近日,中山大学附属第一医院南沙院区(以下简称“中山一院南沙院区”)急诊内科收治群弹出一则消息:“有一名从新疆来的患者,慢性阻塞性肺病急性加重、液气胸,81岁男性……明天可以收吗?”了解到患者情况危急,该院呼吸与危重症医学科黄鑫炎医生当机立断:“收!”
就这样,81岁的患者李伯(化名)从新疆乌鲁木齐出发,经救护车转运近60小时,跨越4000多公里,来到中山一院南沙院区。
广州日报·新花城记者获悉,李伯患有难治性气胸,合并多种基础病,病情十分危急。入院病情稳定后,呼吸与危重症医学科团队为他进行了胸膜固定术,经过专业救治,李伯日前已痊愈出院。

家属们送来锦旗表示感谢
高龄慢阻肺突发气胸,踏上跨越千里就医路
李伯患极重度慢性阻塞性肺病(简称慢阻肺)已经十几年了,长期需要居家吸氧和接受药物治疗。在一个多月前,他突发胸闷、气促,在当地医院被确诊为自发性气胸。
中山一院南沙院区呼吸与危重症医学科执行主任廖槐副教授指出,慢阻肺是一种严重的呼吸系统疾病,主要表现为气流受限、通气困难和气体交换异常。很多患者合并不同程度的肺大泡,肺大泡一旦破裂后就可能出现气胸,伴随呼吸疼痛,而且往往很多是难治性气胸。气胸可能进一步加重呼吸困难,降低氧气供应,导致肺功能进一步下降,甚至引起呼吸功能衰竭。
“在当地治疗后,他的情况还是很糟糕,我们一家人都慌了……”李伯家属说。在网上了解了相关信息后,经过慎重考虑,家属们决定让李伯戴着胸腔引流管出院,乘坐救护车从新疆来到广州,这一决定被他们视为“救命稻草”。
“来到医院后,我们发现患者双肺严重肺气肿,有多个肺大泡,几乎没多少正常的肺组织了。”廖槐告诉记者,李伯还存在肺部感染、心功能不全、低蛋白血症、前列腺增生等问题,可能由于一路颠簸损伤,患者还有血尿,这些问题都很棘手。
不断调整救治方案,一步步度过危险期
为了解决这一系列问题,多学科专家团队决定先控制好李伯的基础问题,对气胸的治疗先暂时采取相对保守的负压持续吸引来促进肺的复张。又根据患者先前的用药,调整了抗感染的治疗方案,并邀请心内科医生来帮助改善患者的心功能。

为改善患者较差的营养状况,需要插中长导管进行静脉营养治疗
与此同时,呼吸与危重症医学科带头人谢灿茂教授、廖槐和黄鑫炎共同制定了3个处理预案,并且根据患者情况及时调整方案的选择,一步步让李伯度过了危险期,病情渐渐稳定下来。
“李伯病情反复,心肺功能很差,这意味着他短期内难以耐受支气管镜介入手术治疗。”廖槐说。经过再次进行病例讨论,医护团队考虑尝试换用新的胸膜固定药物再次行胸膜固定术,并通过调整体位达到重点粘连固定右上肺胸膜的目的。
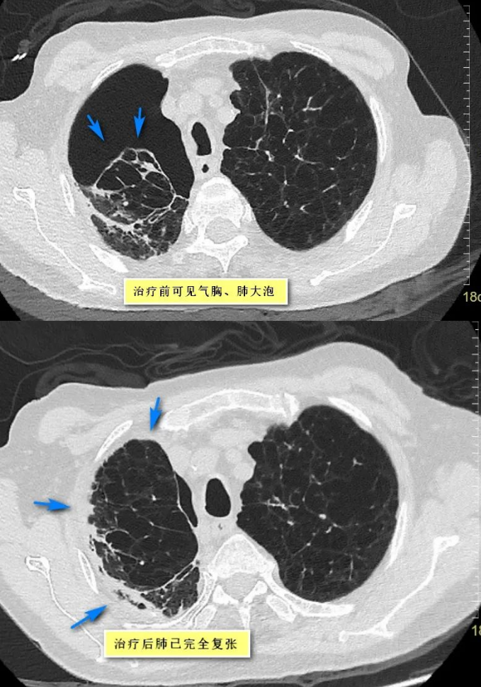
经过与李伯和家属的沟通,呼吸与危重症医学科团队为李伯进行了胸膜固定术。“治疗过后,患者气胸引流管漏气量逐渐减少,气促症状逐渐缓解,手术很成功!”廖槐告诉记者,2023年12月7日,CT复查显示李伯的肺已完全复张,能够顺利地拔除胸腔引流管。很快,李伯便痊愈出院了。

CT显示李伯的肺经治疗已经完全复张
“没想到,这么快我们一家人又能团聚了!”李伯出院前,家属送来了锦旗,再次表达了对多学科救治团队的感激。
链接:气胸,一种“会呼吸的痛”
“有气胸的患者呼吸都会很难受,这是一种‘会呼吸的痛’。”廖槐指出,当空气从肺部漏出,停留在肺和胸壁(胸膜腔)之间,阻止肺的充分扩张,就形成了气胸。
难治性气胸常常是慢阻肺的严重并发症。“难治”体现在很多方面,慢阻肺患者的基础肺功能不好,即使使用多种药物,也不一定能够很好地控制疾病。同时,慢阻肺患者通常具有多种并发症,如心血管疾病、高血压、糖尿病等,需要综合管理和个性化治疗方案。
目前可选的气胸治疗手段有胸腔闭式引流、胸膜固定术、气管镜下介入治疗、胸腔镜手术或开胸手术等。然而,考虑到慢阻肺患者的肺功能很差,麻醉和手术风险高,治疗难度大。
“患有严重慢性阻塞性肺疾病合并难治性气胸的患者面临治疗的难度会更大。”廖槐说,为避免出现这些危重的情况,慢阻肺早期的筛查和早期干预是关键,能够帮助患者获得更有效的治疗和更高的生活质量。
廖槐提醒,慢阻肺患者发生气胸后,需及时寻求专业治疗,定期复查,并积极采取措施,如戒烟、避免剧烈运动和严重的大气污染等,以降低复发风险。
文/广州日报·新花城记者:徐依励 通讯员:潘曼琪
图片由通讯员提供
广州日报·新花城编辑:魏丽娜