胃本来在腹腔,却穿过了横膈膜“跑”到了胸腔!近日,佛山市第一人民医院疝和腹壁外科团队成功为一名巨大食管裂孔疝的六旬患者实施腹腔镜下食管裂孔疝补片修补术+胃底折叠术,助其摆脱病痛折磨。

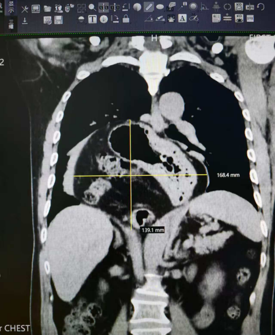
60岁的陆先生(化名),一周前突发胸痛、呼吸困难以及上腹部持续不适到佛山市第一人民医院急诊求诊,就诊后CT检查初步发现食管裂孔疝,随即被收入院。经过进一步的胃镜、上消化道造影、食管测酸测压等详细检查,令人震惊的复杂病情浮出水面——陆先生患有巨大食管裂孔疝伴胃扭转,疝囊大小约17cmx14cm。他的全部胃组织、横结肠及部分小肠,竟通过扩大的食管裂孔“跑”进了胸腔!这不仅严重干扰消化功能,还致使右肺组织被压缩,引发呼吸困难。更可怕的是,后续还可能出现食管溃疡、消化道出血、胃扭转坏死等致命风险,病情刻不容缓。
巨大食管裂孔疝手术难度极高,需将“跑”入胸腔的大量组织安全还纳到腹腔,精准修补扩大的食管裂孔,同时重建抗反流机制,避免复发。手术的难点在于如何妥善地将疝入胸腔并扭转的胃复位,而不损伤周围的腹主动脉、下腔静脉、迷走神经及胸膜。
手术当天,疝和腹壁外科范国勇主任凭借丰富的经验和精湛的技术,通过几个微小切口建立操作通道。在腹腔镜的辅助下,他沉着应战,细致谨慎地逐步分离、还纳疝入胸腔的组织,随后对扩大的食管裂孔进行精细修补,并顺利完成胃底折叠。这场与病魔的博弈,在医护团队紧密配合下获得成功。
术后,在医护团队的悉心照料下,陆先生恢复情况良好:术后第1天便能下床活动;第3天开始尝试进食流食;第4天复查上消化道造影,胃组织已归位,开始进食半流饮食;术后第5天,各项指标稳定,顺利出院。出院时,陆先生激动不已:“真的太感谢范主任和医护团队了!没想到这么严重的病也能治好,现在终于能好好吃饭、睡个安稳觉了!”

据范国勇主任介绍,食管裂孔疝及胃食管反流是一种常见的消化系统疾病,近年来发病率呈上升趋势,肥胖、高龄、慢性咳嗽等都是高危因素。早期症状不典型,容易被误诊为普通胃病,导致病情延误。范国勇强调,“一旦出现反复烧心、反酸、吞咽困难等症状,应及时就医,通过胃镜、上消化道造影结合测酸机检测明确诊断。”
文/广州日报新花城记者:高敏华 通讯员:郭丽映
广州日报新花城编辑:罗林