2岁男孩小烨(化名)突然“蔫了”,一周后,原本蹦蹦跳跳、十分活泼的他走路不稳,总说头痛,还会呕吐。家人立即送他到当地医院儿科检查,发现孩子的脑内盘踞着一个巨大的肿物。
广州日报·新花城记者近日从中山大学肿瘤防治中心获悉,小烨得的是恶性室管膜瘤。2岁宝宝的颅脑最长径15厘米,而肿瘤的直径就达到了11厘米。巨大的肿瘤将“掌管”呼吸和心跳的中枢——脑干往右侧推移2厘米,让小烨的生命危在旦夕。幸运的是,经过医生护士们的全力施救,小烨的脑肿瘤被顺利切除,孩子恢复如常。
中山大学肿瘤防治中心神经外科王翦主任医师特别提醒广大家长,儿童难以准确描述症状,而脑肿瘤多表现为呕吐等非神经系统症状,容易误诊。家长应了解一些颅脑疾病的科普知识,细心观察孩子生长发育、日常行为有无异常。一旦发现婴幼儿出现头围偏大、发育迟缓、反复呕吐、行走不稳等情况,需高度怀疑脑部病变,应尽快就医并进行颅脑MR检查。
整个左侧大脑都被肿瘤波及
五一假期刚结束,付先生和妻子怀抱2岁儿子小烨,从广西的家里赶到广州求医。小烨因突发头痛、呕吐且行走不稳,被诊断为恶性脑瘤。辗转多家医院后,一家人怀着最后一线希望,慕名向中山大学肿瘤防治中心神经外科王翦主任医师求助。
通过仔细检查,王翦初步判定小烨颅内巨大肿物位于左侧颞顶枕叶,考虑很可能是恶性室管膜瘤。
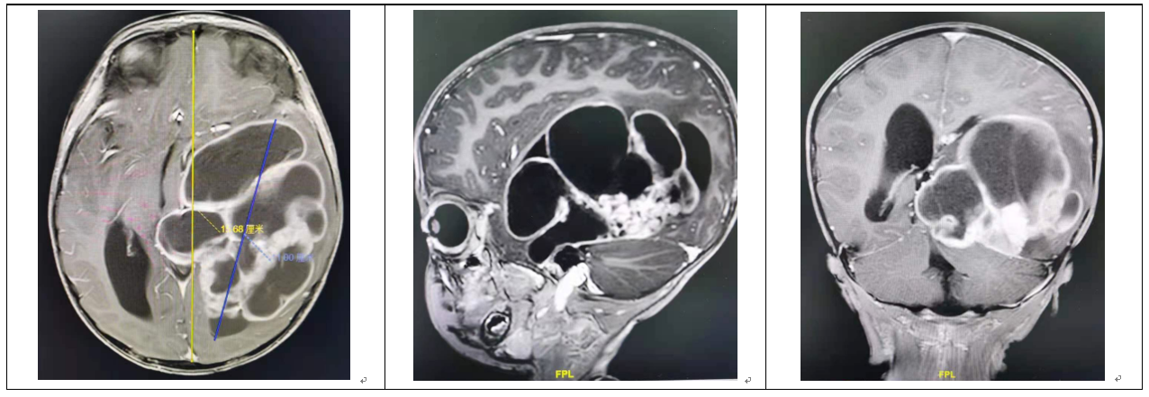
2岁的小烨头颅最长径15厘米,而肿瘤直径达11厘米,几乎波及整个左侧大脑。巨大的肿瘤破坏左侧颞顶枕叶脑组织,会影响患儿的语言、肢体活动、视觉和认知和记忆功能等神经功能障碍。更糟糕的是,肿瘤将大脑“掌管”呼吸和心跳的中枢——脑干往右侧推移2厘米,颅高压明显,孩子随时都可能有生命危险。

