脑内长了6CM大的巨型肿瘤了,危及生命!记者今日获悉,广州中医药大学第一附属医院白云医院神经外科手术团队近日成功为一名老年男性患者切除6cm*5cm*5cm大小,比鹅蛋大的罕见的巨大脑肿瘤。术后患者偏瘫消失,没有出现并发症,目前即将康复出院。

如此巨大的脑肿瘤全部切除,在临床上实属不易。该院神经外科负责人、主任医师刘建民表示,医院神经外科已经拥有良好的技术实力,未来将逐步开展脑动脉瘤开颅夹闭术、脑血管畸形切除术、椎管内肿瘤切除术等新技术、新业务。
脑内长有巨型肿瘤,威胁生命!
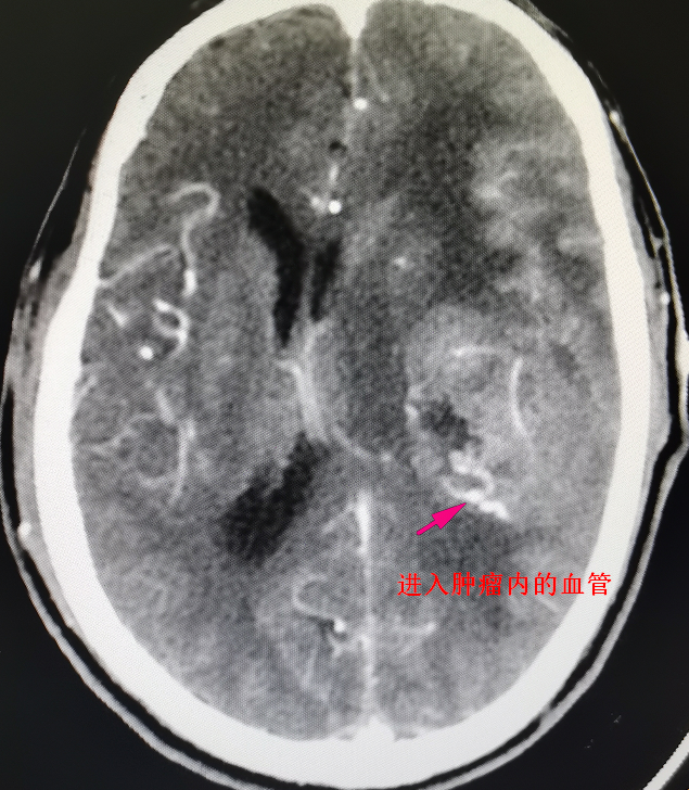
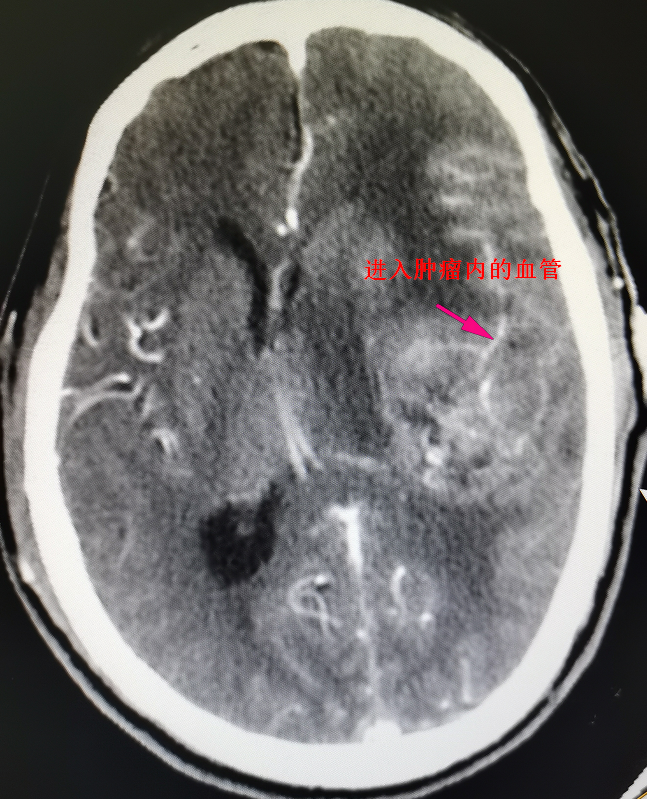
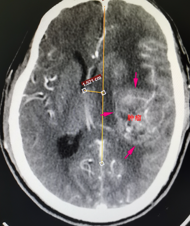
62岁的陈先生于今年曾因偏瘫在外院住院治疗无好转,且症状不断加重,甚至出现言语不清,小便失禁等异常。经影像检查(见图1)提示为左颞叶基底节区脑肿瘤,约6cm*5cm*5cm大小,比鹅蛋还要大,肿瘤位置深,向前累及外侧裂,包裹外侧裂部分血管,向下累及基底节区,肿瘤血供丰富,必须尽早实施手术治疗。
但种种症状标明,这是一台难度极大、风险极高的手术!
