9月29日中秋节,中山大学附属第一医院(以下简称“中山一院”)急诊来了一位发热伴颈部肿胀的患儿小希(化名),仅1岁8月龄大。小希起病至今已有10余天,辗转数家医院治疗,但病情仍日渐严重,已经无法正常饮食,睡觉时伴有喉喘鸣。在当地医生的建议下,小希的家长带着最后一丝希望,来到了中山一院。在中秋之夜,经过多个科室联手,快速为小希进行了手术,使其病情得到了控制。
患儿病情危重,随时危及生命
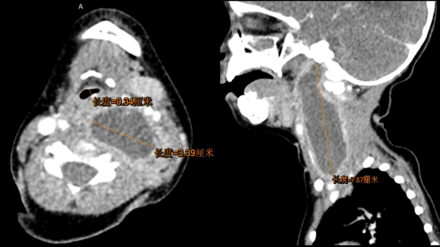
接到急诊前台来电后,医院耳鼻喉科当班二值和住院总医师立即到场查看患儿情况。经过初步评估,发现这是一个幼儿巨大颈深部脓肿,脓肿位置很深,毗邻颈部大血管神经,上至颅底,下至上纵隔,已经压迫气道,颈段气管受压移位,最窄的地方只有3毫米的空间!小希病情危重,随时有气道梗阻、窒息、大出血、感染蔓延危及生命的危险,必须创造条件尽快进行脓肿引流。

多学科团队携手抢救
抢救刻不容缓!耳鼻喉科二值吴杏梅医生当机立断,立即将小希收治入院,准备急诊全麻手术。住院总医师王丹医生迅速响应,耳鼻喉值班团队有序分工,为患儿完善术前准备,做好病情变化抢救的预案。“术前我们在思考如何保证充分有效引流,同时兼顾减小创伤、利于恢复?结合多学科讨论,医护团队最终敲定整体手术方案:全麻穿刺引流备颈部开放入路。”耳鼻喉科三值吴旋教授说。
面对幼龄、困难气道、脓腔内部血供丰富等等客观情况,麻醉插管存在巨大困难,也意味着从麻醉到手术,患儿病情可能瞬息万变,每一个细节都将至关重要,需要充分的备案和默契的协作。
为了“不打没准备的仗”,由耳鼻喉科、麻醉科、超声介入科医生以及手术室护士组成的多学科团队,将可能出现的各种情况事先梳理以及模拟演练。并准备好术前药物、撑喉镜、可视喉镜及气管切开等物品。
安静的手术室里,一切准备就绪。面罩吸氧、镇静、心电监护、指脉氧监测“上阵”,在可视喉镜下,麻醉科二值丘煜鑫医生成功定位喉腔,顺利将气管插管越过狭窄层面,成功插管施行全麻。

随后,超声介入科林晋华医生采用超声引导,从颈部定位,避开了脓肿浅面的大血管,直达脓腔,引流出大量脓液,颈深部脓肿引流置管也在团队协作下顺利完成。
手术成功结束,医护们都松了一口气。当小希被推出手术室时,窗外银色的月光洒满大地,医护的坚守,让小希一家得以平安团圆。

小希术后转儿科ICU进一步监护治疗
文/广州日报·新花城记者:徐依励 通讯员:彭福祥、章智琦
图片由医院提供
广州日报·新花城编辑:张影