一次CT、三次门诊、多次对症治疗,咳嗽咳痰气促仍然反反复复,皱巴的病历本上满载65岁陈叔这一年来寻医问药的艰辛。3月17日,饱受折磨的陈叔终于在广州市第十二人民医院(以下简称“市十二医院”)呼吸科找到了病情反复的根源——一块在肺里“安家”的鱼骨。专家团队通过纤维支气管镜异物取出术成功揪出左肺的不规则鱼骨,陈叔症状随即好转,并在术后3天出院。

鱼骨藏身左肺,专家:漏诊误诊率高
“在其他医院做过胸部CT,说是肺炎,也有说过是支气管炎。每次治疗后都有好转,但不久后又开始气喘气促咳嗽。”多次问诊经历以及反复出现症状,让陈叔心情烦闷。
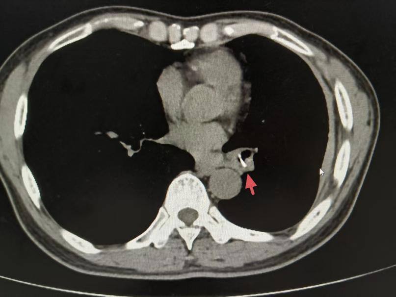
在市十二医院再次接受的胸部CT结果显示,陈叔左下肺支气管有可疑异物影像。追问病史时,陈叔回忆起一年前吃鱼时曾有剧烈呛咳史,但当时症状自行缓解,该院呼吸科副主任医师陈子谓敏锐地捕捉到了这一关键信息,随后的纤维支气管镜检查也印证了他的猜想。镜下清晰可见一块疑似骨头的异物嵌顿于左下肺支气管,周围组织已形成化脓性炎症。困扰陈叔一年多的罪魁祸首终于现形。
陈子谓表示,临床常见误吸异物包括鱼刺、骨片、假牙、花生、坚果及小玩具等,气道异物在儿童或成人的不明原因咳嗽、肺部感染中均为重要病因,误诊漏诊率高,病死病残率也较高。“我院在职业病防治尤其是‘尘肺’诊断治疗方面有丰富经验,所以影像科医生也能第一时间通过影像发现潜在问题,误诊漏诊率大大降低。”

左下肺支气管可疑异物影像
20分钟精细手术,终结患者长达一年痛苦
经抗感染治疗控制局部炎症,3月27日,该院呼吸科团队为患者实施纤维支气管镜异物取出术。在麻醉团队精准施麻支持下,术中患者呛咳反应轻微、生命体征平稳,主刀医生手持支气管镜快速探过声门、气管、左主支气管,抵达左下叶基底段开口处见一片“块状鱼骨”嵌顿在亚段支气管内,但不规则鱼骨易划伤黏膜、部分骨块软化,嵌顿位置狭窄、炎症水肿等均为手术增加了难度。
支气管镜呈现的高清画面显示,异物钳先轻轻咬住骨块缓慢牵拉,多次尝试后鱼骨有所松动,随后咬住较坚硬部位再次牵拉至左支气管管腔,改换伸入异物网篮将鱼骨套住,鱼骨滑动再次掉下基底段开口;遂退出异物网篮、再伸入异物钳,轻轻咬住鱼骨硬脊,边退支气管镜边将鱼骨慢慢自左下叶支气管、气管、声门带出。
历时20分钟,大小约1.3厘米×1.5厘米的不规则鱼骨被成功取出。术后患者咳嗽咳痰症状显著改善,现已康复出院。

取出不规则鱼骨
块状鱼骨vs条形鱼刺,哪个更危险?
块状鱼骨和条形鱼刺,哪种更为凶险?“两种形态的异物所造成的威胁有较大差异。块状鱼骨由于较为光滑,容易滑入声门经气管呛咳入肺部;而条形鱼刺则容易划伤刺破气管,从而形成‘瘘’,但难以滑入肺部。”陈子谓说。
专家提醒,气道异物滞留急性会导致气道阻塞、窒息,慢性则可能导致阻塞性肺炎、肺脓肿甚至支气管胸膜瘘等。进食时应注意细嚼慢咽,若在进食后出现持续咳嗽、反复肺炎等情况,建议尽早进行支气管镜检查排除异物可能,“气道异物梗阻发生时,可第一时间采用海姆立克急救法进行急救。”
文/广州日报新花城记者:张青梅 通讯员:周艳梅、廖温勃
图/广州日报新花城记者:张青梅 通讯员:周艳梅、廖温勃
广州日报新花城编辑:伍仞