“由于肿瘤体积巨大,并且侵犯语言及肢体运动功能区,包裹外侧裂重要的动脉血管,患者已出现瘫痪加重、失语、并发梗塞等严重并发症。手术的难度和风险极高非常大,但也是唯一出路!”神经外科负责人刘建民主任医师表示。
对于脑内这个巨型“定时炸弹”,陈先生深知手术的复杂性和风险性,尽管经过长达两个多月的四处求医,仍犹豫不决不敢手术。鉴于这两个多月陈先生进食少,身体状况日渐愈下,不再允许继续保守治疗!经与刘建民反复沟通,患者最终信任并选择在该院实施手术。


术前影像资料及手术标本,术前见中线结构严重偏移,侧脑室受压缩小,肿瘤周围水肿严重,肿瘤血供丰富
“拆弹”手术历时4个多小时
为了确保手术万无一失,刘建民带领副主任医师沈伟俊、曹亮辉等专家团队做了充分的术前准备,制定详实的手术治疗方案。
“由于肿瘤的位置侵犯外侧裂,影像学确定肿瘤包裹外侧裂的分支血管,有大脑中动脉以及枕动脉的多分支供血,紧邻肿瘤的还有过路血管。被包裹大的过路血管是不能损伤的,术中不小心损伤这段血管的话,大脑就会出现梗塞等一系列的并发症。”刘建民表示。
开颅脑肿瘤切除术中,患者随时出现的种种风险无不考验着医疗团队。虽然经过术前精确预估,但是术中还是遇到出乎手术前预料的情况。
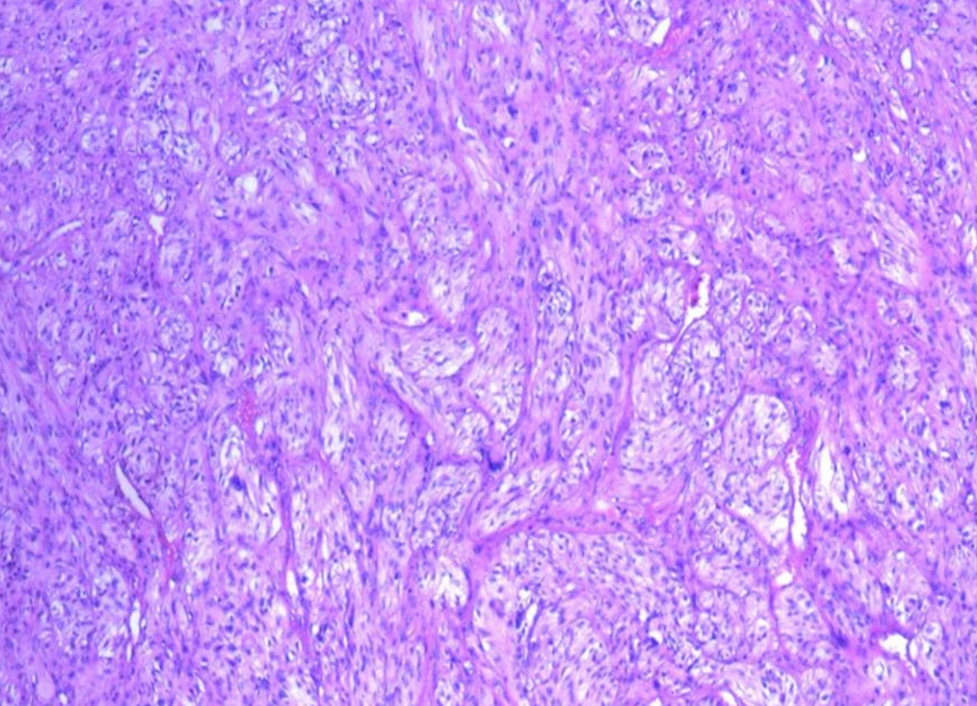
肿瘤质地异常坚硬,是一种非常罕见的脑肿瘤病理类型(见图2),难以像普通胶质瘤那样分块切除(经过总院病理检查最终诊断是很罕见的病理类型:胶质肉瘤),但手术团队凭借成熟的手术技能,经过4个多小时,成功解决手术中遇到的种种难题,将肿瘤包裹的血管分离开,保护语言、肢体运动功能区,并且将肿瘤精准成功全部切除,瘤床也获得精确彻底止血。
图2.手术标本及术后病理检查结果为罕见的脑膜型胶质肉瘤
