近日,一位女孩出现反复高热,经治疗无效,发热一周后到广州一医院急诊就医,后被诊断为“鹦鹉热”,而“元凶”原来正是家中饲养的鹦鹉。
广州医科大学附属中医医院天河急诊科孔祥照副主任中医师提醒,在感染“鹦鹉热”后会出现发烧、咳嗽、咽痛等类似流感的症状,也容易误诊,若不接受正规治疗,随着病情进展,可能发生肝功能障碍等并发症,在治愈后也有一定复发几率。市民在接触禽鸟后,应及时洗手,如果出现症状应及时就诊,排查“鹦鹉热”可能。
案例:反复高热一周入院,原是家中萌宠惹的祸
近日,一位17岁女孩小美(化名)因为反复高热一周,经治疗无效到广州医科大学附属中医医院天河院区急诊发热病区就医。
经仔细询问病史,急诊科孔祥照副主任中医师得知患者家中有饲养鹦鹉,具有鹦鹉密切接触史及相关临床症状,根据多年的诊治经验,医生考虑极有可能是鹦鹉热衣原体肺炎,立即予以口服多西环素作抗感染治疗,并加服中药汤剂,在24小时后,热峰逐渐下降,小美在48小时后已经完全退热。

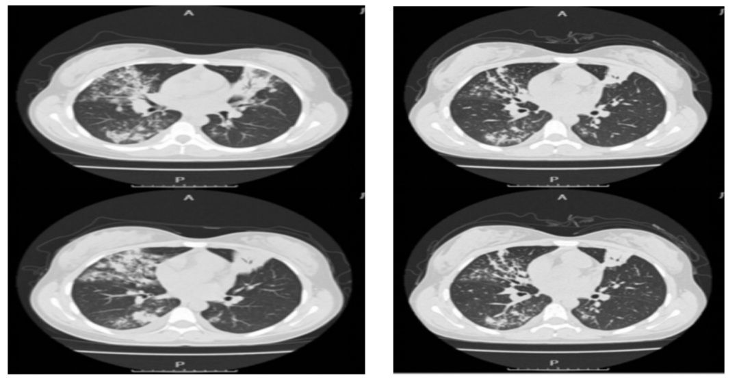
左图:入院时胸部CT示双肺多发感染,部分实变影;右图:治疗8天后,患者肺部渗出、实变比之前吸收减少。在小美退热后,护师又通过雷火灸等中医特色疗法,有效缓解了头晕、恶心呕吐、食欲差等症状,临床症状明显改善,病情好转,住院8天后已出院。“一般来说,鹦鹉热衣原体肺炎疗程一般为10至14天,但是患者症状大部分好转,复查指标显示没有其他并发症,出院后继续口服药物即可。住院时间明显缩短了,也减少了经济负担。”孔祥照说。

急诊医护与患者合影。病因:“鹦鹉热”主要通过呼吸道途径传播
近年来国内“鹦鹉热”病例时有报道,患者多出现咳嗽、高热不退,甚至在CT检查时发现“白肺”,与新冠、流感症状表现也非常相似。如果怀疑自己得了“鹦鹉热”,需要如何诊断和治疗呢?
孔祥照介绍,鹦鹉热(Psittacosis)又称鸟疫,是鸟类、人类及一些哺乳动物感染鹦鹉热衣原体(Chlamydia psittaci)所致的自然疫源性传染病。其潜伏期为5—21天,最短3天,最长45天。该病曾在欧洲爆发流行,1893年首次从病鸟中分离出病原体,1894年确认患病鹦鹉为传染源并取“鹦鹉热”病名。
鹦鹉及许多其他鸟类(如鸽类)是鹦鹉热衣原体的自然宿主,鸡、鸭等禽类尤其是野生禽类、哺乳动物为潜在感染宿主。人类一般通过呼吸道吸入病原体感染,在被鸟啄伤、抓伤或屠宰拔毛时,就有可能通过呼吸道感染,而在接触带有病原体或居住工作的环境中吸入带病禽鸟已风干的排泄物、尘埃等,也可能“中招”。与得病或携带病原体的人亲密接触,也可能被传染。
鹦鹉热可发生在任何年龄和性别的人群,但发病率在中年为高峰,年龄范围为35岁~55岁。鹦鹉热衣原体在全球许多国家、地区都有发现,且随着动物迁徙、宠物鸟类饲养的增加,鹦鹉热衣原体感染也呈逐年上升趋势。从事禽类、鸟类养殖、运输、交易、屠宰、加工等工作的人员为高危人群。
诊治:得了鹦鹉热会怎样?