术前的小烨:小脑袋都被肿瘤撑大了
手术切口仅有4厘米
手术是最关键的救命手段,但小烨脑内肿瘤异常巨大,备受病痛折磨的小烨体重仅有11公斤,机体代偿功能非常不完善 ,手术面临出血性休克、失语和肢体肌力下降等巨大风险。
“医生,宝宝还能做手术吗?他才只有2岁,救救他吧!”看到小烨纯真无邪的眼神以及付先生夫妻痛苦无助的样子,王翦决定冒风险为小烨争取一线生机。
小烨入院后,神经外科对他的病情进行讨论后,又联合儿童肿瘤科进行MDT,制定了尽可能完全切除肿瘤并保护好言语、肢体力量等功能的详细手术方案和后续综合治疗方案。
“手术难度很大。我们要尽量减少出血。孩子这么小,少量出血也可能导致休克,甚至死亡。”王翦介绍,肿瘤巨大且侵犯范围广,要尽可能做到全切有一定难度,在尽可能切除肿瘤的同时,还要尽可能减少对正常脑组织的损伤,保护神经功能。
5月14日,王翦带领的外科团队、赖洁兰主治医师为主的麻醉团队、周怡主管护师为主的护理团队,组成10人手术团队,为小烨进行了“左侧颞顶枕叶巨大肿瘤显微切除术”。王翦精心设计了4厘米大小的皮层切口,将盘踞在小烨脑内的巨大肿瘤全部切除。术中出血仅100毫升,术中小烨生命体征稳定。
术前MR(上图):头的最大直径15厘米,而肿瘤直径达到了惊人的11厘米

术后MR(下图):肿瘤被全切除,脑干也复位了
当天下午五点左右,手术结束后半小时,小烨苏醒过来,举起双手,开口就呼唤“妈妈”。术前担心的言语和肢体活动功能受限等情况,都奇迹般地避免了。
见此情景,付先生一家人激动地流下了眼泪,而一直关注着孩子安危的王翦也终于可以放心地去做一件事———去吃已延迟五个小时的午餐。
广州日报·新花城记者获悉,经过中肿医护团队2周来的精心治疗,小烨术前走路不稳、头痛呕吐等症状已消失,言语和四肢肌力都正常,恢复到生病前的状态。

小手拉大手,术后王翦陪伴小烨
儿童脑肿瘤 手术后续治疗也很重要
中山大学肿瘤防治中心神经外科王翦主任医师介绍,间变室管膜瘤有一定恶性度,多发生于儿童和青少年,约占儿童脑肿瘤8%。
做完手术,不等于治疗结束。王翦指出,即使手术切除得很干净,术后间变室管膜瘤也有一定的复发风险,还有可能发生脊髓播散,“如果不做后续治疗的话,复发几率可达40~50%”。他强调,3岁以上的儿童术后应加做放疗和化疗。3岁以下的幼儿不适合做放疗,但也要做化疗。放化疗后复发率仍有20%左右,所以定期复查非常重要。
在肿瘤医院,儿童患者是最特殊的群体——他们的人生刚刚起步,便因病魔的侵扰而前路黯淡无光。在每一位患儿的背后,是一个个陷入困顿与绝望的家庭。
“婴幼儿患儿家长所承受的压力和痛苦,我有很深的体会。相信每个父母都会尽全力去为孩子寻医治病,我们医务工作者也会全力救治孩子。”王翦给患儿父母四个建议:
1.不要慌乱,不要轻易放弃,多咨询专科医生的意见;
2.积极配合医生的诊疗方案;
3.主动和主诊医生沟通,充分了解患儿病情并提出自己想法;
4.目前医学水平还不能治愈所有疾病,如果经过各种努力,仍难对抗病魔,过度的治疗只会增加患儿的痛苦和家庭负担,家长们要理智面对现实,妥善为孩子安排最后的时光,“请家长们不要长久地陷入自责和痛苦的情绪。”
文/广州日报·新花城记者任珊珊 通讯员陈鋆、文朝阳、韦玮
广州日报·新花城编辑李津