8岁对于男孩来说,应该是追逐打闹、探索世界、充满欢乐的年龄,而鹏鹏(化名)却是恰恰相反。8岁的他,身高只有1.19米,体重却达到了44公斤,轻微的日常活动就令他满头大汗、气喘吁吁,而这一切都源于一年半前的一场疾病。
健康活泼的鹏鹏在6岁半时突然出现了头痛、呕吐,并有视力下降,家人带他到当地医院就诊,检查提示颅内鞍区巨大占位,考虑颅咽管瘤,予以手术治疗。虽然颅内肿瘤治愈了,术后也进行了多种药物治疗,但鹏鹏的生长发育却出现异样,一年半的时间他只长高了3厘米,体重却增长了25公斤!中山大学孙逸仙纪念医院儿科神经内分泌专科主任梁立阳教授介绍,这一切都与颅咽管瘤及其治疗有关。
肿瘤生长及治疗过程均可破坏垂体结构
梁立阳教授介绍,颅咽管瘤是生长于鞍区的最常见的上皮源性良性肿瘤,占所有脑肿瘤的1%-3%;占儿童颅内原发肿瘤5%-15%,发病率为0.5-2/100万,属于罕见病。儿童发病高峰年龄为5到14岁,且男女发病率无差异。
虽然颅咽管瘤是良性肿瘤,但它的生长方式却与恶性肿瘤相似,增大的肿瘤可以挤压或压迫垂体、垂体柄等部位,破坏正常的垂体结构,引起垂体内分泌功能障碍。此外,巨大肿瘤还可以压迫视交叉,造成视力视野受损;突入第三脑室,引起脑积水,出现头痛、呕吐等表现。

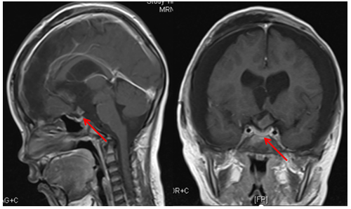
术前MR检查显示,鹏鹏鞍上区颅咽管瘤挤压垂体(左图),颅咽管瘤引起梗阻性脑积水(右图)
手术切除肿瘤是治疗颅咽管瘤的首选方法,对于无法切除或者不能完全切除以及复发的肿瘤,还可以采取放疗手段进行治疗。但无论哪种治疗手段,都会对下丘脑、垂体结构造成破坏,从而引起或进一步加重垂体内分泌功能障碍,造成尿崩症(垂体后叶损伤)、中枢性甲状腺功能减退症(HPT轴受损)、中枢性肾上腺皮质功能减退症(HPA轴受损)、矮小(生长激素缺乏症)、性发育迟缓(HPG轴受损)以及代谢紊乱(下丘脑综合征)等众多临床疾病。
“对于颅咽管瘤患儿,如果替代治疗不及时或者不合理,不仅会引起患儿的生长发育异常,造成矮小、青春期发育延迟等,还可能引起应激障碍,危及生命。”梁立阳教授说道。

颅咽管瘤切除术后MR检查显示,鹏鹏垂体结构受损
专家提醒:内分泌替代治疗,术前就应该开始!
根据长期的临床经验,梁立阳团队认为,对于颅咽管瘤患儿内分泌的评估和替代治疗,在手术前就应该进行。尤其是对电解质、皮质醇的评估和替代治疗极为重要。如果不及时替代治疗,在麻醉及手术过程中会因为电解质紊乱、肾上腺危象等引起术中或术后早期患者死亡等不良后果。而评估后,只需要通过口服药物就能避免上述风险的发生。
不仅如此,术后患者的垂体功能低下的发生率更高,多表现为垂体单激素缺乏或多激素联合缺乏。部分患者还会像鹏鹏一样,出现以体重增长过速、肥胖、情绪行为异常、糖脂代谢紊乱为表现的下丘脑综合征。
梁立阳教授指出,替代治疗方法同样简单,首先通过口服药物的方式对尿崩症、肾上腺皮质功能低下进行纠正,两周后可以口服左甲状腺素片纠正甲状腺功能低下;术后一年肿瘤无复发时,可以皮下注射生长激素纠正生长迟缓;进入青春期后,再进行性激素或促性腺激素的替代治疗来保证正常的青春发育。
“只要通过科学、全面的内分泌评估及替代治疗和长期的随访管理,就可以保证患儿的正常生长发育和良好的生活质量。”梁立阳教授介绍。
梁立阳教授团队在全面评估了鹏鹏的病情后发现,鹏鹏除了存在全垂体功能低下外,还有异常摄食行为、肥胖症、2型糖尿病、高脂血症等下丘脑综合征的诸多临床疾患。针对鹏鹏的病情,梁立阳教授团队联合神经外科、营养科、放射科等兄弟科室,在对鹏鹏垂体激素替代治疗的同时还通过统合干预的模式对下丘脑综合征进行治疗;待鹏鹏血糖平稳后,将进一步进行生长激素的替代治疗,以改善他的生长发育状态。
文、图/广州日报·新花城记者:任珊珊 通讯员:张阳、黄睿、刘祖霖
广州日报·新花城编辑:何雪华