRI)检查。
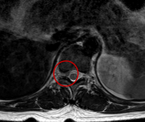
检查结果证明,李女士的胸11/12节段右侧椎间孔处有一块突出的椎间盘组织,恰好压迫到了神经根,这正是导致她一年来反复腰痛的“真凶”——胸椎间盘突出症。


检查结果显示,李女士胸11/12节段右侧椎间孔处发现一突出的椎间盘。
分两步走,微创精准除病痛
明确诊断后,脊柱外科团队针对李女士的病情和身体状况,决定为她施行分两步走的微创精准治疗:
第一步:以神经阻滞术进行诊断性治疗
在影像引导下,医生团队为李女士施行胸11/12右侧神经根阻滞术。注射完成后,她反映疼痛感显著缓解。这印证了病根在相关胸椎的诊断是正确的,也增强了她对后续治疗的信心。
第二步:施行椎间孔镜下髓核摘除根治术
在神经阻滞术确认病源的基础上,王簕主任医师团队又为李女士安排了胸椎椎间孔镜下胸11/12突出椎间盘摘除术。手术医生在内窥镜放大视野下,精确地将压迫神经的突出物摘除,完整保留了脊柱的稳定结构。
术后,李女士表示困扰她一年的疼痛基本消失了。在严密的术后观察下,她第二天便能下地行走,情况稳定,目前已顺利出院。
特别提醒
广医三院脊柱外科主任医师王簕提醒:若出现长期、顽固的腰背部疼痛,尤其是伴有特定区域麻木或无力时,应尽早到具备脊柱专科诊疗能力的医院就诊,以免延误病情。对于顽固性腰背痛,像李女士这样,常见病因无法解释时,应考虑胸椎间盘突出等相对少见的原因。
文/广州日报新花城记者:翁淑贤 通讯员:白恬、张迅恺
图/广州日报新花城记者:翁淑贤 通讯员:白恬、张迅恺
视频/广州日报新花城记者:翁淑贤 通讯员:白恬、张迅恺
广州日报新花城编辑:梁超仪