广东人煲汤爱放红枣,但佛山85岁李奶奶却因一颗枣核经历生死劫——尖如刀锋的枣核刺穿肠道,腹腔感染险丧命!记者4月1日从佛山市第二人民医院了解到,同一个月内已经有两人因为“囫囵吞枣”中招。医生提醒,在误吞异物后,一些救命细节市民必须掌握。
事发当天,李奶奶在家喝汤,没想到一不留神把一颗枣核囫囵吞了下去。起初,她并没有感觉到不适,也就没当回事,谁知两天后,肚子突然像被刀绞一样疼,还发起了烧。家人这才意识到问题的严重性,赶紧将她送往佛山市第二人民医院急诊科。此时已是晚上,急诊科何柳清医师考虑李奶奶病情危急,并且合并了“高血压、脑卒中”等众多疾病,便立即开通了绿色通道,为李奶奶安排了急诊腹部CT检查。

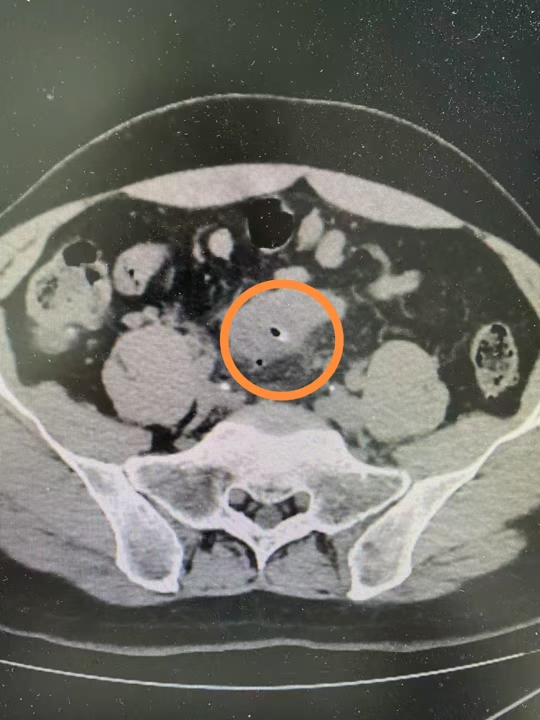
CT结果出来后,何医生发现枣核竟像钉子一样扎穿了肠子,情况十分危急。何医生马上向上级医师汇报,并请胃肠肛肠外科罗兵主治医师会诊。罗兵主治医师发现李奶奶下腹部压痛、反跳疼痛明显,且抽血提示白细胞升高明显,遂立即请示胃肠肛肠外科邱磊主任和魏君副主任医师。
胃肠外科的专家团队火速集结。经过紧急评估,邱磊主任认为需要立即手术探查,否则肠穿孔加重,粪水持续流入腹腔,将导致腹腔持续感染,继而可能引发感染性休克,危及生命。

在急症科的全力配合下,李奶奶从急症科室径直入手术室进行了急诊手术。手术室里,医生小心翼翼取出那颗“罪魁祸首”——枣核两头尖得像针,难怪能刺穿肠壁!最终,破损的肠子被成功修补,李奶奶捡回一条命。

术后李奶奶恢复良好,已回家康复。
不是个例!中年大叔也中招
无独有偶,同月,佛山市第二人民医院还接诊了一位肚痛到满地打滚的中年大叔。经腹部CT检查提示乙状结肠异物穿孔,有生命危险。邱磊主任及魏君副主任医师查看病情及结果后,当即为患者行急症手术探查,成功取出异物,也是一枚枣核。
“现在的枣核比刀片还危险!”医生摇头感叹,之前也曾接诊过边吃饭边刷手机,一口吞下带核的枣子竟浑然不觉,最终发现时,患者已经肠穿孔。
医生敲黑板:这些保命知识必看!
1.老人吃饭要“三慢”:老年人由于咀嚼功能下降、感觉迟钝,更容易误吞异物。因此吃饭要慢嚼、慢咽、慢说话!最好避免食用带有坚硬果核的食物。家人照顾老人也应多加注意,将食物处理得细碎一些,或提前去除果核、鱼刺等,以防意外发生。
2.吃饭别分心:别边吃边刷视频、别大笑,别做其他分散注意力的事情,食物不是闹着玩的!
3.误吞异物别硬扛:一旦发生误吞异物的情况,应立即就医,切勿自行处理,以免造成更大的伤害。
文/广州日报新花城记者:刘艺明 通讯员:黄晓晴
图/通讯员提供
视频/广州日报新花城记者:刘艺明
广州日报新花城编辑:霍泽凯