近日,现正在北京大学任教的韦东奕
(网友亲切称呼他“韦神”)
开通了个人账号,迅速引发广泛关注,
目前该账号已经有超2100万粉丝。
细心的网友发现,
在账号发布的一条视频中,
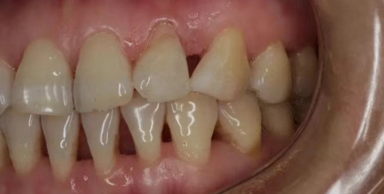
韦东奕的牙齿有缺失。

韦东奕账号发布的视频截图
据韦东奕家属回应,
韦东奕牙齿的问题有很多原因,
他患有牙周炎,曾接受多次治疗。
6月7日中午,
韦东奕堂姐在
个人账号评论区回复网友:
韦东奕已经去过医院看医生了。

韦东奕堂姐的回复
牙龈有点发红、刷牙的时候稍有出血?
或者咬一口苹果发现留下了血印?
牙周炎的发病信号可能就隐藏其中。
牙周炎通常不痛不痒,容易被忽视,
如果不及时治疗,
会最终造成牙齿松动脱落!
今天有约君就来聊聊
成年人牙齿丢失的主要原因之一
——牙周炎。
刷牙出血、牙齿长结石?
或是牙周炎信号!
在牙齿周围,牙龈、牙周膜、牙槽骨和牙骨质合称为牙周组织,它们的健康存在才让我们的牙齿牢牢附着。
牙齿表面附着的菌斑,会形成牙结石,如果菌斑和牙结石没有得到及时的清理,牙周组织会有炎症表现,导致牙槽骨破坏吸收,致使牙齿松动,最终脱落。
牙菌斑是一种复杂而致密的非矿化团块,形成于牙龈线附近,龈上和龈下均可见。如果不用牙刷、牙线清洁,24小时内即开始累积形成。
牙结石则是矿化的菌斑,也是导致牙周炎发生的主要原因。
与蛀牙、牙髓炎等会导致疼痛的疾病不同的是,牙周炎如“温水煮青蛙”,没有特别明显的急性症状,因此常不被人重视。
一开始,可能牙龈有点发红、刷牙的时候有点出血,或者啃一口苹果后发现留下了一圈血印子。

牙龈发红、出血(图/科普中国)
然后发现牙龈有些后移,形成空空的“三角区域”;

牙龈萎缩,形成“三角区域” (图/科普中国)
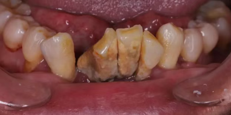
再后来发现有几颗牙齿开始松动、咀嚼没有那么有力;

大量牙结石形成,牙齿松动移位(图/科普中国)
随后会进展为牙齿与牙齿之间的缝隙越来越大,牙齿开始摇晃加剧,牙根开始裸露出来,还会出现牙齿的疼痛,最终慢慢地掉落。
牙周炎与全身健康息息相关
目前已经证实有129种全身系统性疾病都和牙周炎有关,比如脑梗、心梗、糖尿病、高血压等。
因此,如果有牙周炎,一定要重视,尽快把炎症控制住。
如果平时牙周发生以下几种情况,务必充分重视。
牙龈出血:哪怕是很少量的牙龈出血也要重视。

图/视觉中国
口腔异味:有些人自己感受不到这点,但是身边的亲友是能闻到。很多人都以为这种异味是胃肠道疾病造成的,但其实大多数都是牙周病。
牙齿松动:等牙齿松动移位,咀嚼无力时,牙齿可能就会慢慢脱落了。这也是牙周病的主要症状之一。
进食塞牙:平时吃东西容易塞牙,也都提示可能有牙周炎。
牙周炎的预防要在治疗之前!
日常护牙这样做
针对牙周炎,目前主要有几种常见的治疗方法:
基础操作——洗牙
现在普遍使用“超声波”来清洁牙齿周围的牙结石。
洗牙是牙周治疗最基础的操作,及时清除越来越多的牙结石,就可以起到预防牙周炎的作用。
洗牙洗不干净——刮治
牙周刮治,或者也称作龈下刮治、根面平整,这项治疗主要针对的还是牙结石。只不过这些牙结石大量聚集在牙龈深处,仅仅通过前面所说的“洗牙”很难彻底清洁。
更深层次的治疗——牙周手术
单靠洗牙、刮治等基础治疗都无法解决全部问题,这时则需要手术。
通俗点说,就是把覆盖在牙齿周围的牙龈剥离下来,在直视下彻底清除牙齿周围的牙结石,最后才把牙龈缝合回去。
抗菌消炎——药物
甲硝唑、奥硝唑等抗菌药物在急性期炎症的治疗中起到辅助作用,但这仅仅是对抗缓解急性炎症,不建议在日常生活中把吃药当作治疗的首选项。
此外,漱口、把药物塞在牙齿周围的沟里等也是常见的方法,可以局部发挥抗菌作用。
调磨、固定和拔牙
牙周炎经常伴随着牙齿的松动、移位,容易加重牙周炎的症状。因此,医生也会对于移位的牙齿进行调磨,对松动的牙齿进行固定。对于部分实在留不住的牙齿,则会选择拔掉,拔掉后可以选择镶假牙、种植牙等方式来补齐缺失的位置。
当然,疾病的防要在治之前,
口腔健康也不例外。
建议日常中做好这些:
刷牙:
避免横向刷牙,坚持使用巴氏刷牙法,每日刷牙2次,每次刷2分钟以上。
要点为将牙刷放在牙齿与牙龈的交界处,牙刷毛尖端对着龈缘,呈45度斜角,略微加压,原地水平颤动数次,然后移动牙刷至邻牙,每次牙刷覆盖2~3颗牙。
牙线:
使用牙线清洁每一个牙缝,每天至少一次。
建议在使用牙线时,要尽量对着镜子观察,让牙线拉锯式地通过邻牙之间的接触点,看着牙线进入龈沟。将牙线紧贴并包绕一侧牙面,顺沿着牙面摩擦,然后再往上提拉,这样牙齿邻面上的菌斑和软垢就可以被牙线给带出来了。当牙线进入到牙龈下方约0.5~1毫米时,就不能再深了。
如果已经有牙周炎了,或者因为牙周炎已经出现了比较宽大的牙缝,这时候光用牙线清理牙齿缝隙可能效率比较低,用牙缝刷可以大大增加清洁效率。
还有很多人会使用冲牙器,也称“水牙线”。牙医建议选择相对柔和一点的档位,如果冲洗时牙龈有痛感,就说明冲力过大了。
总之,在日常清洁口腔过程中,要尽量避免造成软组织创伤,一旦牙龈出现痛感就要停手。
定期洗牙
建议每年至少去找专业口腔医生洗牙1~2次,观察牙齿的健康状况。
戒烟
吸烟可以通过影响口腔微生态系统,对牙周健康产生不利影响。研究发现,吸烟不仅会增加牙周炎发生的风险,而且会加重牙周炎的症状。
整合来源:广州日报、健康有约、健康时报、科普中国、极目新闻
图/详见图说
整合/广州日报新花城记者:徐依励