端午佳节
吃粽子可是过节“标配”
红枣更是粽子界的“灵魂担当”
但要注意
红枣粽虽好吃
里头的枣核却可能惹出大麻烦

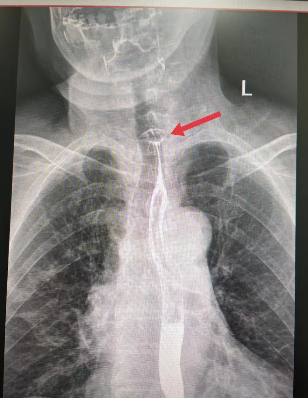
案例一:枣核卡喉 手术脱险
5月28日,陕西榆林75岁的高奶奶食用红枣粽时不慎吞下枣核,顿感咽喉不适、吞咽梗阻,紧急前往医院就诊。检查发现食管上段有异物,高奶奶被收治入院,经手术顺利脱险。


案例二:刺穿小肠 生死一线
无独有偶,63岁的康阿姨近日因突发“刀绞般”剧烈腹痛,深夜被紧急送往沈阳市第十人民医院。短短数小时内,她出现高热、腹肌强直等弥漫性腹膜炎症状。CT检查显示腹腔游离气体,高度怀疑消化道穿孔。
家属回忆,当天上午康阿姨吃粽子时误吞两颗枣核。医生会诊判断枣核尖端已刺穿小肠,紧急手术取出异物。

枣核两端尖锐,且无法被人体消化液分解,误吞后若不及时处理或处理不当,可能存在致命风险。
“囫囵吞枣”有多危险?
枣核从入嘴那一刻开始就堪称“步步惊心”:
1.如果卡在咽喉,会引起咽部疼痛。
2.经过食管时可能卡在食管处或划伤食管,造成脓胸。因食管靠近主动脉,如果累及主动脉,可能引起大出血危及生命。
3.若进入胃部并穿破胃壁,会造成胃穿孔或出血。

4.若卡在小肠会造成肠梗阻,或导致内容物(粪便、消化液等)流到腹腔诱发感染,出现腹痛、腹胀、发烧。如果贻误治疗,还可能引发感染性休克。
5.小肠之后是大肠。虽然大肠管径较宽不易穿破,但枣核仍可能卡在直肠肛门处,引发局部剧烈疼痛。
枣核卡喉怎么办?
误吞枣核后,切勿采用喝醋、吞饭团、手抠等“土方法”,请牢记以下黄金急救四步法:
1.立即停止进食,保持直立姿势,避免弯腰挤压异物。
2.准确判断卡顿位置
气管:剧烈呛咳,声音嘶哑;
食道:胸骨后闷痛,呕吐反射;

3.分清部位后针对性处理
气管卡顿(窒息风险)
立即采取海姆立克急救法进行处置。
牢记“剪刀石头布”口诀:
剪刀:两个手指并拢,放在肚脐上方两横指的位置。
石头:一手握拳,放在“剪刀”上方停住。
布:另一只手变成“布”包住拳头,快速向内、向上冲击上腹部,直到异物排出。
针对肥胖者和孕妇,应采用胸部冲击法。施救者站在患者背后,双臂从患者腋窝下环抱其胸部,右手握拳置于患者胸骨中部,另一手握紧此拳向后冲击数次,直至异物咳出。
食道卡顿
保持冷静,禁止催吐,避免造成二次伤害。
4.尽快前往附近医院消化内科就诊
通过颈胸部CT检查以精准定位异物;
接受急诊内镜食管内异物取出术以及进一步治疗。
端午吃粽子如何不“踩雷”?
市场上,常温粽、速冻粽琳琅满目,许多家庭也热衷于自制粽子。不过,你知道如何挑选健康安全的粽子吗?小编特别整理了一份端午节粽子选购与存放指南↓
选购粽子有门道
认准“正规军”:在超市、商店等正规场所购买,避开路边无证摊点。产品标签上应标明生产日期、保质期、配料表等信息。
“颜值”要过关:不要购买包装袋破损、漏气或胀袋的粽子;粽子形状需完整,无露米和变形现象。粽叶颜色自然(蒸煮后发暗发黄),过度鲜绿的“返青粽叶”要警惕!
存放粽子有讲究
真空粽:未开封时置于阴凉干燥处存放,开封后若吃不完,可用保鲜膜裹紧放入冰箱冷藏,尽快食用且要彻底加热。
⚠️开封后的粽子,室温下存放超过2小时需扔掉,夏季高温时缩短至1小时。若粽子发酸发臭,可能已滋生沙门氏菌、金黄色葡萄球菌,误食会导致腹泻呕吐。
速冻粽:直接放入冷冻层可保存3个月,食用前提前2小时取出置于冷藏室解冻,再用蒸锅加热15分钟。
自制粽:自制粽子不含防腐剂,建议当天吃完。剩余需要放凉,待水分沥干后进行冷藏或冷冻,再次食用时应彻底加热。

食用粽子时应细嚼慢咽
切勿“囫囵吞枣”
一旦发生
枣核或其他异物卡喉
应正确处置、及时就医
不要采取喝醋、吞饭团等
危险操作
来源:国家应急广播
广州日报新花城编辑:苏琬茜