20岁的小陈(化名)本应精力旺盛、身体强健,但他最近却连续咳嗽了三个月,始终没有好转。被当做感冒和肺炎治疗多次后效果都不明显,随后转到当地三甲医院检查,才发现病因——小陈的胸骨上竟然长了一个巨大的肿瘤,就位于两个锁骨间的正下方。肿瘤大小已有10厘米左右,相当于一个成年人拳头大小。巨大的肿瘤还压迫了旁边的气管,将气管压扁才导致了小陈咳嗽不断。
当地医院不敢贸然手术,辗转求医,小陈来到广州医科大学附属第三医院心胸外科就诊。广医三院心胸外科刘盛华主任评估其属于胸骨肿瘤中罕见的“胸壁肿瘤”,肿瘤位置靠近心脏、血管、气管、肺等重要器官和神经,手术稍有不慎可能危及生命。广医三院多学科团队联合救治,实施“胸壁肿瘤切除+胸廓成形术”,成功摘除巨大肿瘤,并为其重建胸骨,小陈现已恢复正常生活。
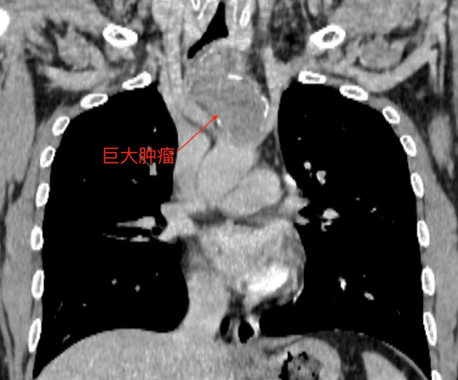
巨大胸骨肿瘤将气管压迫得只剩一条缝
“胸骨肿瘤发病率极低,属于临床上罕见的胸壁肿瘤。”广医三院心胸外科刘盛华主任介绍。从小陈的胸部CT中可见,小陈的胸骨肿瘤就长在胸廓的入口处,位于锁骨间的正下方,靠近心脏、肺等重要器官,而且肿瘤已有10厘米,严重压迫了气管。


小陈就医的时候已有明显的胸闷、气短症状。“小陈的病情其实非常凶险,气管已被肿瘤压成一条缝,即使吃饭呛咳都可能导致窒息死亡。”刘盛华介绍。
广医三院多学科团队联手成功“摘瘤”
面对这种巨大的胸骨,且随时可能导致患者窒息的风险,手术摘除必须尽快进行。但手术的难度与风险不容小视。
首先是肿瘤生长的位置,肿瘤生长的位置,人体所有的大血管都会流经此处,又靠近心脏、肺等重要器官和神经,稍有不慎要么造成严重并发症、要么引发生命危险。其次,肿瘤将气管压迫得只剩一条缝,对手术插管麻醉也带来较大挑战。第三,肿瘤侵犯了胸骨,切除肿瘤的同时也要切除掉部分的胸骨,手术需要用钢板替代切除的胸骨,并固定周围的锁骨和肋骨,术后可能会影响胸腔及上肢的活动功能。种种风险都需要纳入手术的考虑之中。
小陈住院后,广医三院组织了心胸外科、麻醉科、重症医学科和肿瘤科的多学科讨论。针对手术中的气管插管麻醉、手术方式、术中意外的补救方案、术后重症监护和肿瘤相关的辅助治疗等进行全面研讨。
手术当天,医生们发现肿瘤紧贴在心脏连接头部和上肢的血管表面,并压迫着气管,手术操作空间极其有限。由于这些重要血管无法切除或替代,只能小心翼翼地将肿瘤从血管上剥离下来,避免致命的大出血和重要神经的损伤。在刘盛华医生和他的团队配合默契,手术刀在他的手中精准操作,经过紧张的三个小时,肿瘤终于被成功切除。
术后病理显示,小陈的肿瘤恶性,但因为手术切除得干净彻底,不需要进行放化疗,只需定期复查。
“治疗分为手术阶段和康复阶段两个阶段。第一阶段,医生团队成功切除了肿瘤,手术出血少,创伤小。第二阶段是康复阶段,这阶段不确定性最大,对患者影响深远。”刘盛华介绍。术中,医生为小陈植入了钢板,替代切除的胸骨,并固定周围的锁骨和肋骨。康复阶段不仅需要管理术后感染,还要帮助小陈进行康复锻炼,让他能够恢复上肢的功能。在术后一周内,通过医护人员和小陈的努力,顺利度过了感染高发期。出院时广医三院医护人员又为小陈制订了康复和功能训练计划。
从双手不能抬起,到可以一点点抬至胸前,再到和常人一样双手可以正常抬起放下。一个月后,小陈按约定回医院复查,复查结果非常满意,钢板固定牢固,胸部及上肢的活动功能恢复良好,手术后对生活和工作几乎没有影响,目前小陈已经恢复了正常生活,期待早日重返工作岗位。
文、视频/广州日报新花城记者:翁淑贤 通讯员:白恬、张迅恺
图片由医院提供
广州日报新花城编辑:林霞虹