“终于退烧了!”20岁的小李(化名)在经历了20多天的不明原因发热后,终于在南方医科大学中西医结合医院风湿病科找到了病因,并成功得到了治疗,重新回到了正常的生活轨道。
高烧20多天 嗜酸性粒细胞升高成“缉凶”线索
这场突如其来的发热,让小李深受困扰。每天一到午后,小李体温就开始飙高,最高达39.2℃,伴随着全身肌肉酸痛和疲乏。头痛难忍的他,曾在当地多家医院就诊,被诊断为上呼吸道感染。对乙酰氨酚片、奥司他韦、阿奇霉素、头孢、利巴韦林……先后试过了这么多的药物治疗,发热依旧不退,甚至出现了胸闷和右上腹隐痛的症状。
在当地医院的血常规检查中,小李的嗜酸性粒细胞明显升高。在南方医科大学中西医结合医院,这个线索引起了风湿病科负责人陈恩生的警觉。结合他曾有食用淡水鱼生的经历,陈恩生主任开始怀疑这可能不是普通的上呼吸道感染。追问患者病史得知,今年10月小李曾进食一小碟生鱼片。
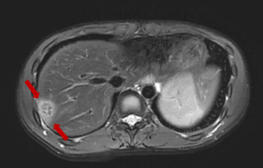
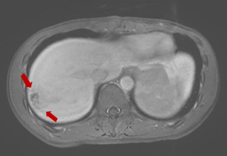
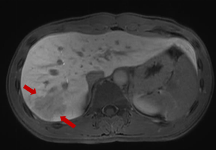
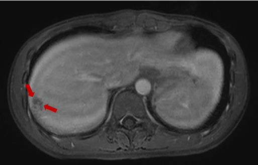
随后,入院查血常规提示嗜酸性粒细胞百分比大于40%,转氨酶明显升高,CT检查提示肝右叶占位性病变。上腹部磁共振增强提示肝右叶包膜下多发液性信号。肥大反应提示丙型副伤寒1:320,考虑沙门菌感染,这是一种由沙门氏菌属细菌引起的常见食源性疾病,可以通过受污染的食物或水传播。




磁共振显示:肝右叶包膜下见多处团片状、楔形病灶。
接着,患者病原微生物NGS检查(病原微生物宏基因组检测)揭示了真正的“元凶”——华支睾吸虫阳性,包虫病IgG抗体阳性。这意味着小李患上了肝吸虫病,也称为华支睾吸虫病,一种由肝吸虫寄生在人体肝胆管内引起的寄生虫病。
对症用药杀灭肝吸虫
陈恩生介绍,肝吸虫病的病因通常是由于食入含有囊蚴的鱼而被感染。肝吸虫的生活史包括多个阶段,终宿主为人及肉食哺乳动物,第一中间宿主为淡水螺类,第二中间宿主为淡水鱼、虾。
肝吸虫病临床表现包括急性期的寒颤、高热、食欲不振、恶心、乏力、腹胀、腹痛、腹泻和肝区压痛等症状,并伴有肝脏肿大、黄疸及白细胞总数和嗜酸粒细胞增多等。慢性期症状可能包括消化不良、肝肿大、上腹隐痛、疲乏以及精神不振等。
药物治疗是肝吸虫病的主要治疗手段,常用药物有吡喹酮和阿苯达唑,能有效杀死肝吸虫及其虫卵。入院三天后,小李的嗜酸粒细胞迅速下降至正常范围。“肝吸虫病对症治疗包括止痛药治疗疼痛和腹泻等症状。在罕见情况下,如发生胆管炎等严重并发症,可能需要外科手术。”陈恩生介绍。
陈恩生提醒,预防肝吸虫病的关键在于改进烹调方法和饮食习惯,不吃生食,不饮生水。此外,注意生熟分开,避免使用切过生鱼的刀、砧板切熟食物,以及保持个人卫生,都是预防肝吸虫病的重要措施。
“小李的故事提醒我们,食源性寄生虫病可能就在我们身边。通过提高食品安全意识和改善饮食习惯,我们可以有效地预防这类疾病的发生。”陈恩生说。
文/广州日报新花城记者:周洁莹 通讯员:袁毅、朱钦文
广州日报新花城编辑:翁淑贤