“感谢你们,让我‘大步揽过’,可以回家过年了!”农历甲辰龙年前,从事餐饮行业的曹先生突发不明原因高热,且病情进展迅速,出现了大面积“白肺”,住进了当地ICU,生命一度拉响“红色警报”。转院到中山大学孙逸仙纪念医院后,该院急诊EICU医护团队为他开展“生命接力”,最短时间内精确锁定“元凶”——重症鹦鹉热衣原体。经过精准施治,曹先生转危为安,并于春节前痊愈出院。
“广东实力中青年医生”、中山大学孙逸仙纪念医院急诊科副主任杨正飞教授提醒,“鹦鹉热”又称“鸟热”,是由“鹦鹉热”衣原体引起的人畜共患病,养鸟爱好者和密切接触禽类的行业从业者出现高热、恶寒、头痛、肌痛、咳嗽和肺部浸润性病变等,要警惕得了这种“鸟病”。
餐厅老板高烧五天出现“大白肺”
曹先生经营一家以“鸡煲”为主打特色的餐厅,每天清晨都会前往当地活禽交易市场购买新鲜食材。春节前,曹先生突然出现了不明原因的高热,最高体温达到40℃,起病时伴有少许咳嗽、全身肌肉酸痛、乏力等不适。曹先生按照以往经验,自行服用了抗病毒口服液及退烧药,但症状仍未见缓解,相反病情每况日下,不适症状也越来越严重,短短5天时间既已“无法正常呼吸”。
曹先生去附近一家医院就诊,一拍胸片才发现,此时他的双肺已经出现了大面积的“白肺”,随即住进了当地ICU,并接受了气管插管及呼吸机辅助呼吸治疗。因一度出现极度缺氧,病情严重的他被紧急转送至中山大学孙逸仙纪念医院急诊EICU接受进一步治疗。
“当时患者有重症肺炎,氧合指数<100,我们立即启动ECMO(体外膜肺氧合)治疗。”该院急诊科副主任杨正飞教授介绍。该院心血管外科ECMO团队梁石副教授迅速带领团队成员赶到急诊,一气呵成地完成穿刺、置管、预冲管路、接机等一系列操作步骤。当鲜红的血液重新输进患者体内后,患者血氧饱和度立即有了明显改善,提升至100%。在ECMO支持下,EICU医护团队立即为曹先生进行纤支镜下肺泡灌洗并送mNGS(病原微生物检测)查找“元凶”。医院细胞分子诊断中心用最快的速度完成检测流程,终于找到了导致“大白肺”的元凶—“鹦鹉热支原体”。
经医疗团队精心救治,曹先生转危为安,入院一周后撤离ECMO支持,一周后停用呼吸机,经过加速康复锻炼后,曹先生得以平安回家过年。

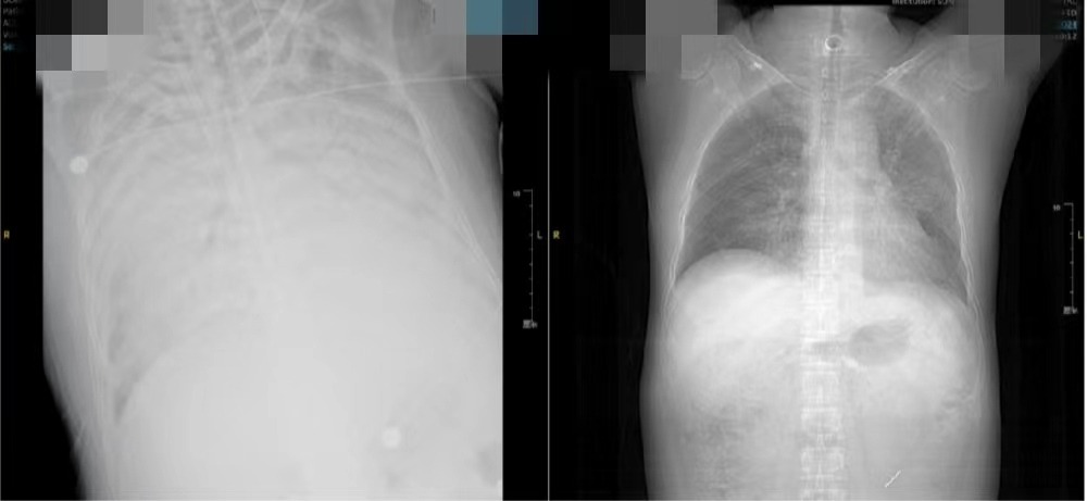
治疗前“大白肺”(左)和治疗后(右)对比

曹先生顺利痊愈出院,为医护团队送上锦旗
“鹦鹉热”也会感染家禽 常接触活禽类人群须警惕
“广东实力中青年医生”、中山大学孙逸仙纪念医院急诊科副主任杨正飞教授介绍,“鹦鹉热”又称“鸟热”,是“鹦鹉热”衣原体引起的人畜共患病。最初这种病在鹦鹉爱好者中比较多见,所以叫“鹦鹉热”。但是,这种衣原体的主要宿主除了鹦鹉科鸟类(如相思鸟、金丝雀、鸽子、海鸥等)之外,也可能存在于鸡、鸭等家禽中。鹦鹉以及鸡鸭等家禽的分泌物、羽毛及尘埃、排泄物均可能含有鹦鹉热衣原体。而混于尘埃中的衣原体或感染性气溶胶可经由呼吸道吸入肺部,继而定植在肺泡引起鹦鹉热衣原体肺炎。
感染鹦鹉热衣原体后,患者通常表现为高热、恶寒、头痛、肌痛、咳嗽和肺部浸润性病变等特征,重症感染可能引起多器官衰竭,死亡率非常高。然而,常常会因为患者症状多变、缺乏特异性,临床医生经验不足,忽略患者的禽鸟接触史等原因导致漏诊、误诊。
鹦鹉热衣原体为细胞内寄生的微生物,一般的常规检查很难检测出来。近年来,二代基因测序(mNGS)技术作为一种新的检测工具逐渐应用于临床,在传统手段无法明确病原菌情况下,mNGS可以通过序列比对,从而准确、高效地检出样本中可疑病原菌,因而鹦鹉热衣原体诊断率也明显上升。
杨正飞教授提醒,预防鹦鹉热衣原体感染要注意三点:
首先,对于饲养鸟、饲养及宰杀家禽类动物的人员平时一定要注意自我保护,比如戴口罩,注意手部卫生,勤洗手,保持环境通风。
其次,市民进入活禽市场应注意卫生,购买宠物鸟要到正规宠物店购买,不收养来历不明的宠物鸟;每天需清洗鸟笼、食盘、水碗及沾有禽鸟排泄物或分泌物的物件,要做好个人防护。
最后,食用禽类时应高温烹煮。高危人群一旦出现发热和呼吸困难,须及时到医院就诊,并向医生主动提供鸟类及家禽类接触史。
文/广州日报·新花城记者:任珊珊 实习生:黄靖容 通讯员:黄睿、刘文琴、林栩琪
图片由医院提供
视频/广州日报·新花城记者:任珊珊 实习生:黄靖容
广州日报·新花城编辑:吴婉虹