
作者 | 路迟
2021年1月7日早8点,“中国肺移植第一人”陈静瑜发微博称,河北邢台威县被姐夫喂服百草枯的18岁女孩萌萌,已于当天凌晨顺利完成双肺移植手术,目前,萌萌的生命体征平稳,短时间内可以撤掉ECMO呼吸机,并进入康复阶段。萌萌手术后已经苏醒,其姑父对媒体表示,萌萌是在今天早上5点半苏醒过来的,出来之后就可以用手势跟亲人打招呼。

“中国肺移植第一人”陈静瑜发微博称萌萌的手术已顺利结束
7日上午,南风窗记者致电萌萌父亲,后者确认了萌萌已顺利结束手术,这位操着浓重河北口音的农民语无伦次地表示,现在他们的心情“很乱”,“感谢好心人”。
即便已经完成手术,但孩子目前还在监护状态中,继续等待,是他们唯一能做的事。
三天前,萌萌的姑父告诉南风窗记者,当时,一家人正准备将萌萌转往北京解放军总医院,并将尽全力为孩子筹集完成肺移植手术的费用,“无论怎样都不会放弃孩子。”
这起让人痛心的事件起源于2021年12月5日,萌萌的姐夫陈某在家里劝诱她先后喝下了两杯“感冒药”,而它们实为经稀释的剧毒农药百草枯。
12月19日,当地警方对陈某依法逮捕。
12月29日,河北威县警方发布警情通报称,陈某因自感家庭经济条件差,其岳父一家人“瞧不起自己”,遂产生报复念头。
依据过往的新闻案例,服下百草枯的人,生还几率极低。这是一种“给人后悔的时间,不给人后悔机会”的剧毒农药,可致死剂量小至10毫升,甚者仅仅含在口腔中都可能导致中毒,服毒者的生还概率可能小至千分、万分之一。
好在,经过一个月的焦灼等待后,18岁的女孩萌萌有可能成为那千万分之一。
但是,此事带来的疑问仍未消除:陈某是如何获得早在2016年就已经全面停售的百草枯的?即便完成肺移植手术,萌萌的身体状况如何?女孩才18岁,将来的漫长人生是否能平安顺利度过?
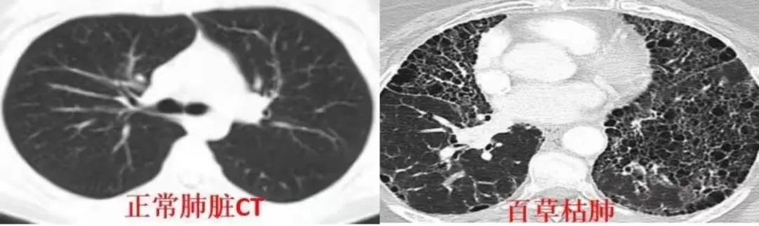
致命“感冒药” 事情是在2021年深冬发生的。 12月初,正念高三的萌萌因为课业压力太大,情绪不振,母亲高娟心疼女儿,便给萌萌请了几天假在家休息。 5日,萌萌的姐姐因事不能在家照看孩子,便拜托妹妹前去帮忙。 那是再平常不能的一天,离开家时,萌萌桌上的书还是翻开的状态,“谁能想到会出事呢?”母亲高娟在采访里哭着说道。 然而,在姐姐家的当天晚上,姐夫陈某忽然以“预防感冒”为由,劝说萌萌服下一种“感冒冲剂颗粒”。彼时,萌萌一口饮下后就觉得味道奇怪,当场就吐了,但姐夫万般劝说,后来还是喝完了两杯“感冒药”。 萌萌被投毒入院 这天过后,萌萌的身体出现了一些糟糕的反应。她上吐下泻,萎靡不振,吃药、输液都不见效,甚至反而加剧症状,到威县医院去检查,也未能查出病因。 12月27日,家人将萌萌送去河北省人民医院检查,尿检结果显示,萌萌体内检测到浓度为70ng/mL的百草枯。 河北博睿医学检验实验室的毒物检测报告单(图源:极目新闻) 身为农人,萌萌父母比谁都更清楚百草枯的危害性。他们瞬息崩溃,紧接着是不解和疑惑:女儿为何服下了剧毒农药? 原来,5号那天晚上姐夫给萌萌喝下的“感冒药”,就是被稀释后的百草枯。 百草枯的药性是延后生效的,服药足足12天后,百草枯真正的危害性才开始在萌萌体内迅速蔓延。 这期间,肺间质纤维化、呼吸衰竭、肝肾损伤等等恶果会先后发生。很快,萌萌被送进重症监护室,每天医药费高达2万元。 