腹部高高隆起犹如怀胎十月,行走困难、双腿疼痛......53岁男子周某因患巨大骨盆软骨肉瘤,被北京、广东、广西多地医院诊断为“肿瘤不可切除”。近日,中山大学附属第一医院骨肿瘤科联合多学科团队的专家,冒风险为周某成功切除了重达12公斤的超大肿瘤,并进行半骨盆假体重建,帮他保住了右腿的功能。
“得病是不幸的,但我们遇到了这么仁心仁术、医技精湛、医德高尚的好大夫,我们全家万分感谢。”7月6日,在出院前,患者家属写下感谢信,向勇于挑战高难度手术的医生们表达谢意。
“如此巨大的肿瘤,与周围脏器粘连,与重要血管’捆绑’,手术中一旦破裂 ,后果不堪设想。”我国著名骨肿瘤专家沈靖南教授表示,如果患者家属不理解、不支持,那么医生未必会冒风险挑战这样高难度的手术,“医患互相信任、互相支持,才能让'不可切除的肿瘤’有机会被成功切除。”
肿瘤逞凶:肠子被挤开, 血管遭压扁
3年前,广西玉林人周某无意间发现肚子长了一个小肿块。“我老公一开始用绳子绑住肚子来’消肿’,后来又听人家的介绍,喝辣姜水、敷草药,但没用!”周某妻子介绍,肿物不仅没有缩小,反而越长越大。周某渐渐消瘦,肚子犹如怀胎十月一般隆起, 右腿还出现了疼痛、麻木等症状。
他先后辗转北京、广东、广西等地多家医院骨肿瘤专科求医,被诊断为骨盆软骨肉瘤。由于肿瘤巨大,手术难度大,患者只得采用介入栓塞和冷冻消融治疗,但疗效不好。眼看肿瘤越长越大,患者几近崩溃。
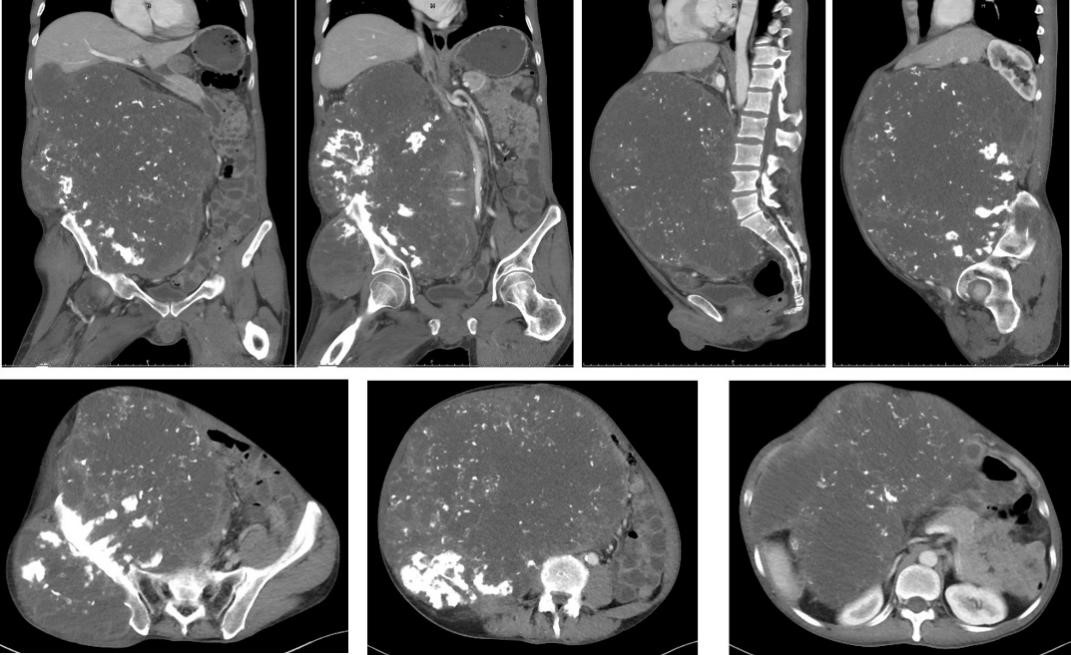
“他来到我们门诊时,由于肿瘤压迫腰骶部神经,行走困难。影像检查显示,肿瘤占据整个腹腔,肠子被肿瘤挤到一边,下腔静脉血管被压扁了。”中山大学附属第一医院骨肿瘤科邹昌业主任医师介绍,当时患者的情绪非常低落,如果再不及时采取干预措施,等待着他的将是被肿瘤活活“憋死”的结局。

