近日,广东省人民医院(下简称“省医”)神经外科团队凭借精湛的微创和内镜技术,不开颅而是采用经眉毛的微小切口,成功为一名颅内大型脑膜瘤患者实施了高难度的经眶肿瘤切除术。肿瘤全切,术后患者恢复良好,无并发症。
头痛背后暗藏巨大肿瘤
54岁的张女士(化名)因持续2个月的间歇性头痛就诊于省医神经外科。头颅CT检查显示其右侧颞叶巨大脑膜瘤,压迫邻近脑组织,直径达3厘米,如果得不到及时处理,患者可能会面临出现眼球运动障碍甚至失明的风险,手术治疗迫在眉睫。
脑膜瘤多为良性,但若巨大生长、位置深在、毗邻重要神经血管,手术风险较高。该患者的肿瘤位于颞极,邻近视神经和颅内颈内动脉等大血管,传统开颅手术需大切口、剥离颞肌、广泛牵拉脑组织,可能导致神经功能损伤。为最大限度降低创伤、保障患者术后生活质量,神经外科主任万锋教授、郭止戈博士团队经过充分影像评估与术前规划,决定采用经眶颞极微创入路实施肿瘤切除。

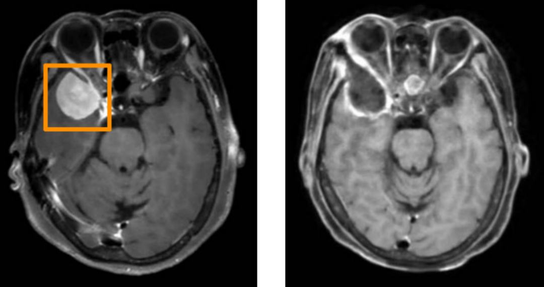
左图为术前MRI,术后MRI(右图)显示肿瘤已全切除
经眶入路,微创与内镜“双剑合璧”
万锋教授介绍,经眶入路是近年来神经外科领域兴起的前沿技术,通过眉弓和眶缘微小切口(通常<5厘米)建立手术通道,结合神经内镜与显微操作,可精准抵达中颅窝的颅底病变,避免传统开颅的较大头皮切口损伤,且直达肿瘤和肿瘤附着的基底面、完全不用牵拉颞叶脑组织,同时可以更好地控制肿瘤血供、减少出血。
该术式需要同时对眼眶和颅底的解剖非常熟悉,属于“跨界”学科,需要神经外科显微手术和内镜手术扎实的基础,以及团队配合,否则难以做到“精准、微创”、也难以做到对此类大型颅内肿瘤的完全切除。
“神经内镜与显微镜技术相结合在颅底肿瘤手术中展现出诸多显著优势。”万锋教授解释,显微镜能提供高分辨率、立体感强的显微图像,方便医生清晰辨识肿瘤与周围组织结构,进行精细操作;神经内镜具有独特的广角视野和多角度观察能力,能够更好地辨认小血管和神经,保留重要结构,避免损伤和提高手术的安全性。二者结合,既发挥了显微镜在精细解剖操作上的优势,又借助神经内镜拓宽了手术视野,使医生在切除肿瘤时,能更精准地保护周围重要组织,减少肿瘤残留,为患者带来更好的预后。

经眉毛的微小切口只有5厘米以内
脑膜瘤是常见良性肿瘤
早诊早治多数预后良好
“脑膜瘤是神经外科常见良性肿瘤,早期多无特异性症状,但若发现及时、治疗规范,绝大多数患者预后良好。”万锋教授强调说:“随着微创技术的发展,我们已能通过更小创伤实现肿瘤全切,最大程度减少术后并发症。患者一旦出现持续性头痛、视力减退或手脚活动障碍,应尽早到神经外科专科门诊排查。”当病例条件合适时,经过充分术前评估,医生团队可做到对神经结构微创,同时对切口和体表的微创,病人不用剃发,更快康复,回归正常生活。
文、图/广州日报新花城记者:何雪华 通讯员:郝黎、张蓝溪、张诚斌
广州日报新花城编辑:翁淑贤