近日,广医三院白云分院、黄埔院区两院区开启生命接力,新生儿科、小儿外科、麻醉科专家齐心协作,持续20天生死营救,帮助胃穿孔、严重感染性休克的新生儿顺利脱险。
出生才1天 新生儿遭遇胃穿孔
胎龄33周的早产儿瓜瓜(化名)在出生后1天便出现严重腹胀、呼吸困难,经广州市白云区妇幼保健院(现为广医三院白云分院)初步诊断为消化道穿孔。由于胎龄小、体重低,并伴有休克、全身感染、凝血功能障碍等多种危重状态,白云分院新生儿科医护人员及时采取措施保障瓜瓜生命安全,并迅速启动新生儿转诊机制,转运至具有较强新生儿外科监护及手术能力的广医三院黄埔院区。

瓜瓜刚转入黄埔院区NICU时的状态

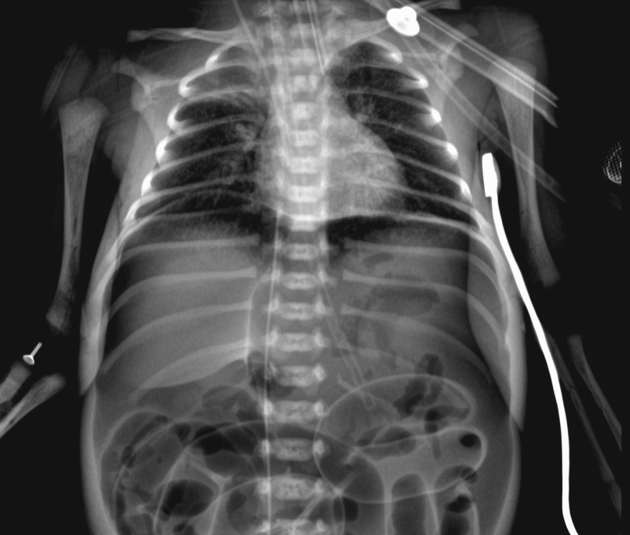
瓜瓜的X光片检查见明显气腹
“孩子送来时肚子胀得像小鼓,腹壁血管显露,循环状况差,各项指标都在报警,连血压都无法维持。”新生儿科主任医师吴繁和主治医生黄卫亮回忆道。
X光检查显示瓜瓜未见胃腔显影、腹腔中有大量气体,提示消化道穿孔。
“消化道中有大量消化液成分和细菌,进入腹腔以后,可引发严重的炎症反应及脓毒症休克;如果不及时手术,瓜瓜随时可能因休克和器官功能衰竭而死亡。”吴繁进一步解释说。
新生儿科团队迅速为瓜瓜进行高级生命支持及休克复苏,并在不到2小时内开通各种生命通道,迅速完成术前准备,为外科及麻醉团队的手术干预铺平道路。
多学科团队接力施救
随后,小儿外科、麻醉科、新生儿科团队床旁接力施救,历经2小时紧急手术,成功为宝宝修补了胃部的穿孔并清理了腹腔。

医生团队为患儿进行床旁手术
虽然胃破裂得到成功修补,但继发的严重感染和其他并发症还在威胁着宝宝。为解决术后监护面临的多重难关,广医三院黄埔院区新生儿科团队制定精细化管理策略,从生命支持、抗休克、抗感染,到早产管理、胃肠消化和营养管理、“袋鼠式”护理……瓜瓜在医护人员的精心照护下一步步脱离危险,体重稳步增长,各项指标逐渐恢复正常。
文/广州日报新花城记者:翁淑贤 通讯员:白恬
图片由医院提供
广州日报新花城编辑:何雪华