很多人的印象中,晚期肝癌几乎没有什么好的治疗方案,当手术、放化疗无效时,只能坐等生命进入快速倒计时。
31岁的深圳居民赵言(化名)也曾这样以为。今年2月,当他查出肝细胞肝癌晚期时,巨大的肿瘤已出现了肺转移。
正当绝望之时,他得知中山大学肿瘤防治中心微创介入科副主任范卫君教授团队探索运用“1+1+1>3”的新组合疗法,为不少晚期肝癌患者保住了生机,延长了生命。
同样的奇迹在赵言身上也发生了。
四个疗程下来,他肝内的肿瘤和转移灶都大大缩小,癌症指标明显好转,整个人也恢复了活力。
创业初成 他没想到会被肝癌盯上
接受记者电话采访时,赵言已经完成了一万步的“每日打卡任务”,正想再骑一会儿自行车。“活着太好了!你不知道,我前段时间虚弱得连爬一段楼梯都没力气!”热爱运动的他笑言,要把失去的时间补回来。
正当而立之年的赵言在深圳创业多年,事业初成,家庭美满。正当意气风发之时,没想到自己会被有“癌中之王”之称的肝癌盯上。

图:视觉中国 图文无关
“一开始,右上腹部隐隐作痛,越来越重。”他立即到医院检查。在等候检查结果出炉的几天里,他的身体状况迅速恶化,腹胀、没胃口、乏力……面对“肝细胞肝癌C期(晚期),肝细胞肝癌伴门脉癌栓和肺转移,腹腔少量积液”的诊断报告,他不甘心,辗转找到范卫君教授求助。
“像他这样年纪轻轻得了肝癌,如今并不少见。”范卫君教授解释,病毒性肝炎是肝癌的最主要诱因,其中乙肝病毒感染者罹患肝癌风险是非感染者15-20倍。
在我国,乙肝相关性肝癌比例极高,约占总体肝癌的63.9%至90%!很多患者发病早期没有典型的症状或体征,等到感觉到肝区疼痛、出现黄疸时,大多已经到了中晚期,加上许多患者合并有肝硬化,能获得外科手术机会的肝癌患者往往仅为20%-30%。
不能手术?治疗当有新思路
随着技术的发展,不能做手术对晚期肝癌患者来说并不意味着“万事休”。医生们采用微创介入、靶向及免疫治疗来为患者“续命”。
经肝动脉栓塞化疗(TACE)是中晚期肝癌最常用的介入治疗方法,将导管选择性插入到肿瘤供血靶动脉后,注入适量的栓塞剂和化疗药物,中断肿瘤血液供应,并实现局部化疗,减少全身暴露。
另一种常用的微创介入手段即经肝动脉灌注化疗(TAI),通过导管经肝动脉连续滴注抗癌药物,使药物直接作用于肿瘤组织内,提高局部药物浓度,达到治疗肿瘤,缓解症状和延长寿命的目的。这种疗法相当于让肿瘤在有一定浓度的药物中“泡澡”, 同时外周血药浓度并不增加。
跟其他疗法相比,TAI既减少药物输送途中不必要的损耗,杀灭肿瘤更高效,又能避免对其他器官造成“误伤”。范卫君表示,有些抗癌药物,全身用药时副作用大,医生必须限制用药量,但药物浓度不够又会影响抗癌效果。而采用动脉给药方式则可安全使用这些药物,和静脉用药相比,药物的利用率更高。
范卫君团队采用的晚期肝癌动脉灌注的FOLFOX6方案,通过肝动脉灌注奥沙利铂局部高浓度给药,5-FU持续46小时的给药,使得整个肝脏内肿瘤接受抗肿瘤药物覆盖,达到杀死肿瘤细胞的效果,同时可以降低奥沙利铂的不良反应,保护肝功能,提升客观反应率,是目前临床观察到的最有效的系统性化疗方案。
近年来备受追捧的分子靶向治疗、免疫治疗,则分别扮演抗癌“神枪手”和“纠察队”的角色。前者是以肿瘤细胞特异性过表达分子标志物为靶点,选择相应的阻断剂,干预或彻底阻断该标志物信号通路,达到抑制肿瘤生长、进展及转移的效果。
后者则通过调控机体免疫系统来实现抗肿瘤作用,将想要“化妆潜逃”的肿瘤细胞揪出来,使免疫系统识别并杀伤肿瘤细胞。
“组团出道”?治疗做加法可增效
“这些手段也有鞭长莫及的时候。”范卫君指出,有些患者采用TACE/TAI治疗,会导致肿瘤组织缺氧,诱导促血管生长因子分泌增加,诱导肿瘤新生血管生成,出现了复发转移;靶向治疗易耐药,疗效持续时间短, 难以高效控制肿瘤;免疫治疗只能在一些晚期肝癌患者身上发挥一定的疗效……
近年来,范卫君率领团队探索让这些治疗手段“组团出道”,通过新颖的联合用药组合,实现“1+1+1>3”的目标。

