骶骨与骨盆处在人体的“关键要塞”,若在这个位置长了肿瘤,想要精准“拆弹”难度巨大。近日,一名58岁的患者曾女士(化名)罹患全骶骨和左侧骨盆恶性骨肿瘤,据了解,骶骨骨盆肿瘤手术通常有出血多、风险高、复发率高的特点,严重时甚至会危及患者生命,国内目前仅有为数不多的几个骨肿瘤中心可以完成这一惊险的手术。
11月14日,广州日报·新花城记者从中山大学附属第一医院(以下简称“中山一院”)获悉,该院骨肿瘤科创新性地应用达芬奇手术机器人联合骨科手术机器人为曾女士精准切除恶性骨肿瘤,并恢复了患者脊柱与骨盆的连接。这也是在国际上首次运用双机器人进行手术。
骶骨骨盆肿瘤在传统手术方式下面临大出血风险
腰骶部疼痛伴左大腿疼痛麻木3个月,曾女士前往当地医院就诊。在医院接受核磁共振检查后,医生发现她的骶骨部位长了肿瘤。了解到如要进行骶骨骨盆肿瘤手术,难度不小,于是曾女士及家属几经周转,找到了中山一院骨肿瘤科主任尹军强教授。
“根据穿刺活检病理,我们判断她患有骶骨间叶来源恶性肿瘤。”通过与患者家属充分沟通,并进行2次新辅助化疗后,尹军强教授决定为患者施行全骶骨联合部分髂骨切除的手术治疗。
尹军强教授告诉记者,由于曾女士的肿瘤累及广泛且与骨盆区神经、血管粘连,要想整块切除肿瘤并且重建躯干与下肢骨骼,手术十分困难、风险极高。如果术中腹主动脉、腔静脉、髂血管、骶前血管损伤,就可能引起大出血和休克,危及生命!根据既往经验,这类大范围手术平均出血量可达3000-5000毫升。“如何做到微创治疗,减少出血和并发症是此类肿瘤切除的难题。”尹军强教授说。

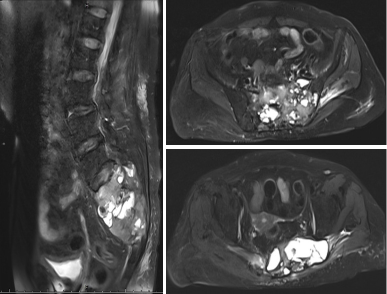
患者术前影像资料显示全骶骨、左侧骨盆及臀部肌肉广泛受累
面对手术的挑战,术前必须做好精密的手术方案,尹军强教授组织了多次的多学科会诊。在征得患者及家属同意后,专家团队决定在机器人微创辅助下行骶前肿瘤分离,结扎肿瘤血供,减少后路切除肿瘤手术时的大出血风险。同时,在后路骨科机器人的辅助下,进行全骶骨+左侧部分骨盆精准切除、重建,尽可能降低肿瘤复发风险。

骨肿瘤科、胃肠外科、麻醉科、ICU和手术室等MDT团队制定手术方案
“双机合璧”减少术中出血 同步恢复脊柱与骨盆连接
10月31日,在骨肿瘤科、胃肠外科、泌尿外科、血管外科、麻醉科、重症一区(ICU)、手术室及输血科等相关科室的精心准备后,手术如期进行。
麻醉科、ICU及心内科充分评估患者心肺功能等情况后,胃肠外科一科副主任吴晖主任医师在机器人辅助下进行骶骨前方肿瘤分离,精准游离腰5、骶前动静脉、髂内髂外动静脉,结扎骶前正中动静脉及肿瘤主要供区的髂内血管分支,将肿瘤与直肠等脏器分离开。

骨科显微外科医学部副主任、骨肿瘤科主任尹军强教授在手术中(左三)

多学科团队配合
前路手术顺利进行,患者腹部仅有几个约1-2厘米长的操作孔,几乎无明显出血,为后路肿瘤的切除创造了条件。随后,在麻醉科安珂主任医师、江楠主任医师护航下,手术室护士将患者转运至骨科手术间。“骨科手术机器人有专门的房间,因此在前路手术结束后,如何快速转移也是一大挑战。”护理部副主任、手术麻醉中心科护士长龚凤球说,经过人员配合和术前的充分准备,在麻醉和呼吸不间断的情况下,术中成功将患者连同管道和监控设备等“无缝衔接”转移至骨科手术间,继续进行后续手术。
随后,由尹军强教授主刀行后路全骶骨+左侧髂骨精准切除。通过超声骨刀精准截骨,分离安全的肿瘤边界,将肿瘤彻底切除。紧接着,医生团队根据术前设计的重建方案,在骨科机器人辅助下利用腰椎钉棒内固定系统,将腰椎与骨盆连接起来,恢复患者脊柱与骨盆的骨性连接。
在手术过程中,离不开麻醉科医生的密切配合。“术中的保温很重要,要避免患者出现过低的体温从而导致凝血功能异常,也必须要实时控制出血量。”麻醉科副主任杨璐主任医师说。通过多学科协作,手术历时15小时顺利完成,不但完全切除肿瘤,还通过重建恢复患者脊柱与下肢连接,为患者将来重新站立行走提供了保障。

术后患者脊柱与骨盆成功连接
据了解,中山一院骨肿瘤中心沈靖南教授、尹军强教授联合胃肠外科何裕隆教授、吴晖教授曾多次在国内及国际学术会议报道应用机器人切除骶前肿瘤的创新性手术方式,论文发表于《BMC肌肉骨骼疾病》(BMC Musculoskeletal Disorders,2018)。本次手术尝试是在多次实践和总结报道后,创新性地将两种手术机器人相结合。
“双机器人手术更微创、精准,患者术中出血量不足2000毫升,术后患者生命体征十分平稳。”据尹军强教授介绍,本次手术比之前报道的全骶骨出血量减少近一半多,达到了骶骨、骨盆肿瘤高风险区域可控性出血、少出血的临床效果。
文/广州日报·新花城记者:徐依励
通讯员:梁嘉韵、章智琦
图片由通讯员提供
广州日报·新花城编辑:李津