持续咳嗽一个多月,消炎药越吃越严重,CT报告显示并不简单……当50岁的黄叔认为自己可能患上肺癌时,医生最终从肺泡里揪出会“隐身”的真菌元凶!医生提醒,大叔所感染的“隐球菌”严重时可致命,而它就藏在你我身边,工地扬尘、小区鸽群都可能是传染源。
今年50岁的黄叔是佛山本地人,一向身体非常好,很少生病。但就在一个月前,他开始不断咳嗽,吃了消炎药后症状却越来越严重。于是,他去了某医院进行胸部CT检查,医生认为要考虑炎症和肿瘤性病变鉴别。这样一来,一向性格开朗的黄叔突然就紧张起来,自行网上查阅资料后开始怀疑自己可能得了“肺癌”,于是赶紧来到佛山市第二人民医院求诊。

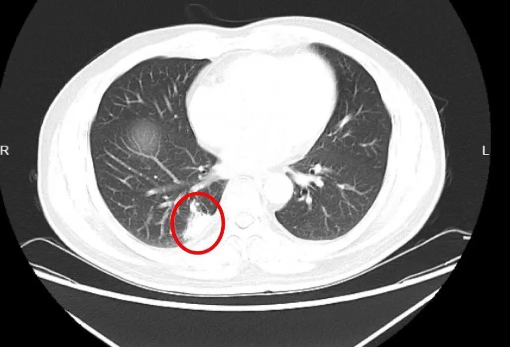
胸部CT:右下肺片结状影,考虑炎症和肿瘤性病变鉴别
陈绍森医生接诊后,根据胸部CT和临床经验,考虑黄叔肺部病灶经过消炎治疗后没有变化,可能不是简单的普通肺炎,并建议其住院进一步诊治。

陈绍森医生为患者进行超声支气管镜检查
入院次日,陈绍森就给黄叔安排了支气管镜检查,并利用超声支气管镜技术精准抵达右下肺病灶位置,进行支气管肺泡灌洗及肺活检术,留取肺泡灌洗液送病原学宏基因组(NGS)检测及肺组织病理检查。2天后,黄叔的肺泡灌洗液NGS检测报告显示有新型隐球菌生长。同时,活检肺组织病理结果为肉芽肿性改变,真菌特殊染色阳性,考虑隐球菌感染。

肺活检组织病理:肺肉芽肿性改变,考虑隐球菌感染
最终黄叔确诊为肺隐球菌感染,予针对性抗隐球菌治疗后,黄叔咳嗽、咳痰、气促症状明显好转,于近日顺利出院。
科普知多D
隐球菌是一种广泛存在于自然环境中的真菌,尤其在土壤、腐烂植物和鸟类(如鸽子)粪便中滋生。其中,新型隐球菌和格特隐球菌是引发人类感染的主要类型。它们经过空气中的孢子传播,当人体吸入后可能引发感染。
隐球菌常见于免疫系统薄弱的人群,如HIV/AIDS患者、器官移植术后需长期服用免疫抑制剂者、癌症放化疗患者,以及糖尿病、肝硬化等慢性病患者,长期使用糖皮质激素者。健康人群若长期接触污染环境(如鸽舍、工地扬尘),也可能会感染。
医生表示,隐球菌的症状根据不同部位的感染表现不同,如肺部感染会出现咳嗽、胸痛、低热,中枢神经系统感染则会出现头痛持续加重、恶心呕吐、颈部僵硬、意识模糊等症状,严重可致昏迷甚至死亡。隐球菌感染初期症状易被忽视,免疫力低下者感染可能快速进展为全身播散性疾病,务必及时就医。
文/广州日报新花城记者:刘艺明
视频/广州日报新花城记者:刘艺明
广州日报新花城编辑:罗林