茂名一名31岁女子在妊娠晚期出现头痛,并突发癫痫陷入昏迷。危急之下,医生细致排查,发现是颅内静脉窦血栓形成所致。所幸经及时手术,女子恢复清醒。医生提醒,孕产妇是该病的高发人群。
产妇多次癫痫发作
据李先生(化名)回忆,6月初,怀孕九个多月的妻子小莫(化名)反复出现头痛。由于检查提示胎儿一切正常,他们以为只是普通的孕期不适。
6月7日凌晨,距离预产期还有十来天,小莫却见红了。“在待产时,她突然出现四肢抽搐、口吐白沫、两眼上翻,很快就昏迷了。”李先生说,紧急剖腹产下宝宝后,小莫再次出现癫痫症状,直到打了镇静剂。起初,当地医生怀疑是癫痫病。但李先生表示,妻子及其家人都没有癫痫病史。次日的CT检查提示小莫脑内多处出血。
小莫转到上一级的医院时,已是深昏迷状态,且复查显示脑内出血量增多。为寻求进一步诊疗,6月10日凌晨,小莫进一步被送到广东三九脑科医院。
孕产妇是高发人群
“患者入院时意识昏迷,情况危急,立即转入了重症医学科。”该院神经外十科欧阳辉教授介绍,患者是年轻产妇,颅内多发出血且形态不规则,并非是常见的脑出血,而是大静脉窦血栓导致脑静脉血液回流受阻,压力增高引起的淤积性出血。

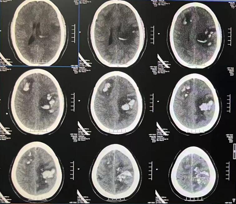
影像提示:颅内多发出血且形态不规则
神经外十科及神经血管介入科急诊为患者行全脑血管造影。结果显示患者的上矢状窦、右侧横窦等颅内大静脉完全堵塞,证实是大静脉窦血栓。欧阳辉教授表示,虽然出血十分严重,但不能轻易开颅清除血块,应先对因治疗,疏通大血管(静脉窦)。否则患者的病情会持续恶化,危及生命。
随后,医生紧急将堵塞在患者静脉窦内的栓子取出,再应用抗凝血药物进一步稳定病情。“静脉血管通畅后,颅压下降,患者颅内的血块有望自行吸收,无需再行开颅手术。”神经外十科冯桂栗主治医师补充道。目前,小莫已恢复清醒,能够对话、吃饭,正在接受进一步康复治疗。

取栓前:静脉窦显影不佳(左);取栓后:静脉窦显影好转(右)
欧阳辉教授介绍,颅内静脉窦血栓是少见的脑血管疾病,但孕产妇却是高发人群。“怀孕后机体内激素和凝血状态改变,血液处于高凝状态,容易导致血栓形成。”此外,口服避孕药、吸烟、少饮水、久坐少动等都是静脉窦血栓形成的危险因素。
“该病因恶性颅高压可引起癫痫、脑出血、视力及肢体障碍等,严重者可致脑疝,迅速危及生命。致残及致死率高。”欧阳辉教授提醒,孕产妇如出现上述症状,需高度警惕颅内静脉窦血栓的可能。
文、图/广州日报新花城记者:梁超仪 通讯员:张小美
广州日报新花城编辑:李津