信息时报讯(记者 刘俊 通讯员 霍永宝 冼咏琪 许咏怡)痛风=尿酸高?专家表示,多数情况下确实如此,但是痛风还会不按常理出牌,有的街坊明明很痛,尿酸却一直正常,有的街坊尿酸快500却一直没有痛风症状。

从李伯手肘取出的痛风石。通讯员供图

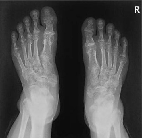
李伯双足X线片见双侧脚趾多处小囊状骨质破坏。通讯员供图
关节肿痛疑似痛风 尿酸检测一直正常
近日,广州医科大学附属第二医院风湿免疫科接诊了一位63岁李伯,5年来双手腕关节、右肘关节、右踝关节反复肿痛,曾间断服用非布司他降尿酸,但疗效不佳。接诊医生发现,李伯双腕关节、右肘及右踝关节肿胀压痛,右肘关节可见一个大约2cm×2cm的结节,疑似是类风湿关节炎。收治入院后多次检查,李伯尿酸值一直显示正常。李伯有点不解:“尿酸值不高那就不是痛风吗?”
为了进一步明确病因,科室为李伯进行了多项检查,结果显示,李伯类风湿关节炎的特异性抗体均阴性,双足X线片见双侧脚趾多处小囊状骨质破坏。随后,科室为李伯进行了右肘关节结节活检术,术中取出完整痛风石。果然,困扰了李伯多年的罪魁祸首就是痛风!
尿酸高不一定发生痛风 痛风也可能尿酸不高
高尿酸血症是指血尿酸超过420umol/L时,这个时候尿酸盐浓度超过了血清尿酸盐的溶解极限,发生痛风性关节炎或肾脏结石的风险开始增加。
我国高尿酸血症发病率为13.3%,随着生活水平的改善,逐渐呈现出年轻化趋势。成年人血清尿酸盐水平与血清肌酐和尿素氮水平、体重、身高、年龄、血压和酒精摄入有很强的相关性。可以说,高尿酸血症是痛风发病的基础,但是,高尿酸血症不一定发生痛风。
一直都说高尿酸血症是痛风发生的基础,那么为什么痛风急性发作的时候尿酸可能不高,甚至反而降低呢?据研究报道,这一现象的发生率竟高达49%!可能有如下3点原因:
1.过高的血尿酸在血液中析出结晶,沉积于关节部位,因而血液中检测到的尿酸值可能不高。
2.痛风急性发作是一种剧烈的炎症反应,这个过程中产生众多的炎症因子,其中包括白细胞介素6。一方面白介素6可激活下丘脑-垂体-肾上腺轴,皮质醇的释放有助于降低尿酸水平;另一方面,白细胞介素6可使尿液中尿酸排出增加,以期维持体内尿酸的稳态。
3.降尿酸药物的干预作用。尿酸水平的剧烈波动是诱发痛风的重要因素。降尿酸药物的作用越强,诱发痛风急性发作的可能性越大。因此,我们曾一度主张痛风急性发作期不启动降尿酸治疗。
广医二院风湿免疫科副主任黄文辉主任医师表示,和不少痛风病友一样,李伯曾不规律服用“非布司他”这种降尿酸药物,疼痛的时候吃一下,过后就不管了,造成了“越吃越痛,但尿酸又不高”的怪象。
治愈痛风 重在慢病管理
据黄文辉主任医师介绍,高尿酸血症一旦诱发了痛风,疼痛部位就会产生尿酸盐结晶,并像“根据地”一样扎营安寨,逐渐扩大形成痛风石,对关节造成持续的侵蚀破坏,这个毒瘤不清除,痛风是不会好的,还会时不时发作。
因此,痛风治疗的重点,在于溶解、清除体内的尿酸盐结晶。当尿酸盐浓度低于420umol/L时,痛风的年发病率降低至0.1%。对于痛风的慢病管理,我们的治疗目标则是把尿酸长期稳定控制在360umol/L以下,这样痛风的发作就会显著减少。当尿酸达到300umol/L以下时,痛风石便开始溶解,从而达到“治愈”。
为了便于记住高尿酸血症的数值以及引起大家的关注和重视,第四届海峡两岸医药卫生交流协会痛风学组专业委员会正式提出倡议,将每年的4月20日(4.20)定为“全民关注痛风日”,今年已经踏入了第5个年头,主题为:治愈痛风,重在慢病管理。
最后,专家提醒广大高尿酸血症和痛风病友:尿酸420是警戒,一旦发作真要命,安然不痛莫松懈,规范用药是关键,一起360说再见。尿酸不高也是有可能出现痛风的,怀疑痛风发作,请及时至风湿免疫科就诊。对于已经有痛风的患者,请做好科学管理。