三个月,就从微胖变成了快生产的“孕妇”,18岁女孩小敏(化名)的“长胖”速度快得令人吃惊。当所有人都以为这只是青春期发福时,一张B超检查单揭示了残酷的真相:她的腹中藏匿着一个重达10斤的巨大肿瘤,医生最终从她的腹中抽出了9.5升黏液,相当于19瓶500毫升矿泉水的容量。幸运的是,肿瘤为良性;不幸的是,因发现太晚,她为此永远失去了一侧卵巢。暨南大学附属第一医院妇科主任医师高绿芬提醒各位女性,身体的每一个异常变化都不容忽视,一定要定期体检,早发现、早诊断、早治疗至关重要,千万别让疏忽酿成大错。
花季少女腹大如孕,原是巨型肿瘤作祟
18岁,本该是无忧无虑、如花绽放的年纪,但对于小敏来说,生活却因一场突如其来的“意外”泛起了波澜。
大约三个月前,小敏发现自己的肚子在不知不觉中渐渐隆起。起初,她和家人都以为这只是普通的“长胖”,并没有太在意。妈妈甚至一度怀疑女儿是不是恋爱怀孕了,但在仔细询问后得知,女儿并没有男朋友,每个月的例假也都正常,身体也没有任何不舒服,便也渐渐放下了心。
然而,这份“心安”却是危险信号。三个月的时间悄然流逝,小敏的肚子越来越大。直到她最近回家参加一场重要的会计考试,妈妈发现,女儿的肚子已经隆起如足月的孕妇。这一刻,妈妈再也不敢耽搁,立即带她去医院检查。
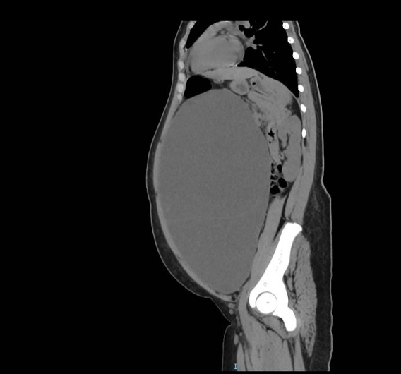
检查结果让母女俩大惊失色——B超影像清晰地显示,小敏的盆腹腔内竟然藏着一个巨大的肿物,几乎占据了整个腹腔。焦急万分的母女俩随即来到暨南大学附属第一医院妇科求助。
接诊医生高绿芬在详细了解病情并完善各项检查后,为小敏制定了周密的手术方案。术中抽出的囊内液体多达9.5升,相当于19瓶500毫升矿泉水的容量。幸运的是,术中快速冰冻病理结果显示:肿瘤为卵巢黏液性囊腺瘤,是一种常见的卵巢良性肿瘤。这个结果让所有人长舒了一口气,然而,代价也是沉重的——因为肿瘤发现太晚,体积过于巨大,已经完全侵蚀了她一侧的卵巢组织,医生不得不为她切除了一侧的卵巢。

影像图显示,小敏的腹部隆起如足月的孕妇。
专家解析:多数是良性,但也可发生恶变
这个让花季少女虚惊一场的“卵巢黏液性囊腺瘤”究竟是什么?
高绿芬介绍,卵巢黏液性囊腺瘤是卵巢上皮性肿瘤中的一种常见类型,多数为良性。肿瘤内充满黏稠的黏液,初期往往没有明显症状,常因肿物增大压迫周围组织,或偶然体检才被发现。
这种肿瘤好发于育龄期女性,但像小敏这样十几岁的年轻女孩也并不少见。高绿芬特别提到:“年轻的女孩子比较多见的就是这种类型。”关于病因,目前医学界尚不完全明确,可能与内分泌功能失调、遗传因素等有一定关系。
值得注意的是,虽然绝大部分黏液性囊腺瘤是良性的,但它依然存在一定的风险。高绿芬强调,有少数黏液性囊腺瘤可能发生恶变,此外,还存在一种“交界性”的状态,即肿瘤的性质介于良性和恶性之间,具有潜在的恶性风险。像小敏这样肿瘤长得特别快的情况,就需要高度警惕恶变可能。因此,对于这种肿瘤,早发现、早诊断、早治疗是至关重要的。

小敏的妈妈专门给高绿芬主任送来锦旗。
专家提醒:要留意身体的“求救信号”
“这起病例给所有人敲响了警钟!如果她能早一点来处理该多好!”高绿芬惋惜地说,“18岁的年纪就失去了一侧卵巢,这对她未来的生育和健康都有潜在影响。如果发现得早,肿瘤还很小的时候,我们完全可以在保留完整卵巢功能的前提下,轻松解决问题。绝不至于拖到失去一个器官的程度。”
高绿芬强调,看似平常的“长胖”,尤其是那种四肢不胖、只有肚子异常增大的“长胖”,很可能是身体发出的求救信号。她强烈呼吁:“如果发现肚子不明原因增大,赶紧去做个B超。这个检查很简单,无创无痛,费用也不高,但却能帮助明确诊断。”
对于如何预防,高绿芬坦言,目前并没有什么特别有效的预防方式。因此,最关键的武器就是“早筛查”。她建议育龄期的女性,尤其是年轻女孩的家长,要多留意孩子身体的变化。定期的健康体检,尤其是妇科B超检查,是守护卵巢健康的第一道防线。如果发现问题,要及时解决,千万不要“拖”,以免小问题演变成无法挽回的大问题。
文、图:广州日报新花城记者:张青梅 通讯员:张灿城
广州日报新花城编辑:梁超仪