上午7时53分,家住武汉汉口一个老旧小区的王兰(化名)将轮椅和书包搬到楼下后,再返身上楼把女儿清清背下来安放在轮椅上,让她自己抱着书包。
4月份满10岁的清清正读小学四年级,5岁半的时候她因为在舞蹈训练中做下腰动作时受伤截瘫,胸以下完全没有知觉。
几乎是同时,家住光谷的茵茵坐上妈妈的电动自行车去上学。8岁的她腰腹部还戴着护具——今年1月3日,她在舞蹈训练做下腰动作时摔倒在地,脊髓受伤,因父母及时送医,救治得当,成为医生口中“恢复得最好的孩子”。

清清和茵茵都曾经是华中科技大学同济医学院附属协和医院(简称“武汉协和医院”)骨科郭晓东教授治疗过的病人。这位研究脊髓损伤的专家和他的团队刚刚完成了对中国儿童因练习舞蹈下腰动作导致截瘫问题的10年回顾性研究。他们发现,舞蹈下腰训练已经成为导致中国儿童脊髓损伤的第一位原因。
孩子因练舞下腰而瘫痪
不是孤例
王兰推着轮椅朝50米开外的学校走去。从家到学校,是216步。这样的路,王兰推着清清走了4年。
小区的居民都知道王兰和她的女儿。4年前,小区边的小学同意接收清清上学后,王兰一家就租住在这个小区里。
清清截瘫,大小便失禁,在家用导尿管,上学要戴尿不湿。上午第三节课间、下午第二节课间,王兰要抱清清上两次厕所,换尿不湿。
教室随着年级提升,会调到高一层楼,但因清清行动不便,清清班的教室一直留在二楼。但音乐教室在三楼、电脑教室在五楼,当清清上音乐课和电脑课的时候,也需要妈妈背去上课。
5岁时的清清有点小胖,王兰就想送她去学习跳舞。“动一下会瘦点,跳舞还可练练气质。”他们租住的那栋楼,四楼有两个舞蹈培训班,一个教拉丁舞,一个教民族舞。王兰没有什么选择标准,最后在咨询的时候,因为“教民族舞的老师说话好听点”就选择了民族舞。每周跳两次,晚上7时到9时。
清清跳了半年后的一天,王兰照例把清清送到舞蹈班。下课前半小时,王兰去接女儿时,清清在哭,喊腰痛。这时,老师告诉王兰,清清下腰的时候摔倒了。
到了深夜,清清闹得越来越厉害,而且站不起来了。王兰连夜把孩子送到了武汉儿童医院,诊断为“脊髓损伤”。郭晓东教授被连夜请来给清清进行了一系列积极治疗。
守着病床上的清清,耳边响着医生的话:“孩子不一定能完全恢复正常,靠自己单独站起来的可能性不是太大。”王兰崩溃了:“孩子的一生毁了,我咋这么倒霉?”

武汉协和医院骨科专家、教授郭晓东正在讲解下腰瘫的发病原因。
在医院里,王兰碰到另外两个妈妈,她们的女儿也是因为跳舞下腰而瘫痪,一个来自黄陂,一个来自江夏。这两个孩子正在医院做康复训练。在她们的帮助下,王兰进了一个群,群里聚集了400多位来自全国各地的家长。他们的孩子都是因为练舞下腰而瘫痪,在寻医问药时走到一起。
