来自汕尾一名34岁的女子,最近一两年,竟开始要面临“停经”危机,在妇科几经调理始终无果,日前最终在广州的医院查明是脑肿瘤捣乱。
阿婷(化名)早早便结婚,如今两个孩子都已上学。最近一两年,黄婷的月经周期突然变得很不规律,“以为是生孩子后月经紊乱”。她曾多次到妇科就诊,中西药都尝试了,但效果并不理想,“吃药后偶尔会来月经,但量都很少。不吃就不来,甚至4、5个月都完全不来一次月经。”
随之而来的还有视力下降。阿婷以为是平时手机看多了引起的近视,“配眼镜时,发现视力从5.0降到4.6”。让她苦恼的是,戴上近视眼镜后,看东西依然模糊不清,“手机上本来是两个字看成一个,小数点根本看不到,过马路也看不到红绿灯的数字。”
8月3日晚上,阿婷头晕难以入睡,凌晨时晕得直呕吐,还流鼻血。丈夫紧急陪同阿婷到医院,最终查出脑袋里长了肿瘤。“平时偶尔会头晕,一直以为是‘富贵包’或颈椎问题,而且每次按摩后能暂时缓解。”为寻求进一步诊疗,8月19日,阿婷决定来到广东三九脑科医院。
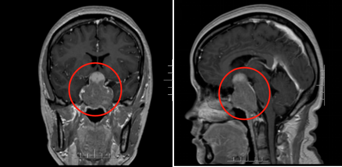
该院神经外三科主任金鑫接诊了阿婷,根据影像资料和症状,初步怀疑阿婷患有垂体瘤合并卒中,“肿瘤最长直径超过5厘米,对患者的内分泌功能和视力都造成了影响”。

术前影像资料
8月26日,该院神经外三科团队为患者行神经内镜下经鼻蝶肿瘤切除术,成功将大小约4.4厘米×3.5厘米×5.1厘米的肿瘤切除。术后病理诊断为垂体腺瘤。
术后,阿婷的症状得到了明显改善,视力已恢复至正常,也没再出现头晕。“从没想过月经紊乱和视力下降都是脑肿瘤引起的。”阿婷说道。

金鑫在手术
“垂体是人体内分泌的‘司令部’。”金鑫解释道,在这里长肿瘤,女性患者往往会出现经期紊乱甚至停经、异常泌乳、不孕等症状,而男性患者则会出现胡须变少、乳房发育、性功能低下、不育等症状。由于垂体瘤生长在蝶鞍内,向上发展则会压迫视交叉或视神经,引起视力下降、视野变窄等视力障碍问题。
金鑫提醒,不少女性可能会出现月经不调的现象,除考虑是妇科问题外,也要警惕脑肿瘤或其他因素引起的内分泌紊乱。
文/广州日报新花城记者:梁超仪 通讯员:张小美
图/广州日报新花城记者:梁超仪 通讯员:张小美
广州日报新花城编辑:伍仞