“血压终于稳了,头晕头痛也没了,现在终于能安心准备要宝宝了!”28岁的孔女士(化名)难掩激动。此前,被难治性高血压困扰5年的她,不仅承受着头晕、头痛的折磨,更因血压失控迟迟无法实现“当妈妈”的愿望。
近日,在中山大学附属第一医院(以下简称“中山一院”)高血压科主任、中山一院广西医院副院长夏文豪教授团队的帮助下,通过经皮导管肾动脉去交感神经消融术(RDN),顺利帮孔女士解决了难治性高血压难题,她开始安心备孕。

夏文豪团队在手术中
患高血压5年,尝试多种药物仍无法控制血压
5年前,刚步入职场的孔女士在一次体检中意外发现血压偏高,当时数值徘徊在160/96mmHg左右。“年轻人偶尔血压高很正常吧?”起初她并未在意,直到近3个月,头晕、头痛频繁发作,有时还伴随心悸,血压甚至飙升至220/124mmHg,严重时连坐在办公桌前处理文件都变得困难。
“跑了好几家大医院,药换了一轮又一轮,血压还是忽高忽低,而且吃了药总觉得恶心、乏力。”孔女士说,更让她焦虑的是,医生明确告知,血压控制不佳时怀孕,不仅会增加孕期子痫风险,还可能影响胎儿发育——这让计划备孕的她陷入绝望。
就在四处求医无门时,孔女士偶然看到夏文豪团队开展的RDN手术治疗难治性高血压的报道,已经帮好多人解决了问题。此时,夏文豪正在广西南宁推进区域医疗中心建设,带着希冀,孔女士到南宁求医。
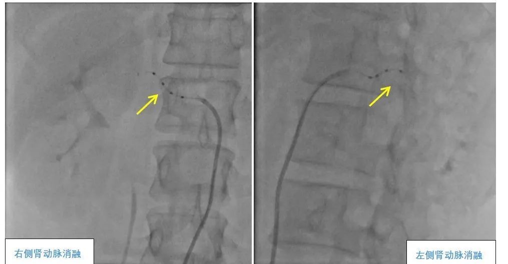
大腿根部打个小孔,微创治疗难治性高血压
“肾动脉周围的交感神经过度兴奋是导致高血压的重要原因。”夏文豪告诉记者,RDN手术原理就在于通过射频能量精准消融这些神经,降低其兴奋性,从而将血压控制好。
接诊后,夏文豪牵头组建专项诊疗团队,针对孔女士的“备孕+难治性高血压”特殊需求展开多学科会诊。“首先要排除肾动脉狭窄、内分泌异常等继发性高血压因素,确保符合RDN手术指征;其次,她处于备孕期,手术方案必须兼顾安全性和长效性,避免对后续妊娠产生影响。”夏文豪说。
团队联合心内科、妇产科、介入导管中心、重症医学科、泌尿外科、手术麻醉中心等多个科室,反复推演手术流程,同时制定了应急预案。手术当天,在麻醉团队的严密监测下,夏文豪教授团队通过微创方式,将消融导管精准送至孔女士双侧肾动脉。术中,团队对肾动脉主干及分支进行全面评估,共定位38个消融靶点,整个手术仅用时1小时,出血量不足5毫升。

肾动脉去交感神经消融术(RDN)
术后第一天,孔女士就能下床自由活动,监测显示血压稳定在135/85mmHg左右,头晕、头痛症状明显缓解;术后第三天,各项指标均符合出院标准。“出院后我每周都测血压,基本稳定在130-140/80-90mmHg,现在正跟着妇产科医生的指导备孕。”回访时,孔女士的声音里满是期待。
为难治性高血压患者带来长效降压新选择
作为一种创新的高血压微创介入技术,RDN正为越来越多高血压患者带来新选择。夏文豪介绍,该技术通过消融肾动脉周围交感神经,可实现长效降压,且无须长期服药,尤其适合难治性高血压患者、药物不耐受或不愿长期服药者,以及像孔女士这样因生育需求面临用药局限的育龄女性。“RDN技术的推广应用,不仅为特定患者群体提供了有效替代方案,也能实现高血压管理从‘药物依赖’迈向‘精准微创’。”
文/广州日报新花城记者:徐依励 通讯员:彭福祥、梁嘉韵、章智琦
广州日报新花城编辑:翁淑贤