今年38岁的何女士8岁时脖子上出现肿物,二十多岁时脖子开始变粗,如今最粗处跟脸差不多宽。原来,引发“大脖子”的罪魁祸首是一个压迫气管、包绕颈部血管生长的巨大甲状腺肿瘤。
广州日报•新花城记者近日从中山大学孙逸仙纪念医院获悉,该院耳鼻喉科主任黄晓明教授团队为她完整切除肿瘤,未损伤喉气管及喉返神经。何女士术后康复良好,目前已康复出院。
罕见肿物“绕颈”挤歪喉软骨
何女士脖子上有肿物快30年了,从10余年前起肿物明显增大,形似“大脖子”。在当地医院就诊时,医生因甲状腺肿物太大,手术风险大而不敢手术。

十余年来肿物进一步增大,何女士辗转求医,最后找到广东省医学会耳鼻咽喉科分会副主委、中山大学孙逸仙纪念医院耳鼻喉科主任黄晓明教授。
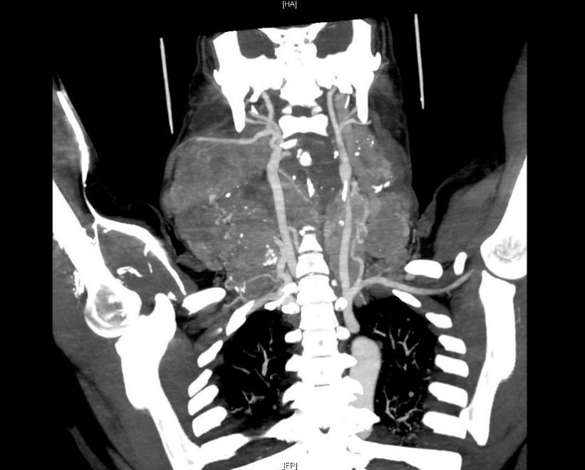
入院后经过超声及CT检查,黄晓明教授团队发现何女士的巨大甲状腺肿物已向下进入胸骨后方,压迫气管,并将喉推向一侧。甲状腺细针穿刺病理检查提示,甲状腺乳头状癌伴颈部淋巴结转移,最大直径超过20厘米,部分肿物已经探及颈后区和锁骨下方,术前胸部CT提示双肺多发转移瘤(见下图)。

克服“三大难关”,完整切除肿瘤
“甲状腺乳头状癌是常见的甲状腺恶性肿瘤,但如此巨大的甲状腺乳头状癌实属罕见。”黄晓明教授介绍,处理这一病例需要面对三大难关:
第一,肿物巨大,与颈部大血管关系密切,稍有不慎即可导致难于控制的大出血,手术时间不能太长。
第二,受肿瘤影响,甲状旁腺移位,原位保留甲状旁腺难度极大。但如果切除甲状旁腺原位,术后患者会出现低血钙,影响生活质量。
第三,由于气管受压,喉软骨受压并移位,术中常规保护喉返神经的基础上,还需考虑处理气管及喉软骨病变的可能,以保证术后气道安全。
面对这么棘手的病例,团队通过多学科会诊后,确定以手术为主,术后辅以碘131治疗的综合治疗方案。
通过严密术前准备,在麻醉科的配合下,黄晓明教授团队历时5小时,将这一累及全颈的巨大甲状腺癌完整整块切除,切除的肿物总长超过40厘米。手术过程未损伤喉气管及喉返神经,患者没有出现声嘶及呼吸困难。同时,原位保留双侧上下甲状旁腺,术后甲状旁腺功能良好。
甲状腺癌多“温和”?手术规范很重要
黄晓明教授指出,随着现代人工作生活压力徒增及甲状腺超声体检的普及,甲状腺癌发病越发增多。最新流调显示,我国甲状腺癌发病率在2005到2015年之间,年均增加12.4%,同时甲状腺癌死亡率同步增加。
“大多数甲状腺乳头状癌分化较好,但容易早期发生颈部淋巴结转移,处理欠规范容易导致术后复发,是甲状腺癌致残及致死的重要原因。”黄晓明教授介绍,该甲状腺癌患病时间长,跨度大,肿瘤巨大,手术风险高。因此,甲状腺癌虽是常见癌症,性情相对“温和”,但医生和患者也不可掉以轻心。
黄晓明强调,患者发现颈部可疑肿物应尽早就医,医生则要根据每位患者情况,及时手术切除,以免产生后患。同时,甲状腺癌有不同的起源和分化类型,术前需根据超声及穿刺病理结果,结合CT、甲状腺抗体、标记物及基因检查等结果,与患者沟通后,制定规范的治疗和手术切除方案。
文、图/广州日报·新花城记者任珊珊
通讯员张阳、黄睿、陈仁辉
广州日报·新花城编辑李津