孔祥照介绍,鹦鹉热衣原体感染的临床表现多样,可从无症状感染到重症非典型肺炎和全身性疾病,具体症状表现包括:
1.全身症状:高热、畏寒、疲劳、头痛、肌痛,高热可达40℃,高热不退是其特点;
2.呼吸道症状:鹦鹉热衣原体最常感染的部位是肺部,主要引起咳嗽、早期轻症患者多为干咳,严重者可出现咳痰、呼吸困难等;
3.肺外表现:较为少见。鹦鹉热衣原体经肺入血后,可在肝、脾、单核巨噬系统内增殖,然后经血行播散至全身器官。其临床症状多样,以肺外脏器如肝、脾、心、胃肠道、中枢神经系统等损伤常见,可见肝脾大、肾炎、心动过速、心肌炎、腹泻、脑膜炎、横纹肌溶解等。
“‘鹦鹉热’在症状上与流感、新冠很难区别,所以很容易误诊,判断时一定要结合流行病学病史,了解是否有鸟、禽类接触史。”孔祥照介绍,病原学检查是“鹦鹉热”诊断的金标准,但病原学培养存在一定的难点,对实验室生物安全要求高,需要P3试验室,无法常规开展。PCR检测对疾病早期诊断更有价值,但对病原体的诊断单一,只适合临床上高度怀疑鹦鹉热衣原体的患者进行特异性的靶向诊断。而mNGS宏基因组二代测序可快速、特异性检测出鹦鹉热衣原体,能提高鹦鹉热诊断的准确性,减少延误。治疗上,目前鹦鹉热衣原体感染指南推荐首选四环素类,次选大环内酯类,每疗程至少连续用药10天。
孔祥照提醒,“鹦鹉热”患者若不接受正规治疗,随着病情进展,可能发生肝功能障碍、贫血、肝脾大等并发症,重症感染可能引起多器官衰竭,甚至死亡。经针对性用药后,“鹦鹉热” 症状可明显改善、大部分患者胸部CT提示病灶明显吸收,但在治愈后也有一定几率复发。
预防:建议养鸟人群这样做
急诊科李珊中医师建议,养鸟或经常接触禽类的人,需注意预防做好以下四点:
1.对于一部分有养鸟习惯的人群,应该在正规的、经过检疫的场所购买鸟类或者禽类。
2.养鸟者可以在饲料中加入四环素,清理分泌物和粪便时戴口罩,接触后勤洗手,人鸟不共室。
3.鸟类生病后,其生活环境中的空气、尘埃就可能带有传染性,人如果在接触病鸟粪便后再揉自己的眼和鼻,也可能会得病。
4.如果在接触禽鸟后出现高热、咳嗽、头痛、肌肉疼痛等症状,应主动向医生提供禽类或禽类环境的接触史。
李珊提醒,市民在接触禽鸟后,应注意及时洗手;从事禽类运输、售卖、宰杀等工作的人群,应该正确佩戴口罩,做好环境卫生和消毒;如果在接触禽鸟后出现高热不退等症状,应及时就医并告知医生禽鸟类接触史,以便医生及早排查“鹦鹉热”的可能。
医学指导:广州医科大学附属中医医院天河院区急诊科张智琳主任中医师,李少玲副主任护师
文/广州日报新花城记者 吴婉虹 通讯员 徐心怡
图片由受访者提供
广州日报新花城编辑:李津