王兰这才知道,像清清这样的不幸孩子不是孤例。受伤后,清清的泌尿系感染等各种并发症不断,频繁住院治疗,后来又发生小腿自发性骨折和严重脊柱侧弯,至今也需要戴支具才能支起上半身。
这种灾难性疾病
通俗名字叫下腰瘫
清清不是郭晓东接触到的第一个因下腰导致脊髓损伤的小病人。引起他关注到这种疾病的,是一个3岁半的孩子。孩子下腰瘫痪后,在没有任何外力作用的情况下,大腿股骨自发性骨折了。这个孩子因为瘫痪发生了严重的骨质疏松。
郭晓东告诉记者,儿童下腰时导致的截瘫是世界难题,目前损伤机制尚不清楚。
20世纪60年代医学专家在新生儿尸检中发现:儿童脊柱能够延长至5—6厘米,而脊髓只能够牵拉0.6厘米,这说明儿童脊柱延展性很强,而脊髓延展性差。同时,反复下腰时,可能导致脊髓的小血管损伤或栓塞等,引起脊髓缺血性损伤、静脉高压。因此,发病儿童在下腰时直接就是脊髓损伤,而没有明显的脊柱骨折和脱位。这是儿童脊髓损伤的显著特征。
郭晓东的研究团队发现,受伤儿童在下腰运动过程中,脊柱纵向牵拉损伤脊髓,神经轴突、神经细胞和小血管的钝性损伤,医学上叫“急性过伸性脊髓损伤”,直接主要原因就是舞蹈练习中的下腰。
郭晓东的研究团队在检索资料时发现,2005年之前中国医学期刊的文章几乎没有报道儿童下腰后脊髓损伤的病例,2005年之后逐渐开始少量报道,最近这几年才开始迅速增多。从2005年至今,中国医生在论文中报道了200多个这样的病例。国外鲜有这方面的文献报道。
郭晓东在加拿大留学时,师从国际脊髓损伤专家Tator CH和Micheal Fehlings教授。2007年他回国后,脊髓损伤成为他专注的研究领域之一。“那个时候,我在临床上见到的这种小病人还很少,一年难得碰到一个,近几年一年总会有五六个。”
下腰导致瘫痪的病例比较分散,目前还没有具体的数据统计,但这些孩子的家长到处寻医问药,并建立了多个微信群。通过随访和打电话,郭晓东研究团队初步统计,这样的孩子在中国超过了1000人,这只是目前在坚持治疗和康复的孩子,不包括误诊和弃诊的孩子。
郭晓东的研究团队在资料检索中发现,1992年至2002年舞蹈下腰训练导致脊髓损伤患儿在所有儿童脊髓损伤中仅占4.0%,到2015年至2019年已高达33.9%,在无骨折脱位型脊髓损伤中占比为64.1%。
在临床上,儿童下腰导致的脊髓损伤,有的会诊断为无骨折脱位型脊髓损伤、脊髓损伤或者误诊为脊髓炎。为了引起社会公众警惕,郭晓东教授研究团队在完成研究后,给这种灾难性疾病取了一个通俗的名字——下腰瘫,并写入论文中。
郭晓东研究团队找到了2010年9月至2020年9月在武汉协和医院诊断及治疗的共44例儿童下腰瘫患者的资料。44个孩子,女孩有42例,占95.5%,男孩2例,占4.5%。44个小患者年龄在3岁到10岁之间,8岁及8岁以下的有41例,占比95.3%。他们患病前参加舞蹈训练的时间在2个月到2年之间。
