近日,深圳一名45岁女子近期总出现不明原因腹痛,到广州中医药大学深圳医院就医,医师竟然在她肠道中抓出了一条“虫子”,原来是一条活体蛔虫。医生指出,该患者患病与不洁饮食习惯密切相关,提醒各位市民注意生吃食物的健康风险。

肠镜下震惊一幕
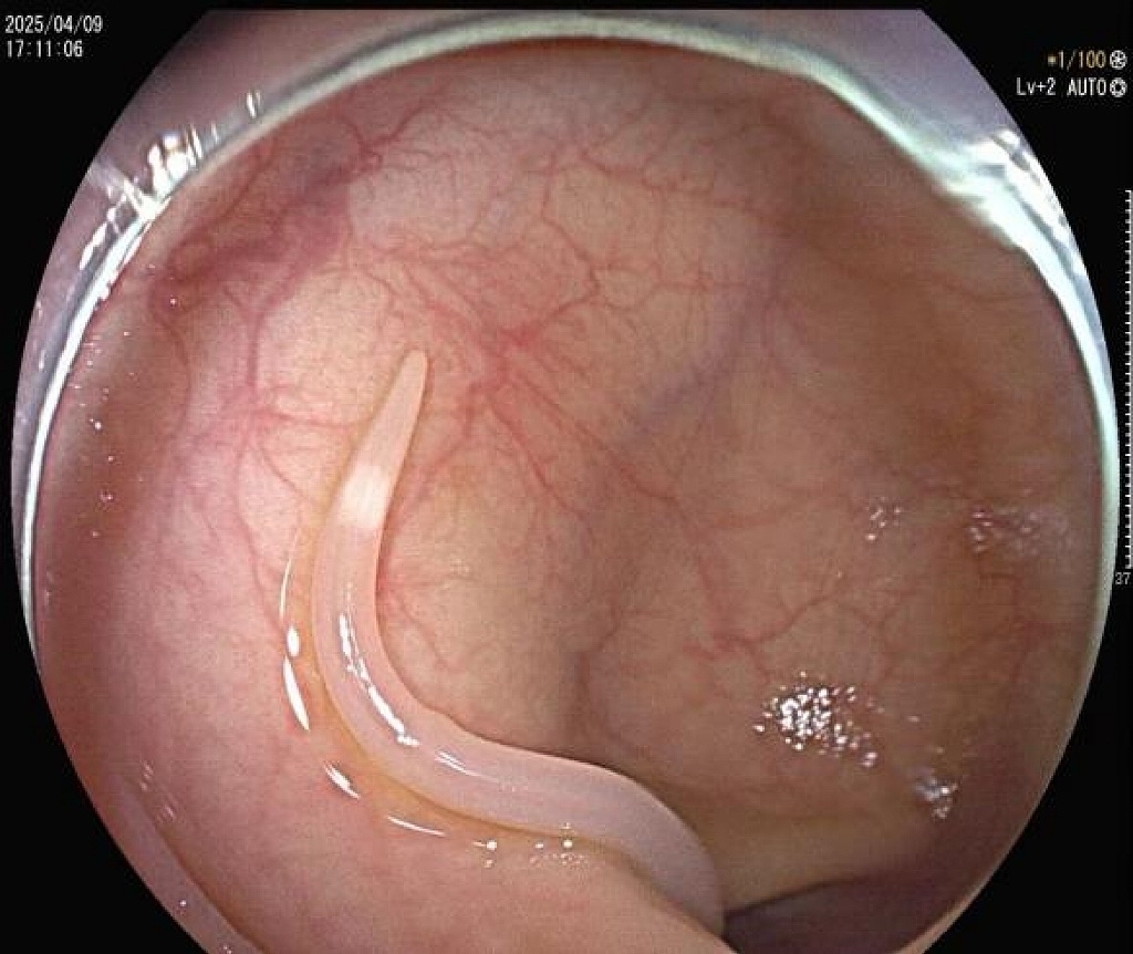
金女士(化名)近半年来反复出现下腹绞痛,自行服用药物后未见缓解。到广州中医药大学深圳医院内分泌科门诊就诊,接诊医师刘畅在细致问诊和体格检查后,初步排除了肠胃炎等常见病因,果断为她安排了胃肠镜检查。经脾胃病科医师刘乐鑫肠镜检查,发现她的肠道内竟然有一条白色细长的“小虫子”在慢慢蠕动,原来是一条活体寄生虫,医师果断通过肠镜用活检钳夹住蛔虫,慢慢将它从肠道里拖了出来。经检测,该寄生虫为蛔虫,食用被虫卵感染后的食物有可能导致肚子里长蛔虫。

寄生虫病风险几何?