中国医师协会介入分会消融专委会主委、中国抗癌协会肿瘤消融专业委员会候任主委、 中国临床肿瘤学会(CSCO)肿瘤消融治疗专家委员会副主委 范卫君教授(见上图)
TACE/TAI等局部治疗方式除了能够局部治疗肿瘤,减轻肿瘤负荷的作用,还具有修复免疫反应,产生新抗原,促进肿瘤免疫治疗的疗效。
肝癌的免疫治疗是通过调控机体免疫系统来实现抗肿瘤作用。以PD-1/PD-L1单抗为代表的免疫治疗药物的问世,为肝癌患者带来了新的希望。PD-1抗体目前常规是静脉给药,但动脉给药更有利于提高肿瘤局部药物浓度,更好的发挥肿瘤内T淋巴细胞杀伤肿瘤的作用。
靶向药物通过抗血管治疗改变了肿瘤生长的微环境,从而促进了免疫治疗的疗效,同时靶向治疗可以抑制TACE/TAI治疗后肿瘤血管的生成抑制了肿瘤的生长和复发。
局部治疗联合免疫治疗、靶向治疗从机制上有更好的肿瘤应答率,且具有延长患者长期生存获益的巨大潜力。
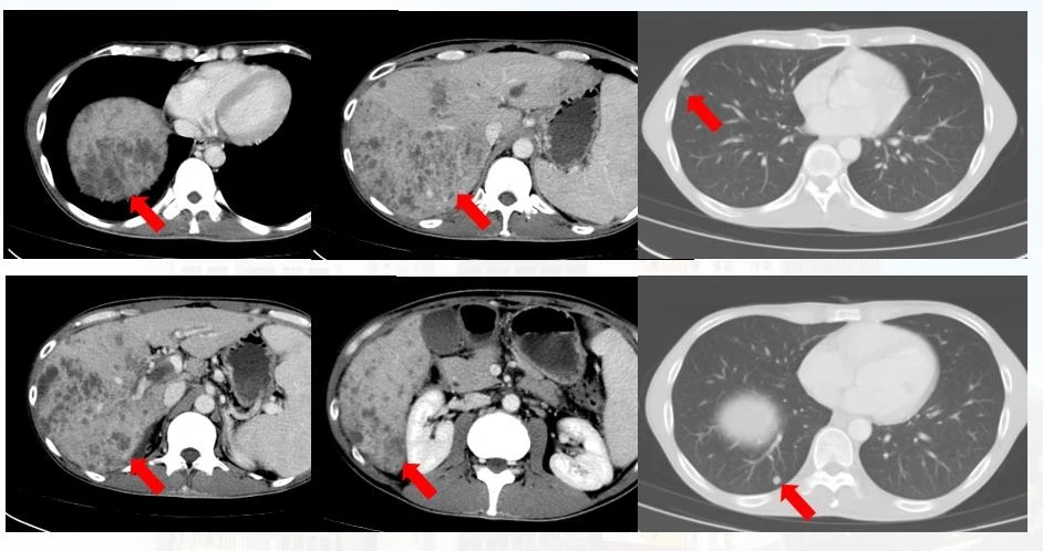
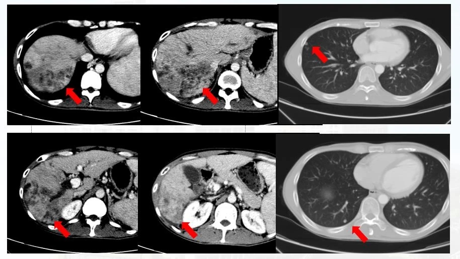
以赵言为例:


HAIC PD-1抗体动脉灌注 靶向治疗,第一个疗程后复查CT见上图( 2020-05-12 ),肝内及肺内病灶较前明显缩小。

第二个疗程后复查CT( 2020-06-12, 见上图)肝内病灶较前坏死增多,肺内病灶较前进一步缩小。

第四个疗程后复查CT( 2020-08-4,见上图 ),肝内肿物较前明显缩小、减少,门脉癌栓范围较前缩小,肺内病灶较前进一步缩小。
患者入院时胆红素为81.3umol/L,治疗一次后尽管升至99.7umol/L,但继续动脉灌注化疗后持续下降,最近复查降至25.6umol/L,患者的症状较前明显好转。
“目前在我们收治的晚期肝癌患者中,经动脉化疗栓塞或动脉灌注化疗联合靶向和免疫药物治疗均取得了很好的疗效,显著改善了患者的生存期,也同时大大改善了患者的生活质量。”范卫君表示,目前基础研究及临床实践均显示,TACE/TAI联合免疫及靶向药物治疗是未来肝癌特别是晚期肝癌重要的治疗方向,也是延长晚期肝癌患者生存期及提高生活质量的最佳治疗手段。
治肝癌 你可以这样当医生“助手”
范卫君鼓励患者:得了晚期肝癌不要怕,更不要丧失信心,调整好心态,积极配合医生的治疗,树立战胜肝癌的信心,让自己成为医生的“助手”,共同打好抗癌攻坚战。
他指出,晚期肝癌患者在进行微创介入、靶向及免疫治疗的同时,应积极地进行抗病毒治疗,并同时配合中成药调理,如槐耳颗粒等中药对提高患者的免疫力,降低术后的复发率都有较好的作用。
1. 养成良好的饮食作息习惯,不要劳累,在体力许可的情况下适度运动;
2. 不吸烟、不喝酒;
3. 调整心态,乐观对待治疗中的挫折,积极拥抱每一天。
广州日报全媒体文字记者任珊珊 通讯员陈鋆 文朝阳
广州日报全媒体图片记者任珊珊
广州日报全媒体编辑李津