萌萌在医院(图源:南方都市报) 在省人民医院住院的半个月,萌萌父母从未离开女儿。每天早晨,高娟看着一根长长的管子插进萌萌口腔中,通过人工加压将食物运送到萌萌食道与胃部,她看不得女儿遭罪,不止一次想过“让我来替妮儿受这罪吧”。 百草枯的另一大特点,是对人体中枢神经的侵害较小,这意味着,当人体的所有器官逐渐被腐蚀、衰竭时,人的头脑意识却是清醒的。 住院初期,萌萌还会与父母讲话,她告诉母亲,“俺不想死,我想活,我还想去旅游,看看雪,看看水。” 1月6日,萌萌转院至北京解放军总医院,被告知需要进行肺移植手术,彼时,据众筹平台公示,其家属筹款目标调至100万,当时已筹款49.6万。 萌萌的水滴筹目前已筹到约55万元 但器官移植最大的阻碍尚不是费用问题。百草枯对人体的损蚀是全方位的,即便成功完成肺移植手术,女孩体内的其他器官是否亦能恢复如常? 缘何下毒手 得知是姐夫下的毒时,萌萌一家人都感到很意外,萌萌父亲马东涛在接受采访时直言,“平常我跟我女婿没什么矛盾”,对一切毫无预料的萌萌姐姐也无助地表示,“我就不知道他为啥这么狠心”。 萌萌父亲马东涛接受采访(截图:微博@农民频道) 很快,警方展开调查并锁定、拘留了嫌疑人陈某。据威县公安局的警情通报:犯罪嫌疑人自感家庭经济条件差,其岳父一家“瞧不起自己”,遂产生报复心理。 可后来马东涛坚决否定了这一点。在他的讲述里,大女儿与女婿结婚四五年,育有一子,两人平时“感情很好”,马家对女婿也不错,逢年过节都会走动,根本不存在瞧不起一说。因此,马东涛认为,“瞧不起”只是投毒者的借口。 据“百姓关注”视频报道,萌萌的姐姐马燕称,5日当晚,萌萌在自己家中单独睡一个卧室,而马燕自己因为上班较累,带着孩子很早就在另一个房间睡着了。 深夜,丈夫陈某“硬逼着让孩子(萌萌)喝药,他也没开灯”,并坚称是治感冒的药。后有亲戚分析称,也许因为是在别人家,不好拒绝,萌萌就喝下了这来历不明的药水。 萌萌的姐姐在视频中描述萌萌喝百草枯经过(截图:微博@农民频道) 马燕至今不能理解丈夫的行为,在她的讲述里,家人都很疼爱陈某,常给他做好吃的,“他来我家爱吃肉,我妈就给他做”。 马燕表示,“我愿意依法惩治他,不愿意再看到他”。 陈某的父亲也对儿子的所作所为表示了不理解和愧疚,他自称觉得很对不起萌萌一家,曾恳求社会各界人士救救“我们家萌萌”。 好消息是一夜之间来临的,公众的祝愿与忧虑,女孩家人的竭尽全力没有白费。 在爱心人士的捐献下,1月6日晚上,肺源通过器官转运的绿色通道抵达了北京。6日晚10点半,被誉为我国“肺移植第一人”的医生陈静瑜连夜从无锡赶到北京参加会诊,并当即开展移植手术。 陈静瑜医生从无锡赶到北京为萌萌进行手术(图源:微博@陈静瑜肺腑之言) 肺部上连气管,下通心腔,通流着无数关键神经与血管,双肺移植的风险可见一斑。 手术顺利完成后,陈医生在微博表示称,正是由于我国近年来逐渐发展成熟的脑死亡爱心捐献,通过国家供体网络分配系统的分配,萌萌才能得以在短期内得到了爱心捐献的肺源。 但这依然带来了巨大的惊惧与颤抖。 公开报道过的服百草枯生还者屈指可数,最典型的如2013年服毒半个月后康复的“杀鱼弟”孟凡森,因为抢救时间及时,才能在即便服下超过15ml致死量后仍被成功救治。 “杀鱼弟”孟凡森因喝百草枯入院(图源:中新网) 距服药整整12天后才被送医诊断的萌萌,无疑错过了最佳抢救时间。 