深圳市卫健委数据显示,2023年全市传染病、寄生虫病死亡率为0.21/万,已进入前十位死因顺位,需警惕食源性寄生虫感染。
肠道寄生虫病就是寄生虫在人体肠道内寄生而引起的疾病。人体常见的寄生虫主要有以下四类:
1.鞭虫:寄生于人体的大肠内,可表现为下腹阵痛、腹泻、大便带血等症状。
2.蛔虫:寄生于人体的小肠内,常见于儿童、体弱或营养不良,可表现为食欲不振、恶心呕吐、腹泻等症状。
3.蛲虫:寄生于人体的大肠内,可表现为肛门瘙痒、情绪烦躁、失眠、食欲减退、夜惊等症状。
4.钩虫:寄生在人体的小肠内,可表现为腹部不适、隐痛、恶心呕吐、腹泻腹痛、大便潜血等症状。
广州中医药大学深圳医院脾胃病科刘乐鑫医师指出,生吃食品存在三大风险:
1.寄生虫感染:淡水鱼生、醉虾等易携带肝吸虫、异尖线虫等,可引发胆管炎、肠梗阻甚至癌变。
2.细菌污染:副溶血性弧菌、李斯特菌等能在生腌等环境中存活,生食可导致急性肠胃炎、败血症。
3.病毒传播:甲肝、戊肝病毒可通过贝类等海产品传播,引发肝功能损伤。
针对肠道寄生虫病的预防与诊疗,专家提出以下建议:
一、诊断方法
(1)粪便检测:通过肠道排出粪便检测到寄生虫虫卵,显微镜观察虫卵,即可确诊寄生虫感染。但可能因取样问题导致漏检,如粪便取样不当、取材时间不当等,还跟虫体在体内的特征有关,当体内感染的虫体为雄性虫体、尚未排卵、排卵较少等时,可能会检查不到寄生虫虫卵。
(2)胃肠镜检查:胃肠镜检查时能在十二指肠、盲肠、乙状结肠、直肠等部位可直接观察到活的虫体,尤其适用于反复腹痛、常规检测阴性患者,还能使用活检钳将虫体夹出送去检验进行判断,为诊断和治疗提供有力证据。
二、怎么治疗肠道寄生虫病
1.吃药驱虫:首要方法是服用驱虫药。要在临床指导下进行服药,根据寄生虫的种类对症服用驱虫药物治疗,如阿苯达唑、甲苯咪唑等广谱驱虫药,用药还需要注意治疗剂量和服用方法,需在医生指导下使用,避免自行用药。
2.内镜治疗:如本例患者通过肠镜直接取虫,可快速“缉拿真凶”。
三、怎么预防肠道寄生虫病
1.注意个人卫生:培养良好的个人卫生习惯,如:饭前便后要洗手、勤剪指甲勤洗澡、勤换洗内衣内裤、勤晾晒被褥等,严格把好“病从口入”关。
2.改变不良饮食习惯:饮用洁净水源,进食清洁食物,避免食用受污染的食物和水源。
3.严格消毒餐具:保持餐具清洁,定期进行消毒,如将餐具完全浸泡水中,煮沸10分钟以上,或将餐具放入蒸汽消毒柜,100℃作用10分钟以上。定期更换木质餐具。
4.做好生熟隔离:生、熟食材分开处理,避免交叉污染,无论是存放还是切割都需要分开处置,如处理的刀具、砧板,放置的碗盆、筷勺等。
5.彻底煮熟食物:肉类、海鲜需彻底煮熟(中心温度≥70℃)后再食用。大多数的寄生虫不耐高温,高温煮至熟透,可有效预防寄生虫感染。
专家提醒,“生吃食物虽美味,但风险不容忽视。”刘医生强调,深圳市民应改变“生鲜即安全”的误区,尽量避免生食菜蛋肉,尤其是儿童、老年人等免疫力较弱群体。若出现腹痛、腹泻、消瘦等症状,需及时就医并主动告知饮食史。
文、图/广州日报新花城记者:轩慧 通讯员:黄琰、黄国欣
广州日报新花城编辑:黎慧莹