怀孕后,不少孕妈都出现过不同程度的腰痛,但孕妈丽丽(化名)怎么也想不到,一次“腰痛”居然让她在“鬼门关”前走了一遭。
“肾动脉瘤破裂、失血3000毫升、右侧肾脏切除……”这些惊险的名词,正是孕妈丽丽这几天经历的生死考验。
肾动脉瘤破裂大出血,失血3000毫升、右侧肾脏切除……这正是她前几天经历的生死考验。3月8日晚,命悬一线的她被紧急转诊至广医三院,医院紧急组织多学科抢救,产科、泌尿外科、重症医学科、血管外科、输血科、放射科、介入科、手术室、麻醉科等多学科专家齐上阵,生死时速,成功手术挽救母婴生命,保大又保小。丽丽目前恢复良好,不日即可出院。
孕妈剧烈腰痛,突发失血性休克
3月6日,孕10周的丽丽出现腰痛、呕吐的症状,她原以为这是妊娠期的正常反应。没想到两天后,腰痛愈发剧烈,她甚至无法平卧。家人送她到医院就诊,医生检查发现她的血红蛋白进行性下降,B超提示右侧肾后方有巨大血肿,不排除腹腔内出血!为了母婴安全,丽丽被紧急转诊到广州医科大学附属第三医院(广州重症孕产妇救治中心)。
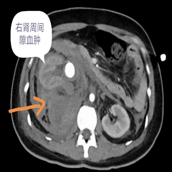
“当天晚上8点多,她转来时已面色惨白、右侧腰部剧烈疼痛,心率达到140次/分,存在失血性休克的可能。”据接诊的广医三院产科医生柯彩萍介绍,当时情况危急,产科与急诊科立即启动绿色通道,马上为丽丽输血输液,做腹部CT检查。结果让人心惊——医生发现丽丽右肾周间隙有大小约为11*8*5厘米的巨大血肿,盆腔、腹腔都有积液(图1)。腹部检查提示右肾动脉近肾门处有2厘米的动脉瘤破裂出血,而且右肾周间隙也有巨大血肿(图2)。

(图1)腹部CT提示丽丽右肾周间隙血肿,大小约11*8*5厘米

(图2)CTA提示丽丽右肾动脉近肾门处动脉瘤破裂出血
埋在肚子里的“地雷”,一旦破裂母婴生命垂危
“这是非常罕见的肾动脉瘤,妊娠期更是少见,她的剧烈疼痛是因肾动脉瘤破裂导致的。”据广医三院产科副主任贺芳介绍,肾动脉瘤在正常人群的发病率仅0.1%-0.3%,妊娠期肾动脉瘤破裂更是一种非常罕见的产科急症,发病率仅为0.015%-0.097%(约万分之一)。如果说腹主动脉瘤是埋在肚子里的“定时炸弹”,那么内脏动脉瘤就相当于是埋在肚子里的“地雷”。通常来说,肾动脉瘤患者无明显临床症状,一旦破裂可引发大出血,导致出血性休克甚至死亡。有资料显示,产妇死亡的风险为38%-50%,胎儿死亡的风险为74%-85%。也就是说,孕妈若妊娠期出现肾动脉瘤破裂出血,母亲和胎儿的生命安全短时间内就会受到严重威胁!
情况十分危急!丽丽马上被转入ICU抢救。广医三院医务科快速组织产科、泌尿外科、重症医学科、血管外科、输血科、放射科、介入科、手术室、麻醉科等多个科室紧急前往ICU会诊。
与“死神”抢人,多学科专家深夜为她保命
由于失血过多,丽丽病情急转直下,很快出现昏迷,血压进行性下降,需要用大量升压药维持。由于她生命体征不稳定,已无介入止血的机会。
救命要紧!广医三院泌尿外科、产科、重症医学科经讨论后立即决定为她紧急手术,剖腹探查!考虑到肾动脉瘤破裂会引起大出血,医院输血科紧急联系血库准备充足血源,手术室和麻醉科也做好准备,严阵以待。
“主任,这里有个肾动脉瘤破裂的孕妇需要紧急手术!”为了与“死神”抢人,当天晚上,广医三院多个学科的主任一接到电话就立即赶回医院,加入手术抢救中。

广医三院多学科专家参与抢救。
出血3000毫升!切除右肾保住命了
术中,刘平医生很快找到了孕妇的右肾动脉处的裂口,此时,鲜血正往外喷涌。医生胆大心细,立即将出血点夹闭,在最短时间内止住出血。由于动脉裂口大,出血量多,加上产妇已经休克,想要救命只有切除右肾。在与家属沟通后,刘平主任当机立断为丽丽施行右肾切除术。
在广医三院泌尿外科、产科、麻醉科、手术室、输血科等多个科室的通力合作下,历经2小时的抢救,手术顺利完成,丽丽被转入ICU进一步观察,生命体征逐渐稳定。在这场惊心动魄的抢救中,丽丽的失血量预计超过3000毫升,术前术后共输注红细胞14单位,血浆1400毫升。
“非常感谢广医三院的医生们,把我从鬼门关拉了回来。”术后,丽丽恢复良好,3月13日已从ICU转入普通病房。另一个好消息是丽丽腹中的胎儿和她一样坚强,经历过生死考验的宝宝在宫内情况良好,胎心正常。
“虽然很艰难,但我们还是想留住这个宝宝。”丽丽说。
“单肾的代偿能力比有两个肾的人要差,孕期发生各种疾病的风险也会增加,但只要密切监测肾功能和胎儿情况,丽丽还是可以继续正常妊娠的。”贺芳表示。广医三院产科将密切跟踪丽丽的情况,继续为母婴的健康保驾护航。
文、图/广州日报·新花城记者:翁淑贤 通讯员:张迅恺、柯彩萍、白恬
广州日报·新花城编辑:李津