谁也无法体会在这12天内,女孩经历了多么惨烈的折磨。 错的不是药 百草枯是一种由吡啶、金属钠、硫酸二甲酯反应而成的除草剂,最早由英国帝国化学工业集团研发,1962年投放市场。但当时百草枯的价格昂贵,普通中国农民无法承担。 2003年,我国科学家李德军通过8年的潜心钻研,成功制作出百草枯成品并投入量产,足够便宜、好用,且因为遇土失活,并不会给环境带来污染。 李德军(图源:人物) 然而,一旦进入人体,其致命性是一般农药遥不可及的。 对于这种剧毒农药,在各类新闻和科普中,有至少两点特征几乎已成为常识: 其一,是百草枯发效的延迟性。 百草枯对人体的超高致命性,主要来自于不可逆的肺间质纤维化。然而,由于其主要靶器官是肺,短期内并不会出现严重的症状。因此,大部分患者在中毒初期难以意识到自己身体内出现的变化。 当毒性开始生效,百草枯渗入口腔黏膜,口腔内开始溃烂,伴有血性渗出,咽部红肿、扁桃体肿大。患者开始感到说话困难,疼痛难忍,同时,胃黏膜在灼伤下也会引起胃痛。 萌萌喝百草枯后舌头被烧伤(截图:微博@农民频道) 紧接着,肺部随着逐渐纤维化功能越来越差,患者会感到呼吸费力,出现急性肺损伤(ALI)或者急性呼吸窘迫综合症(ARDS)、全身多器官功能不全综合症(MODS),直到肺泡内和肺间质纤维化,最终致人呼吸衰竭而死。 换句话说,百草枯中毒且未能生还者,几乎都是“憋死”的。 第二个特征,是百草枯侵蚀全身器官,却独独不会严重损害中枢神经系统。这也意味着,以上列举的所有症状,都是患者在神志清醒的状态下能清晰感受、意识到的。 这是一种身体和精神的双重摧毁,是一个堪比极刑的过程。 更可悲的是,迄今为止,百草枯尚未出现有效解药,医学能做的只是减轻痛苦,减慢病程,从死神那里争取时间,到头来,不少患者往往人财两空。 正常肺脏和百草枯肺对比(图源:医学界) 在新闻报道里,服下百草枯的患者大多是出于自杀欲图,但即便是为求结束自己的生命,服下百草枯的人,大多对这种毒药的程度了解不深,或当作普通毒药,期待“一击致命”,服下后的漫长痛苦,才会带来必然的后悔。 2021年10月,怂恿网络主播“罗小猫猫子”服百草枯继而导致年轻生命消亡的网友,虽然从法律上难定其罪,但在道德与伦理上或与施毒者其状相类。 主播@罗小猫猫子服百草枯去世 近年来,随着百草枯自杀者个案时有出现,百草枯逐渐淡出国内市场。2014年7月1日起,我国撤销百草枯水剂登记和生产许可、停止生产,但保留母药生产企业水剂出口境外登记、允许专供出口生产;2016年7月,停止其在国内销售和使用,2020年,国内市场上流通的最后一批百草枯有效期到期。 对于百草枯的名声渐变致命,“百草枯之父”李德军倍感痛心和愧怍,目前,李德军有迹可循的最后一次公开发声,是在2016年《经济观察报》的一次采访里,他失落地说:“说实在话,百草枯我感觉是很得意的一个作品,是我一生科学研究工作里最得意的一个作品……没想到这么得意的作品上面出现了这么严重的瑕疵,对这个问题我很惭愧……就像自己的孩子,原本养大了感觉挺有出息的,最后不行了,确实心理是不好受。” 百草枯的功与过仍然存留着争议,但纵观近年来屡屡登上新闻头条的各种事件,网友们的声音有着一定道理:“有罪的不是药,是人。” 编辑 | 莫奈 排版 | 菲菲












