最近铅中毒的话题引发社会关注,铅中毒会有什么样的症状?发现牙龈上有“铅线”是否是铅中毒呢?广州医科大学附属口腔医院牙周病科申玉芹主任医师介绍,牙龈边缘出现了蓝黑色或灰黑色线条,有可能是铅在体内蓄积的一种表现,但不一定是铅中毒,一些其他因素也可能导致牙龈出现类似“铅线”的色素沉着。如果发现牙龈边缘有异常线条请及时就医,让专业医生为诊断。
牙龈“铅线”是重金属在体内蓄积的表现
“当铅通过呼吸、饮食或皮肤接触进入人体后,会随着血液循环到达全身。到达口腔后,细菌分解食物残渣会产生微量的硫化氢气体与铅离子发生化学反应,生成蓝黑色的硫化铅沉淀。”该院越秀院区牙周病科医师宫海环解释,“这些沉积物沉积在牙龈边缘、牙齿颈部的牙菌斑和牙石上,就会形成一条肉眼可见的、边界相对清晰的灰黑色线条。”
宫海环介绍,牙龈“铅线”在医学上又称为“伯顿氏线”,是慢性重金属中毒过程中可能出现的一个较晚期的口腔体征,最常见于下颌前牙的唇侧牙龈。重金属在体内蓄积久了,会在牙齿和牙龈上有表现,最常见的是铅(灰黑色),其次是汞(灰蓝)、铋(蓝黑色)、银(黑色颗粒)。“铅线”随着量的增多,可能会突出到牙龈外边,到牙齿上。
牙龈出现色素沉着,也有可能是这些原因
宫海环说,当发现牙齿龈缘上出现一条深色的“黑线”或“铅线”时,确实要敲响警钟,但未必就是中毒,需要科学区分。“一方面,铅线的出现确实提示体内有铅蓄积,但这并不等同于达到中毒的诊断标准。铅中毒的诊断需要结合血液铅含量检测、临床症状(如头晕、乏力、腹痛等)以及铅暴露史等多方面因素综合判断。另一方面,铅线是带状分布,灰黑色居多,跟一些严重的色素沉着会很像。”
“一些其他因素也可能导致牙龈出现类似‘铅线’的色素沉着,比如长期服用某些药物、牙龈局部炎症、色素沉着异常等,需要通过专业检查进行鉴别。”宫海环介绍,牙龈铅线与色素沉淀的本质区别在于:铅线是重金属中毒的特殊体征,表现为牙龈边缘灰暗色线状沉积;而色素沉淀多为饮食或口腔卫生导致的牙齿表面染色,无系统性健康危害。

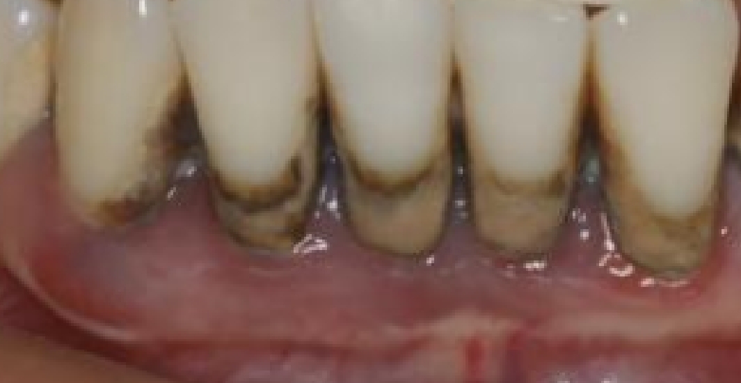
重度牙周色素沉着患者下前牙龈缘呈灰黑色(图片由医院提供)
宫海环提醒,口腔是人们感知全身健康的重要窗口,要维护良好的口腔卫生习惯,定期进行口腔检查。当牙龈有异常表现,需要引起重视,建议及时就医,通过科学检查明确原因,采取针对性措施治疗。
文/广州日报新花城记者:吴婉虹 实习生 唐凯琳
通讯员:刘凤屏、李耀文、郭千千、吴启琦
广州日报新花城编辑:何雪华