还在母亲腹中遨游时,阳阳(化名)不知不觉就怀抱“担子”:胎儿腹腔长有肿瘤。令人担忧的是,随着阳阳诞生、发育,肿瘤重量长到约1/5体重的比例,这时候,两个月的女婴出现呕奶、呼吸不畅,肿瘤却继续膨胀一路狂飙,直到其扼住生命的咽口。日前,家人带阳阳来到中山大学附属第六医院就诊,经该院多学科团队会诊研讨制定治疗方案,最终宝宝体内的肿瘤顺利被拆除。
2月宝宝“大腹便便”,近1.5kg肿瘤仍迅速生长
临近出生的最后一次彩超检查显示,胎儿腹中有一个直径约为2 cm肿瘤,于是阳阳甫一落地,就接受全面监测。考虑到阳阳年龄较小,手术难度大和麻醉风险均大,她一直在当地医院等待手术机会。
然而,阳阳腹腔的肿瘤在迅速增长,像吹了气,一两个月的时间,腹部膨隆了2、3倍,每日变化肉眼可见。阳阳也逐渐出现呕奶、呼吸急促等症状,换位休息时,喘气尤其明显。四肢纤细的阳阳腹部托着一个大球,十分辛苦。见状,一家人辗转求医后,找到中山大学附属第六医院泌尿外科主任邱剑光主任医师及小儿外科王德娟主任医师,阳阳被收入住院。
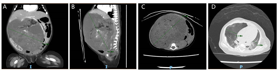
经过详细的体格检查和影像学评估,王德娟表示:“阳阳2月23天龄,但根据CT检查提示其腹腔内肿物尺寸已经增长到15.1cm×10.9cm×15.4cm(图1,A-C),腹腔内3/4都是肿瘤。阳阳6.5kg,肿瘤估计都有1.5kg。迅速增长的肿瘤不仅仅会影响他进食而延缓正常生长发育,还会压迫双侧肺脏及其他脏器,短时间内造成呼吸衰竭等恶果(图1,D),危害生命健康。目前肿瘤性质不明,我们需要采用多种手段进行肿瘤定位定性判断,尽早治疗。”

图说:图1 A-C,腹腔CT提示患儿腹腔内肿物尺寸为15.1cm×10.9cm×15.4cm;D,胸部CT提示患儿腹腔肿瘤压迫导致左侧胸廓减小,纵隔稍左偏。
MDT会诊:一鼓作气全切!先让宝宝喘口气
王德娟牵头小儿外科团队迅速联合麻醉科、儿科、重症医学科、超声科、放射诊断科及外院专家开展了多学科会诊讨论,并为阳阳制定了详细的手术计划。
经各项检查诊断腹中为腹膜后未成熟畸胎瘤,血AFP高达37155.50ng/mL,肿瘤体积短时间内增大迅速,考虑恶性可能,一般应先获得病理进行化疗,再行手术。但该肿瘤性质为囊实性,内部积液多,术前麻醉下穿刺活检未必能在实性部分获得确切的病理,且存在肿瘤破溃风险;肺部因肿瘤压缩,一旦麻醉可能出现呼吸困难,难以脱机;如不能获得病理或化疗效果不佳,仍需要进行手术治疗。经过讨论,会诊专家共同完善方案:先完整切除肿瘤,获得病理,呼吸机支持待肺功能恢复。宝宝已经苦苦支撑太久,手术宜早不宜迟。
小儿外科联合儿科团队完善全链条护航保障,并主动和家长细致沟通,了解到手术必要性和风险之后,阳阳父母郑重签字。
一气呵成,关关难过关关过,剔净畸瘤一身轻
阳阳年幼,得先过麻醉关,麻醉科副主任赵阳副主任医师使出十八般武艺,攻破第一关。
无影灯下,术刀如水,素手划新腹,肿物几欲冲出,却又被纷杂的血管和纤维组织死死缚住,仿佛一头暴躁的怪兽被囚深渊。
宝宝身材娇小,腹腔空间狭窄,王德娟带领团队“出战”,且探且进,步步为营。行医多年,王德娟十分明白,手术台上粉雕玉琢的娃娃有多脆弱,柔、稳、快,是她手术所能给予的关怀,小心快速清理肿瘤与腹腔之间的并联,将肿瘤一点一点从腹腔内剥离,保护因被压迫而被数倍拉长且纤细的右肾动静脉,且避免造成额外出血或损伤正常组织,与此同时,争分夺秒。王德娟团队全神贯注,最终顺利将宝宝腹腔内的巨大肿瘤完整切除,他们从手术室里捧出一个“球”。
随后,阳阳转回儿科监护室由医生团队监护,并接受护长团队悉心照料,生命体征平稳,术后第一日可拔除气管插管,术后第3日即转回普通病房。
术后病理提示未成熟性畸胎瘤,2-3级,尺寸为18cm×17cm×4.5cm。在切除肿瘤后,肺部终于“解放”,阳阳能畅快呼吸。术后第4日即恢复流质饮食,并且在术后第10日顺利出院。在围手术期,宝宝的父母也存在许多恐慌和焦虑,但王德娟团队每日到儿科ICU观察阳阳病情,鼓励、安慰家长,争取最大程度降低他们心中的不安和恐惧。

图2:中山六院小儿外科王德娟团队为患儿实施手术。

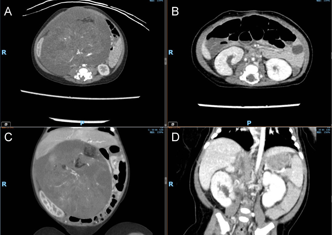
图3:患儿术前和术后腹腔CT对比。A-B,术前和术后腹腔CT横截面对比,提示腹腔内巨大肿瘤成功切除后双肺压迫得到了显著的改善;C-D,术前和术后腹腔CT冠状面对比,提示腹腔内巨大肿瘤成功切除后双肾等腹腔脏器压迫得到了显著的改善。
王德娟建议,各位准妈妈应严格完善产检,以便早期识别胎儿发育异常和母体健康问题,根据检查结果调整孕期管理,确保胎儿健康发育,一旦发现婴幼儿出现异常,要格外上心,及时到医院就诊。
文/广州日报新花城记者:梁超仪 通讯员:张婷婷、戴希安、简文杨
视频/广州日报新花城记者:梁超仪 通讯员:张婷婷、戴希安、简文杨
广州日报新花城编辑:吴婉虹