当晚术后六小时,麻醉效果渐渐消退,陈先生的言语及肢体肌力逐步好转,“太神奇了,我又可以自己走路了,虽然还不是很稳,但真的很感谢广中医一附院白云医院神经外科的专家团队!”陈先生给科室医生竖起大拇指。
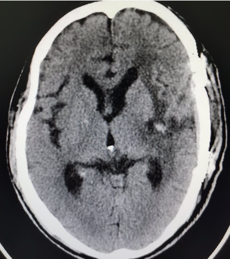
据术后复查颅脑CT(图3)结果显示,巨大的脑肿瘤已全部切除,瘤腔无渗血。术后患者意识、肢体功能、言语等情况均大幅度的好转,极大提高了病人的生活质量。
图3.术后影像资料,肿瘤被完全切除,脑室恢复,中线回位,脑水肿好转
提醒:及时发现脑肿瘤早期信号
在最大限度地保住患者神经功能的同时,做到肿瘤全切,是脑肿瘤切除的最高境界。新业务新技术的顺利开展离不开院领导的指导以及兄弟科室的通力合作。该项手术的成功开展体现着白云医院整体的综合实力,是广中医一附院白云医院与总院推进紧密型医联体建设以来所实行的同质化管理、区域医疗资源共享模式的成果之一!
刘建民提醒各位街坊,恶性脑肿瘤是可以“战胜”的。头痛、呕吐、手麻、腿脚不听使唤、语言不利落,这些是脑肿瘤的早期信号,要及早发现肿瘤的这些蛛丝马迹。脑肿瘤发现的越早,越早治疗,治疗效果越好。
“即使经神经外科专科医生检查出脑肿瘤,也无需谈瘤色变。”刘建民表示,近年来随着医学技术的不断进步,特别是显微神经外科技术的进步,大部分恶性脑肿瘤可以经手术全部切除,并且大部分病人有机会接受手术而不会出现后遗症,术后再通过放化疗配合中医的综合治疗措施,可以治愈部分肿瘤,或大大提高存年限,实现带瘤生存,把恶性肿瘤变为可防可控的慢性病,用副作用小的药物,控制住它的发展,无论是对延长患者生命,还是降低患者心理负担,抑或是提高患者生存期的生活质量,都是极为重要的。
文/广州日报·新花城记者:汤南 通讯员:潘玉菲、董穗
图/广州日报·新花城记者:庄小龙 通讯员:潘玉菲
广州日报·新花城编辑:曾卫康