5岁的扬扬被家人发现听力下降,来到广州市红十字会医院耳鼻咽喉头颈科就诊,最终被诊断为左侧耳蜗神经缺如,左侧窝神经孔闭锁。面对诊断报告,扬扬的妈妈懊恼不已,原来扬扬刚出生时没有进行新生儿听力筛查。专家提醒,新生儿听力筛查一定要重视!
跟同龄孩子相比,5岁的扬扬显得有些呆呆的,跟他说话,他好像总是听不见,有时候要说好几遍才能听清楚,后来家人才发现原来孩子的听力不行,于是带他到广州市红十字会医院耳鼻咽喉头颈科就诊,该院副院长于峰教授对扬扬进行纯音听阈测试,初步诊断其为单侧感音神经性耳聋。
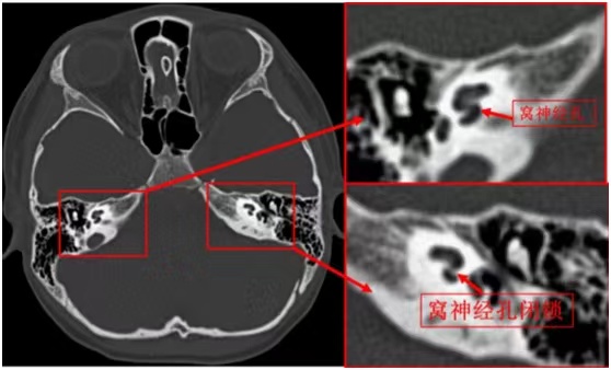
为了进一步确诊,于峰开具了中内耳 CT薄层、磁共振内耳和水成像检查(此检查可获得薄层、高空间分辨力的图像来显示内耳细微结构及穿行于内耳道之间的神经和血管)。
放射科副主任医师李艳梅通过询问患者病史,仔细查看扬扬的磁共振及CT影像,发现他左侧蜗神经孔闭锁,蜗神经缺如,结合扬扬的纯音听阈测试结果,经科室讨论后认为扬扬为左侧耳蜗神经缺如,左侧窝神经孔闭锁。随后,梁治平主任专门与耳鼻喉临床医生进行了图像解读讨论。于峰为患者家长做了详细解析并给出了治疗方案。

患者的影像检查
面对诊断报告,扬扬的妈妈懊恼不已,原来扬扬刚出生时没有进行新生儿听力筛查。
新生儿听力筛查是通过耳声发射、自动听性脑干反应和声阻抗等电生理学检测,在新生儿出生后自然睡眠或安静的状态下进行的客观、快速和无创的检查。听力损失如不能被及时发现,会影响儿童言语和认知发育,造成沟通障碍。
于峰介绍,听觉在儿童学习语言和掌握知识中都发挥着至关重要的作用。很多患儿在刚出生时未进行听力筛查,因而未能及时发现,对于扬扬这种单侧听力丧失的情况,更难发现,往往在前去医院就诊才发现单侧/双侧听力有问题,但此时已经错过了学习语言的最佳时间(1-3周岁),最终导致言语和语言功能降低,甚至是社会适应能力低下、学习困难。“家长一定要重视新生儿听力筛查,早期发现听力异常患儿,及时进行预防和干预,对家庭和社会具有极其重要的意义。”于锋说。
发现孩子听力下降/丧失怎么办?广州市红十字会医院放射科主任曾旭文介绍,耳聋或听力下降患者(包括幼儿)都应进行内耳CT、MR检查。
除对耳先天性发育异常的诊断外,两项检查可对内耳肿瘤、听小骨的破坏与脱位、内耳迷路的破坏、中耳炎的波及范围进行诊断,还可以用于耳蜗移植的术前评估。CT能够显示细小骨质的改变,对听骨链疾病的诊断具有较高的价值。磁共振可以很好显示骨质内细小的软组织结构,对软组织特性反映较好,可显示双侧内耳膜迷路及内听道的精细结构。及早进行检查发现病因,才能进行针对性治疗。
文、图:广州日报全媒体记者张青梅 通讯员宋琳、胡颖仪
广州日报全媒体编辑 吴婉虹