“真没想到,一根牛蛙骨差点要了我的命!”近日,广东祈福医院上演了一场惊心动魄的“异物救援战”。24岁的小刘(化姓)聚餐时误吞一根2厘米长的牛蛙骨,腹痛难忍险些肠穿孔,最终医生通过肚脐处的一个“小孔”,成功取出这枚健康“刺客”,助她转危为安。
聚餐“祸起”:牛蛙骨成健康“刺客”
6天前,家住番禺的小刘与家人外出聚餐,牛蛙的美味让她大快朵颐。然而,危险就此埋下。次日清晨,小刘便感觉上腹隐隐作痛,进食后疼痛更是加剧。尽管休息时症状能有所缓解,但上腹及脐周的胀痛却反复发作。6月21日,实在难以忍受的小刘来到广东祈福医院普外中心门诊就诊。

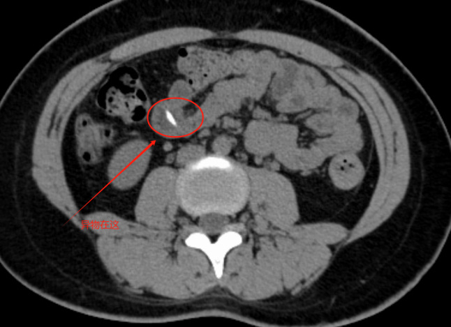
接诊的副主任医师张永祥详细询问病情后,安排她进行了腹部CT检查。结果显示,中腹小肠内有高密度影,高度怀疑是消化道异物在“捣乱”,门诊随即以“腹痛”将她收治入院。
管床医生卢嘉豪反复查看CT片,并仔细追问病史。许久之后,小刘才回忆起聚餐时吃了牛蛙。原来,一根约2厘米长、两端尖锐的棒状牛蛙骨,顺着食管、胃一路“闯”进了小肠,卡在了中后段小肠腔内,还刺入了肠壁黏膜。若不及时处理,很可能引发小肠穿透性损伤,导致肠穿孔、消化道出血、腹腔感染等严重后果,后果不堪设想。
肚脐“打孔”:创新术式巧取异物
情况紧急又凶险,但小刘和家属一开始保守治疗意愿强烈。医生尊重家属意愿,先安排了禁食、肠道准备、抗感染、补液营养等保守处置方案。然而,严密观察三天后复查CT,异物依旧纹丝不动,小刘的腹痛却愈发严重。

卢嘉豪医生解释道:“异物横向卡在小肠内,尖端已经戳破肠黏膜,进入了肠壁深层。如果再拖延下去,肠液漏进腹腔,必然会引发严重感染。”他建议及时进行手术取出异物。
但小刘担心传统开腹手术创伤大、会留下明显疤痕。经科室医生团队深入讨论,决定采用创新性方案——经脐单孔腹腔镜小肠异物取出术。肚脐是天然的“疤痕隐藏位”,采用这种术式,愈合后创伤极小,几乎看不到痕迹。

2厘米的牛蛙骨头被取出来
手术当天,麻醉团队为小刘实施全身麻醉后,崔东明医生团队在她的脐部皱褶处开了一个小切口,建立器械操作通道。经过仔细探查,在回肠中段发现了那根长约2厘米的牛蛙骨头,它横刺于小肠两侧壁,邻近肠壁充血水肿明显。手术团队用钳子完整取出异物,这根牛蛙骨的惊险人体之旅就此画上句号,手术顺利完成。
异物“闯祸”非个例:正确应对与预防是关键
单孔腹腔镜技术此前多应用于胆囊手术,此次创新性用于小肠异物取出,该术式需要克服单孔操作三角缺失、器械干扰等诸多难点,为消化道异物治疗开辟了新的选择。术后,小刘腹痛症状消失,经过抗炎、营养支持治疗,于7月1日康复出院。
崔东明主任介绍,医院每年都会收治多例消化道异物患者,患者涵盖各个年龄段,取出的异物也是五花八门。除了牛蛙骨头,还有牙签、磁力棒、枣核,甚至有人取出过假牙、电池等。这些异物可能卡在食管、胃或肠道的任何位置,运气好的患者或许能自行排出,或者通过消化内镜取出,但若异物的形状、性质、大小以及卡住的位置不“友好”,就可能引起不适、疼痛、出血甚至穿孔等严重问题。
在此,医生提醒广大市民,若不慎吞入异物,切勿强行用饭团吞咽,以免异物移位损伤血管或脏器,也不要盲目使用土方。正确的做法是第一时间送医,由医生检查评估后进行规范治疗。此外,预防大于治疗,大家吃饭时尽量不要说话,做到细嚼慢咽;食用带骨肉类时,建议先将骨肉分离再入口,进食时避免说笑,佩戴义齿者更要格外警惕,防止异物“闯祸”。
文/广州日报新花城记者:肖桂来 通讯员: 戴敏
图/广州日报新花城记者:肖桂来 通讯员: 戴敏
视频/广州日报新花城记者:肖桂来
广州日报新花城编辑:时秀芙