为满足患者对舒适化医疗的迫切需求,南方医科大学口腔医院海珠广场院区以舒适化治疗、微创、显微治疗为特色,打造顶级的口腔舒适化治疗中心,于近期正式投入运行。
全方位舒适化升级 这个中心不一般
口腔舒适化治疗中心位于我院海珠广场院区,建有三间手术室和两间复苏室,根据患者情况,采取不同的镇静镇痛及全身麻醉方式,舒缓患者治疗时疼痛,让看牙更轻松。中心开展的全麻下一次性牙科治疗,每台手术配有两名麻醉师,提供双重保险,日间手术免于频繁奔波,患者享受“睡一觉”的舒适化诊疗服务。

中心全面改造升级,就诊环境宽敞明亮,儿童诊室打造了长颈鹿、大熊猫等可爱动物的主题诊室,周围也都是充满童趣的环境设施,让大小患者们在愉悦放松的情况下进行口腔治疗。医院作为全国镇静镇痛专委会副主委单位,通过专业培训、准入考核和分级管理,在海珠广场院区主任陈柯主任医师带领下打造了省内最具影响力的口腔舒适化治疗团队,许多患者从省内外慕名而来。

中心将继续以“舒适化让看牙变得轻松”为服务理念,在保障医疗安全的基础上多方面追求医疗的舒适化与人文关怀,让患者在整个就医过程中感受到生理和心理上的无痛感、愉悦感和幸福感。
服务能力全面提升 共享就医新体验
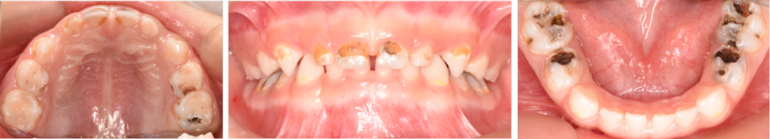
来自广东东莞的3岁男童小邓,长期受困于全口多颗蛀牙,他常常痛到不能进食,影响生长发育,瘦弱矮小。家长辗转多家医院就诊,由于孩子小、坏牙多,普通门诊无法完成治疗,慕名来到该院口腔舒适化治疗中心求诊。

小邓口腔治疗前的照片
考虑到患儿年龄偏小,害怕牙科治疗,经过检查评估后,治疗团队向小邓家长推荐了全麻下儿童龋齿综合治疗方案。和常规治疗相比,患儿在治疗中感受不到疼痛,使治疗过程更顺畅。在详细了解治疗方案后,小邓家长欣然接受。

治疗结束后,小邓从睡梦中醒来,惊喜地发现虫牙都不见了。复诊时,小邓告诉医生“现在牙不痛了,吃嘛嘛香!”

小邓口腔治疗后的照片
什么是口腔舒适化治疗?
舒适化诊疗是一种先进的医疗理念,是通过追求医疗的舒适化、人性化,使患者在整个就医过程中达到心理和生理上舒适感、无痛苦和无恐惧感。其中“无痛诊疗”是舒适化医疗的核心环节。口腔“舒适化治疗”,就是指通过药物麻醉、镇静镇痛、改进诊疗方式等手段,增强患者在口腔治疗过程中的安全感和舒适感,减少疼痛及牙科治疗可能导致的心理创伤。
口腔舒适化治疗的应用范围是什么?
1. 惧怕看牙的成人及儿童患者;
2. 咽反射敏感的患者;
3. 高龄或患有高血压等需要特殊监护的人群;
4. 脑瘫、孤独症、发育迟缓等无法进行常规治疗的患者;
5. 其他对口腔舒适治疗有需求的患者。
口腔舒适化治疗有哪些优势?
更高效:相较于常规门诊治疗,口腔舒适化治疗采用镇静镇痛下一次性牙科治疗,有效减少就诊次数和时间。
更舒适:治疗处于“睡眠”状态,在“无痛”中完成治疗,有效避免患者因紧张、恐惧而产生心理阴影。
更安全:镇静镇痛下患者没有了哭闹及肢体对抗,降低了误吞、误伤等医疗事故的发生。
目前,南方医科大学口腔医院与南方医科大学第五附属医院深度合作,携手共建口腔舒适化治疗中心已正式运行,将为更多惧怕看牙的大、小患者提供舒适化的诊疗服务。
文/周湘、刘梦圆
(资讯)