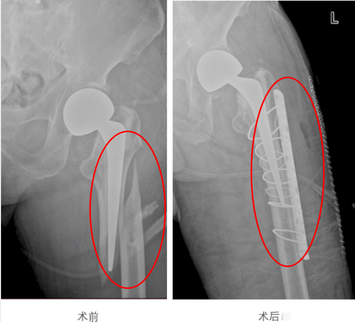
九旬老人廖伯(化名)做过左侧髋关节置换手术,没想到两周前在家中又不慎跌倒,到家附近医院住院,医生检查发现他左髋关节假体周围骨折。难怪廖伯痛得站不起来。更棘手的是,住院期间,他突然高烧至39.2℃,肺部感染迅速加重。情况危急!家人将他转入广州医科大学附属第一医院骨科求救。
“阿伯年纪大,且做过髋关节置换术,此次又摔倒导致假体周围骨折。如果保守治疗,长期卧床易引起肺炎恶化;但传统全麻手术需要气管插管,对肺部感染的老人也可能‘雪上加霜’,易导致呼吸衰竭。”该院骨科主任赵亮分析说,除了骨折剧痛、肺部感染进展迅速,阿伯还重度贫血,身体条件确实难以耐受传统的全麻手术,但若不及时处理,老人的身体情况只会越来越糟,这可怎么办?
多学科协作破解高龄手术困局
广医一院立即启动多学科协作机制,经过骨科、呼吸内科、心血管内科、麻醉科、营养科等多学科综合评估,为廖伯制订了“控制感染-优化循环-无管手术”的阶梯式治疗方案。
“手术安全是第一位的。”据赵亮介绍,廖伯入院后,该院呼吸内科专家迅速为他控制好肺部感染,心内科专家帮他优化心功能和循环,而营养科专家则着手为他改善贫血问题。多学科协作,联手为老人创造适合接受手术的身体条件。
除了身体条件,术式的选择也很关键。赵亮指出,术中考虑采用“无管”技术,因为这项技术能避免传统气管插管对呼吸道的刺激和损伤,可进一步降低肺炎患者肺功能恶化的风险,为廖伯这样的高龄肺炎患者争取宝贵的早期康复窗口,同时还有助于减少深静脉血栓等并发症。
骨折成功修复,“无管”技术助老伯加速康复重新站起来
在廖伯的身体状态稳定后,广医一院骨科团队决定为他实施骨折修复手术。手术当天,该院麻醉团队采用“无管”技术,让廖伯迅速进入“睡眠”状态。在麻醉团队的“护航”下,廖伯保留自主呼吸,血氧饱和度始终在98%以上。

在安全麻醉的保障下,赵亮主任带领团队,经外侧切口操作,避开血管神经丛,精准且迅速地为老人完成了骨折复位内固定手术。

手术顺利完成,术后该院多学科团队在精细化疼痛管理、个体化营养支持和循序渐进的早期康复活动等方面,为廖伯制定了加速康复计划——术后6小时,廖伯在医护人员指导下自主咳嗽排痰,进行呼吸训练;术后第二天,廖伯肺炎症状明显改善,能坐起身进食;术后第五天,老人家脱离吸氧,血红蛋白稳步回升;术后第七天,廖伯扶着助行器成功站起来了……

本以为老人年纪大了,做过髋关节手术,如今又摔断骨头,还伴有严重肺炎,如果再次进行手术,可能很难挺过这一关。如今,看着廖伯一天天向好,医护团队和家人都替他开心。
提醒:假体术后,谨记这三点
赵亮提醒,像廖伯这样,做过关节置换手术的人群,家中环境改造和日常营养强化有讲究,另外还应定期检查评估假体的稳定性:
1. 环境改造:建议家中浴室加装防滑垫,在适合的位置装上扶手;起居室座椅高度应大于50厘米,方便起身和坐下。
2. 营养强化:每日补充足量蛋白质,推荐乳清蛋白30克,维生素D1000IU,增强骨骼肌力量及假体与骨组织之间的结合强度。
3. 定期检查:接受假体置换术后,建议每年定期检查评估假体稳定性,若出现松动迹象,应在专业医生的指导下及早干预。
文/广州日报新花城记者:翁淑贤 通讯员:梁博、韩文青
视频剪辑/广州日报新花城记者:翁淑贤 通讯员:梁博、韩文青
图片由医院提供
广州日报新花城编辑:吴婉虹