CT检查结果显示肿瘤体积巨大
“虽然肿瘤很大,但它属于低度恶性软骨肉瘤,转移风险相对较低,手术彻底切除后,治愈的机会还是很高的。”家属回忆,当时邹昌业的一席话,让他们得到很大的安慰。
邹昌业随即发起全科讨论,沈靖南主任仔细研究患者影像资料后,认为患者为骨盆软骨肉瘤,肿瘤侵占半个多腹腔,肝肾、肠道、主动脉、下腔静脉等均受压移位明显,手术风险的确很大,且需要胃肠外科、血管外科、泌尿外科、麻醉科、手术护理等多学科团队保驾护航,“如果没有强大的多学科团队支持,就难以顺利地将肿瘤彻底切除。”
术中采用“漂浮体位” 医生护士配合精准
周某入院后,中山一院多学科专家进行MDT讨论,从手术体位摆放、手术方案、并发症的预防等制定了详细方案。术前,多学科团队不断鼓励患者,让患者树立起手术治疗的信心。
考虑到周某的病情复杂,医生们做好了手术中发生大出血的应对准备。“这种手术出血可能超过10000毫升。血管外科专家当时一直在手术台下候命,万一有险情,就将立即上台修补血管。”邹昌业介绍 ,多学科医疗团队和护理团队做好了充分的术前准备,确保手术每个环节都有预案。

多学科会诊,术前详细制定手术方案
6月8日,周某被送上手术台。术中,医护团队在麻醉后先经输尿管逆行插管,进行“右半骨盆+盆腔+腹腔巨大软骨肉瘤整块切除+半骨盆假体重建术”。
多位医生接力上台,有条不紊地分离保护髂外血管,凿断耻骨、坐骨支,切开骶髂关节,使肿瘤能够移动,随后包膜外分离肿瘤周围,同时将与腹膜黏连紧密的部分肿瘤一起完整切除。
由于手术切口巨大,在周某的胸口、背部、腰侧分别留下有30厘米、30厘米、15厘米的切口,护士们需要对周某实施体表皮肤“360度消毒”。手术中还采取特殊的“侧卧漂浮体位”,也就是固定患者的上半身,手术护士配合医生的进度 ,根据手术部位的变化,前后翻动、调整周某的下半身体位置,也避免长时间压迫神经导致功能受损。术中,护理团队配合精准,成功地完成了这项任务。

切除肿瘤后,中山一院胃肠外科吴晖副教授协助探查腹腔及修补腹膜,在多学科团队协助下,进行半骨盆假体重建,保留右侧肢体及功能。
“我们的经历,可以给其他病友信心”
整个手术历时10多个小时,术中患者生命体征平稳,术后至ICU短暂治疗后,转回骨肿瘤科病房。经过术后康复治疗,周某恢复情况良好。“他现在终于能笑了,以前因为生病,很少笑。”周某妻子说,他还会用自己的求医经历对病友现身说法,鼓励病友坚持治疗。
在出院前,患者家属写来了一封情真意切的感谢信以表达他们对医护团队的感谢之情,信中写道:“非常感谢沈主任、邹教授给了我丈夫第二次生命,在住院期间,我们衷心感受到了您团队的温暖,邹教授对待病人和蔼可亲,一心为病人着想,术前给予了病人很大的信心和鼓励,术后又关怀备至。我们知道,疾病是不幸的,但我们遇到了这么仁心仁术、医技精湛、医德高尚的好大夫,让病人脱离了疾病的苦海。我们全家万分感谢,感谢沈主任、邹教授和多学科团队的救命之恩,这份感激之情将永远铭记于心,希望我丈夫的经历,可以给其他患者更多的信心和帮助。”
邹昌业主任医师表示,虽然该病例难度和风险极大,但看到患者能够以良好的精神和身体状态逐渐融入正常生活,也是对医者仁心最好的诠释。
他提醒大家,软骨肉瘤对放化疗不敏感,手术治疗是唯一有效的治疗方案,绝大多数患者能够获得良好的预后。他建议患者“早发现,早诊断,早治疗”,手术越早,并发症越少,术后恢复也越快,复发率也越低,效果也越好。
目前,对于像软骨肉瘤等累及复杂部位的骨与软组织肿瘤,如骨盆、骶骨和脊柱等部位,往往建议到有经验的、综合实力较强的诊治中心就诊。

患者家属书写的感谢信
广州日报·新花城记者任珊珊 通讯员梁嘉韵、彭福祥
广州日报·新花城编辑翁淑贤