每天都要抽两包烟,几乎烟不离手,一日三餐靠外卖,年仅24岁的小伙竟然中风了。医生提醒,中风不是老年人的“专利”,这与他不良生活习惯有关。
切肉师傅突然拿不起刀
阿伟(化名)是一家潮汕牛肉火锅店的切肉师傅。由于独自在外工作,一日三餐基本靠外卖解决,不工作时,他基本烟不离手。
9月1日的早上起床后,阿伟感觉右手有些乏力,准备工作时发现已经拿不起切肉刀了,只得休息。起初他并不在意,但休息了好些天,右侧肢体无力的情况却越来越明显,“右手拿不了东西,右脚走路一瘸一拐,说话也有点吐字不清。”遂到附近医院就诊。
住院治疗后,阿伟的症状改善不明显,还出现了头晕的情况。10月10月,为寻求进一步诊疗,他来到广东三九脑科医院。

CTA提示:左侧大脑中动脉M1段节段性狭窄。

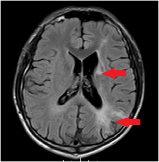
MRI提示:左侧额颞顶枕叶、基底节、侧脑室、胼胝体多发脑梗死。
“检查发现患者大脑左侧多发梗死灶,影响了对侧肢体的支配能力及语言功能。”结合患者的症状和相关检查结果,该院神经内二科主任钟水生诊断其为脑梗死。
抽烟容易诱发脑梗死
脑梗死也就是常说的中风。患者才24岁,为什么会中风呢?在病因评估中,钟水生发现患者虽然没有高血压、糖尿病等,但抽烟很厉害。
“抽烟已将近6年了。最近一两年抽得越来越凶,每天要抽两包烟。”阿伟的父亲无奈地表示,“我们也经常叫他少抽点,他就是不听劝。”
“抽烟可能是导致脑梗死的关键原因。”钟水生解析,吸烟会损伤血管壁,尼古丁导致血管痉挛,阻塞血液流动,并形成动脉粥样硬化斑块,从而引发脑梗死。此外,患者常年吃外卖、体力活动少等不良生活方式,均可导致脑梗死发病率增加。
“以后不敢再抽了。”出院时,阿伟心有余悸地表示,出院后一定戒烟。
中风又称为脑卒中,分为缺血性卒中和出血性卒中,前者是指脑梗死,后者是指脑出血,其中缺血性卒中约占80%~90%。钟水生提醒,脑卒中发病率高、死亡率高、致残率高,且发病年龄越来越年轻化。年轻人同样要注意养成良好生活习惯,如果出现单侧肢体活动障碍、口角歪斜、说话不清、头晕等卒中表现,要及时就医。
据介绍,每年的10月29日是世界卒中日。为了让更多人了解卒中,远离卒中,广东三九脑科医院将于10月27日在该院开展线下义诊及线上科普活动。
文、图/广州日报·新花城记者:梁超仪 通讯员:张小美
视频/广州日报·新花城记者:梁超仪 通讯员:张小美
广州日报·新花城编辑:魏丽娜