“原以为只是一根小小的牙签,没想到差点闯了大祸!”回想此前经历,术后康复中的陈先生仍心有余悸。35岁的陈先生怎么也没想到,两周前,他在喝水时误吞的一根牙签,竟让他面临消化道穿孔的严重风险。所幸,经过广州市白云区钟落潭镇卫生院外科团队及时诊疗,最终化险为夷。

“肇事”牙签
陈先生称,当天,自己喝水的时候,不慎将一根牙签对着水吞进肚子。当时,没有感到明显的不舒服,他便心存侥幸,觉得 “小问题不用小题大做”,因而没有到医院就诊。不久后,他的上腹部开始出现持续性隐痛。忍了两天,疼痛丝毫没有缓解,陈先生愈发不安,赶紧前往钟落潭镇卫生院急诊科求助。
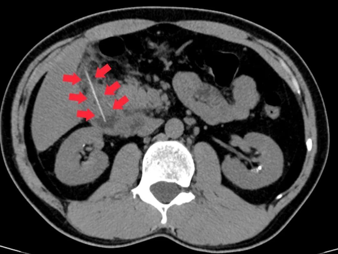
急诊科医生立即为他安排腹部CT检查,结果发现:一根牙签滞留于十二指肠降部,而且,牙签尖端已刺穿肠管壁,引发了局限性腹膜炎。

图示箭头处为异物牙签
情况危急,如果任由发展,可能导致感染扩散,甚至引发休克等严重并发症,危及生命。陈先生随即以“消化道异物并穿孔”被收治入院。
该院外科团队火速完成术前检查,科主任麦伟锦组织多学科会诊,分析CT影像后发现,穿孔处已形成局部粘连,取出时需控制牵拉力度,决定采取“消化内镜优先、手术兜底”的双保险方案。医师李伟杰在病床前,用手机放大CT影像,通俗易懂地直观讲解治疗思路,消除了患者的疑虑。
手术中,医师冯锦杭操作电子胃肠镜,清晰定位异物,娴熟操作异物钳,巧妙调整角度使牙签尖端脱离肠壁。最终,顺利将长达数厘米的“肇事”牙签完整取出,并对穿孔处进行了钛夹封闭。整个过程仅用时20分钟,创伤小、恢复快。
“幸亏医生处置及时,不然后果不堪设想。”即将康复出院的陈先生由衷感叹。

李伟杰(左)、冯锦杭(右)与陈先生(中)合照
麦伟锦借此案例特别提醒,误吞牙签、鱼刺等尖锐异物后,切忌采用吞饭团、喝醋等“土方法”,这些行为极易导致异物扎得更深、损伤加重,甚至引发大出血等致命危险。应立即停止进食,尽快前往正规医院就诊。
误吞异物后的正确处理与日常预防
胃肠道异物属常见的腹部急症,尤其是牙签、鱼刺、枣核等尖锐物品,极易划伤甚至刺穿消化道,引发感染、腹膜炎等严重后果。一旦误吞,请牢记:
▌误吞异物后,严禁自行处理,切忌强行吞咽米饭、馒头、喝醋等方法,这样会令异物越扎越深,出现并发症,增加异物取出难度。应立即到正规医院就医,及时取出异物。
▌异物卡住后,若未出现呛咳、呼吸困难、口唇青紫等窒息缺氧表现,不必过分紧张,请保持冷静,第一时间前往医院由专业医生判断处理。就医时清晰说明误吞物品、时间等详细情况,配合完成相关检查。
▌日常预防:就餐时应细嚼慢咽,尤其食用多刺、多骨或带核食物;剔牙后及时丢弃牙签,勿含咬玩耍;家长需教育儿童勿将小玩具、硬币等放入口中;老年人应注意假牙的佩戴和养护。
文、图/广州日报新花城记者:汤南 通讯员:龙嘉玉、曾颖彤、赵睿婷
广州日报新花城编辑:吴多