研究团队将纳入研究的44名儿童下腰瘫患者分为两组:
从颈部到骶尾的脊柱是人体最大的支撑,脊柱的椎管包裹并保护着的脊髓是人体中枢神经之一(另一个中枢神经是大脑)。由于具体的发病机制不清楚,和其他类型的脊髓损伤一样,儿童下腰瘫的治疗和康复也是一个世界难题。
郭晓东介绍,下腰瘫的孩子会发生脊柱侧弯、严重骨质疏松、反复泌尿系统感染、褥疮、心理障碍等各种并发症,“都是灾难性的”。
王兰为给清清治疗花费已高达数十万元。郭晓东说,在清清漫长的一生中,随之出现的各种并发症治疗费用会很昂贵。
孩子练舞下腰摔倒
应立即停止训练
茵茵下腰倒下前的两个月,她的爸爸缪先生刷视频时看到了一个自己前所未闻的疾病——下腰导致的截瘫。当天晚上,他认真地跟8岁的女儿讲:“如果跳舞受伤了,你一定要第一时间跟爸爸妈妈讲!”

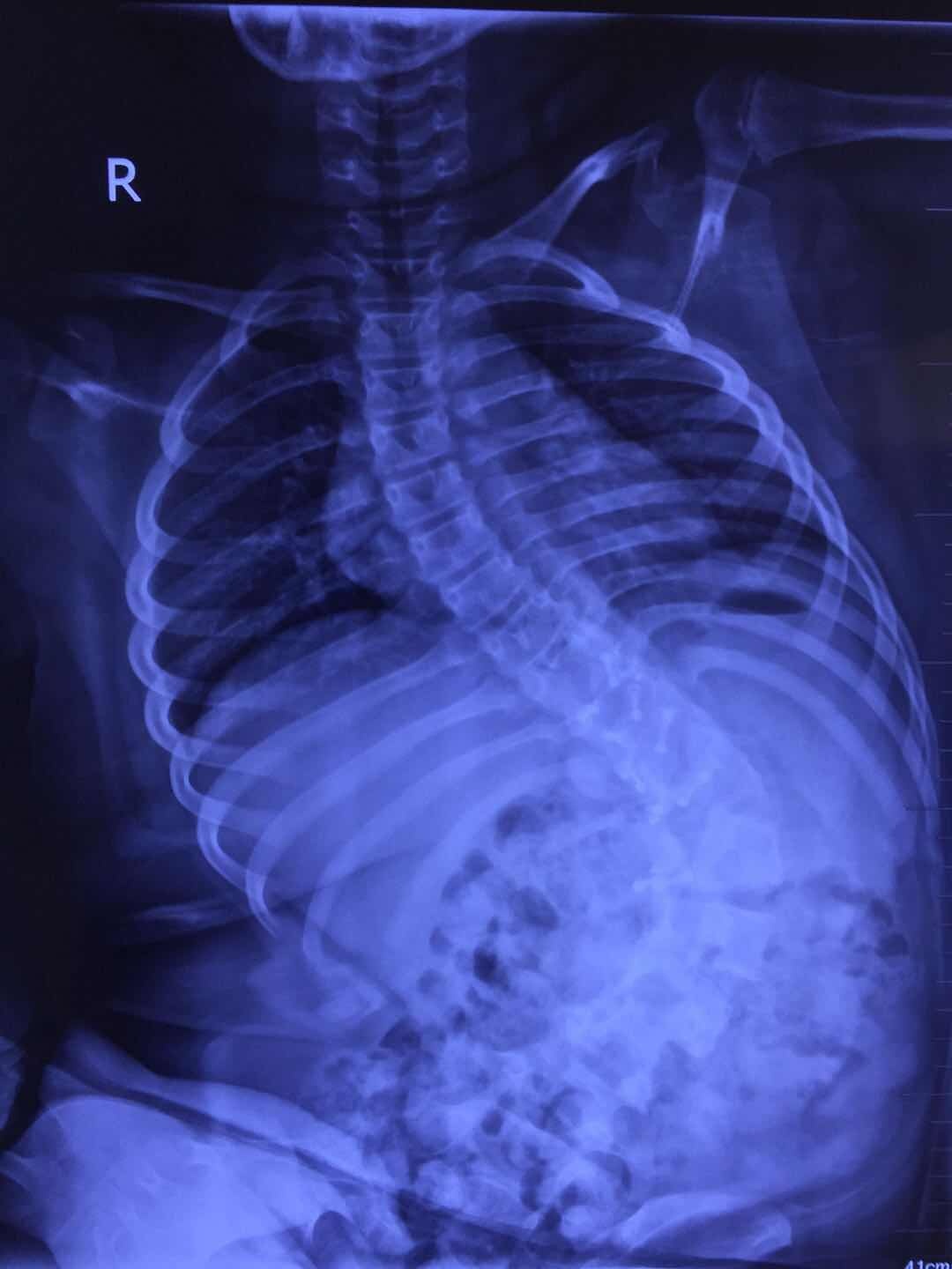
郭晓东提供的影像学资料显示,下腰瘫痪后的孩子脊柱弯成了这样。
1月3日那天上午,茵茵来到培训机构的舞蹈房,由于晚到半小时,老师没有帮茵茵做热身运动就直接让她下腰。茵茵因为下腰倒下,起来又跳了40多分钟舒缓一些的舞蹈之后,就感到腿没有力气了,在一边坐下。40多分钟后,茵茵妈妈接到电话,急忙赶到培训机构,将女儿送到最近的医院——湖北省中医院光谷院区。通过核磁共振检查初步显示,茵茵脊髓受伤。
随后的21天,医生要求茵茵躺在床上,不能动,妈妈在医院里寸步不离地守着她,甚至孩子去做核磁共振,妈妈也进去陪着。事后,缪先生查阅了大量资料,发现这就是对急性脊髓损伤的通用治疗方法。
茵茵的脚尖能慢慢动了,到春节前,她能站起来了。开学后,她能戴着腰腹护具去上学。但医生告诫,再也不能做下腰等导致脊髓过度牵拉的动作了。
郭晓东告诉记者,脊髓损伤黄金救治时间在8个小时内。这就要求孩子在舞蹈下腰摔倒时,如果感到腰腿部任何不适,就应该立即停止训练,平躺观察至少4小时,有问题及时就医。但在现场教舞的老师们并没有多少人拥有这样的知识。
回顾性研究发现,纳入研究的44名儿童,发病后有29例腰痛,16例下肢疼痛,13例下肢麻木或者乏力。这44个孩子出现症状后有27例继续下腰或者做其他训练项目及活动,有12例在一旁休息(但是仍在随意活动),有4例即刻出现下肢不能站立、活动并哭闹,才被迫停止活动。
这些孩子在随后的10分钟到8小时内神经症状进行性加重并出现截瘫,尿潴留及大便障碍。
“这些活动无疑造成了二次损伤,加重了损伤程度。”郭晓东说,目前年轻一代家长,将舞蹈训练当作女孩培养的必选项目,因此,中国儿童尤其是女性儿童练习舞蹈的人群庞大。脊髓损伤目前没有一个有效的治疗措施,提前预防是减少下腰瘫唯一途径。
来源:长江日报
广州日报·新花城编辑:陈婷婷