发生头颅外伤七年后,患者刘叔(化名)的内耳结构竟然消失了!
首届“广州实力中青年医生”、中山大学附属第一医院(下称“中山一院”)耳鼻咽喉科耳专科吴旋主任医师介绍,30%~50%的头颅外伤患者会出现耳聋,相对于昏迷及颅内紧急情况,耳聋经常被忽视。
然而,像刘叔这样因头颅外伤导致内耳结构消失的情况并不多见。
吴旋提醒,头颅外伤后,如有听力下降,则需警惕内耳结构骨化现象,应尽快到耳专科检查,防患未然。
一场“感冒”过后
他聋了
60来岁的刘叔(化名)7年前曾遭遇头颅外伤,随后左耳逐渐听力下降。由于右耳听力好,刘叔并没把它当回事。
8个月前,一次“小感冒”过后,刘叔出现头痛呕吐,右耳听力也在下降。他到当地医院神经内科就诊后,被诊断为“病毒性脑膜炎、右耳感音神经性聋”。虽经积极治疗,但他的右耳听力没有恢复,只能佩戴助听器,勉强应付日常交流。
由于经常听不清,刘叔脾气变得暴躁,经常骂家人,晚上睡眠质量也受到影响,白天精神不济,最近三个月来情绪低落闷闷不乐。
刘叔的女儿经互联网医院网上咨询专家后,希望通过为父亲的左耳做人工耳蜗植入,右耳佩戴助听器,帮助他提高听力。
左耳的内耳结构意外消失
前不久,刘叔在女儿陪同下前往中山大学附属第一医院耳鼻咽喉科就诊,准备做人工耳蜗植入。医生安排他进行听力及耳CT及MR检查,结果发现他的双耳均患“极重度感音神经性聋”。
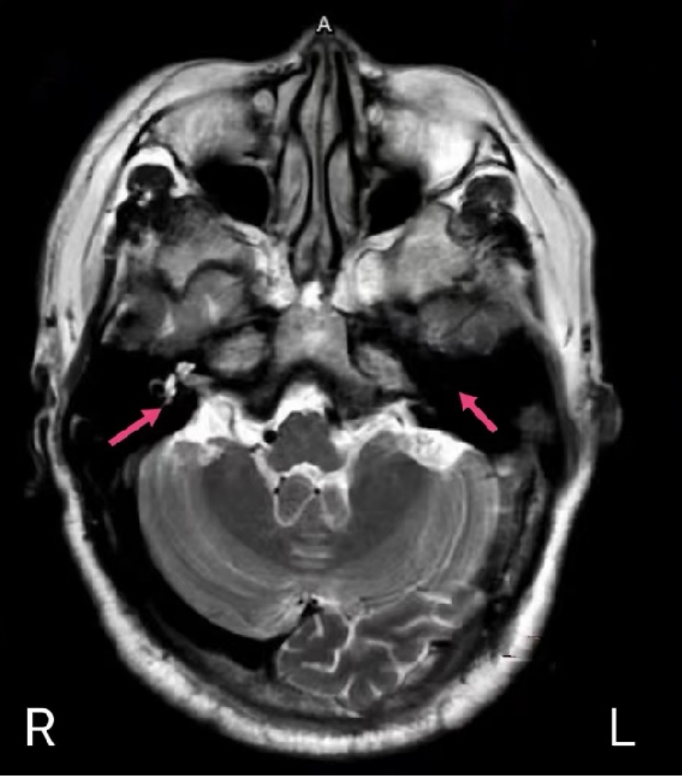
令医生疑惑的是,经对比以往就医的影像检查结果,刘叔左耳的前庭、耳蜗、半规管等内耳结构,竟然消失了!

磁共振显示左耳内耳结构消失,红色箭头所示
经中山一院人工耳蜗植入团队多学科会诊评估,由于耳蜗结构消失,刘叔的左耳已不合适人工耳蜗植入。同时,考虑到脑膜炎后容易出现右耳耳蜗骨化,为挽救刘叔的听力,专家建议尽快做右耳人工耳蜗植入。
在与家人充分沟通后,刘叔住院接受右耳人工耳蜗植入,很快便康复出院了,术后1月开机,右耳听力恢复,他终于重回有声世界。
吴旋教授团队为该患者进行人工耳蜗植入手术
头颅外伤易引发耳聋
据中山一院耳专科吴旋主任医师介绍,头颅外伤导致耳聋主要通过两种方式,其一是内耳震荡,其二是颞骨骨折累及前庭、耳蜗、半规管等内耳结构,这两种情况均可导致内耳毛细胞坏死后耳聋。
“像刘叔这样的头颅外伤后内耳结构消失,在临床上较为少见,”吴旋解释,原因是头颅外伤后内耳结构长期处于炎症反应状态,前庭、耳蜗、半规管逐渐出现纤维化及骨化病理现象。
吴旋提醒,头颅外伤后,如有听力下降,则需警惕内耳结构骨化现象,应尽快到耳专科检查,接受纯音测试、声导抗等相关听力检查,以及耳CT或MR等影像检查。头颅外伤合并听力下降,待耳科情况治疗稳定后,建议每6到12个月定期至耳专科门诊复查。
吴旋提醒,病毒或细菌性脑膜炎后发生耳聋,脑膜炎症可经蛛网膜下腔、耳蜗导水管,持续刺激耳蜗鼓阶,也会出现耳蜗逐渐骨化的现象,时间一般为患病半年后。一旦出现耳蜗骨化,不但增加人工耳蜗植入手术的难度,也为术后患者听力康复带来不确定性,因此,脑膜炎导致的耳聋,建议尽早进行人工耳蜗植入改善听力。
文、图/广州日报·新花城记者:任珊珊 通讯员:彭福祥、梁嘉韵
广州日报·新花城编辑:伍仞