近日,家住广州海珠区的于女士跳完广场舞后大踇趾突然红肿疼痛,无法穿鞋行走,随即来到南方医科大学中西医结合医院找到了骨伤科徐楚江主任医师就诊。原来于女士从小就踇趾外翻,徐楚江为于女士制定了无痛微创踇外翻矫形手术治疗个性化方案,解决了困扰她30多年的足部顽疾。
踇外翻30余年 小手术矫形解除困扰
于女士自述,母亲有踇外翻疾病,自己从小也是踇趾外翻,但是穿宽松的鞋子也不觉得疼痛,只是难看而已,也没有在意,但随着年纪的增长大骨结越来越大,尤其是运动后疼痛难忍,已经严重影响了她的生活。

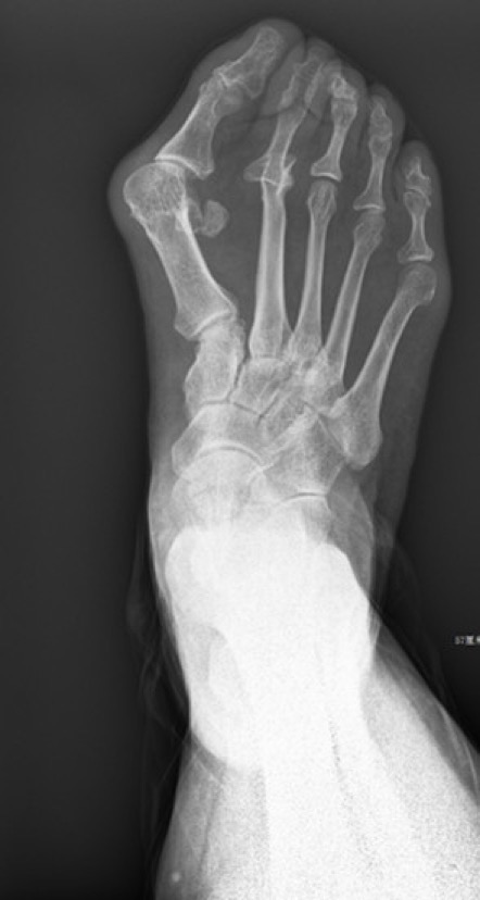
徐楚江介绍,踇外翻,俗称“大脚骨”病,简单说就是大脚趾根部的骨头,向内侧“跑偏了”,从外观看,像是多长出来了一块骨头。除了影响美观之外,更重要的是会引起大脚趾内侧疼痛、红肿,畸形形成后,难以自行矫形,局部疼痛逐渐加重,步行困难,男女比例1:9~1:15。
在徐楚江的建议下,于女士接受了微创矫形手术,术后第一天穿上特制前足减压鞋就能下地活动,在住院观察3到7天后就可以回家了。
高跟鞋和尖头鞋也会导致“大脚骨”
徐楚江指出,踇外翻具有一定的遗传倾向,家里人患有踇外翻的,子女患踇外翻的概率明显增大。由于女性足部韧带强度较男性弱,在同等遗传条件下,更容易发生踇外翻。而且韧带柔韧性随年龄增长而减弱,这也是踇外翻多见于中老年女性的原因。
另外,高跟鞋和尖头鞋是导致踇外翻的后天因素。由于女性爱美,所以经常穿高跟鞋、尖头皮鞋,使得前足紧紧地被包裹,并且在高跟站立时迫使足部强行挤进窄小的三角区域里,脚趾处于不正常状态。长此以往,就会逐渐形成踇外翻。
此外,负重过度也是引发踇外翻重要原因。踇外翻的形成与长久站立、行走时间过长,负重过度有密切关系。因此要注意要让自己的脚处于舒适状态,保护好自己脚部健康。
拇外翻如何防治?
徐楚江强调,对于早期或轻度的踇外翻病人,可以使用踇外翻矫正带,有助于减轻症状。此外,对于术后病人或轻度踇外翻者在选用鞋时以鞋头平宽的为好,鞋跟不宜太高;对于早期病变者,疼痛较轻,可采用非手术疗法,包括按摩、搬动踇趾向足内侧、在沙土地赤足行走、锻练足肌、热敷和休息等,在两侧第一趾套橡皮带作左右相反方向的牵引动作,每天4次,每次5~10分钟。或将橡皮条套在所有足趾上,足趾做分离动作。情况严重的,可以接受微创手术矫形,康复很快。
文、图/广州日报全媒体记者周洁莹 通讯员朱钦文
广州日报全媒体编辑吴婉虹