近年来,口腔癌呈发病率逐渐升高且年轻化的趋势,其转移率高、预后差、进展快,一旦到了晚期,传统手术治疗会在颊部造成洞穿性切口,对患者术后的生活质量有非常大的影响。日前,广州医科大学附属口腔医院欧阳可雄主任医师团队联合广州医科大学附属肿瘤医院黄中副主任医师团队,采用了新辅助治疗与手术治疗结合的方案,成功保住一位局部晚期颊癌患者的面部,让患者恢复健康的同时也保留了术后的生活尊严。
病例:颊癌联合疗法助患者保留外观
半年前,在广州工作的刘先生(化名)发现自己左脸长了一个肿块,还不断变大,同时伴有破溃、易出血的现象,于是前往广州医科大学附属口腔医院口腔颌面外科就诊,经病理活检确诊为左颊鳞状细胞癌。接诊的欧阳可雄主任医师解释,刘先生病灶范围过大,累及左上颌牙龈、左舌根及软腭,如果选择传统的手术治疗,左颊部会形成洞穿性缺损,连下颌骨都需要进行节段性的切除,且术后肿瘤复发率较高,效果不甚理想。刘先生非常担忧,“我在网上看过其他人手术治疗后的照片,半边脸都被切掉了,我才四十多岁,就算治好了,半边脸都没了还怎么活呀?医生,还有没有其他治疗方法?”

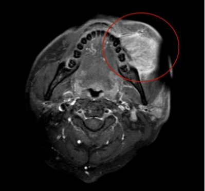
磁共振影像显示左颊部团块状肿物大小达48×39×52mm(比高尔夫球大)
为此,欧阳可雄主任医师团队联合广州医科大学附属肿瘤医院放疗科黄中副主任医师团队开展会诊,对患者病情及预后等情况全面分析,最终决定采用综合治疗方案:新辅助治疗(免疫治疗联合化疗)加手术治疗。
欧阳可雄介绍,新辅助治疗是近年来新兴的一种治疗手段,指在主要治疗手段(通常是手术)之前实施的治疗,旨在缩小肿瘤、控制病情,使原本无法手术切除的肿瘤获得可切除机会,或使需要进行的手术更为保守,保留更多的正常组织,尽可能提高患者的总体生存率和生活质量。

新辅助治疗后的磁共振影像,显示肿物缩小至硬币大小,累及程度减轻,左侧颊肌、咬肌强化影较前减轻。
“这位患者是局部晚期颊癌,病灶大且已侵犯周围组织、器官。传统手术治疗会从口内的黏膜到口外的皮肤全层切除,术后面部形成一个空洞。之后再从大腿上取一块皮瓣来修复,就是使用大腿上的皮肤以及皮下肌肉、血管,肌肉填塞空腔,血管和颈部的血管吻合进行血供。术后对患者的恢复、生活质量都有非常大的影响。”欧阳可雄说,“我们希望能做到最大可能性兼顾健康与尊严,让患者活得更长、更好。”
通过欧阳可雄主任医师团队及黄中副主任医师团队的积极治疗,不仅完全切除了患者的左颊部肿瘤,同时也完整保留了其左面部皮肤,极大提高了患者的生活质量。术后患者定期随访至今,目前恢复良好。

欧阳可雄主任医师手术中(左)

广州医科大学附属肿瘤医院放疗科黄中副主任医师
提醒:这些不良嗜好是患癌毁脸元凶
“我再也不吃槟榔了,”手术成功后的刘先生感慨。据悉,刘先生已有十余年的吸烟史和饮酒史,平均每天抽10支,并且嚼槟榔已6年。
“最好的治疗是预防,不给口腔癌留机会,”欧阳可雄强调,“预防口腔癌最重要的是戒除吸烟、过量饮酒、嚼槟榔等不良嗜好。”同时,还需要注意对光辐射的防护,避免过热饮食刺激口腔黏膜组织,避免口腔长期的不良刺激,及时调整尖锐牙尖和义齿锐利边缘,防止对软组织反复刺激,并保持良好的口腔卫生等。
欧阳可雄提醒,口腔癌的发生过程常伴有一些明显的体征,如:口腔内有2周以上未愈合的溃疡;口腔黏膜有白色、红色和发暗的斑;口腔与颈部有不明原因的肿胀和淋巴结肿大;口腔内有不明原因的反复出血;面部、口腔、咽部和颈部有不明原因的麻木与疼痛等。一旦发现上述症状,应当及时就医。
文/广州日报新花城记者:吴婉虹
通讯员:张曼莉、李耀文、郭千千、朱川东
图片由医院提供
广州日报新花城编辑:李津