用最小程度的创伤保最大程度的听力!逸仙团队原创人工耳蜗“潜水”技术
逸仙名医
2024-07-24

(通讯员:黄睿、郭佳、刘文琴)在人工耳蜗术领域,耳蜗微结构保护、力求耳蜗创伤最小化,是最大程度保留残余听力、改善语后聋患者耳蜗植入效果的关键。近日,中山大学孙逸仙纪念医院耳鼻喉科副主任张志钢教授团队原创人工耳蜗“潜水”植入技术成果发表在European Archives Of Otorhinolaryngology杂志。据介绍,该成果投稿仅14天就被接收,获得国际高度认可。团队目前已为15例成年语后聋患者成功开展这项手术,保留听力效果良好,为人工耳蜗术后残余听力的保留提供了新策略。

 

论文发表页

 

听力障碍人群庞大,传统手术对残余听力保护不够理想

根据世界卫生组织最新报告,目前有超过15亿人(接近全球人口的20%)患有听力障碍,其中有4.3亿人患有致残性听力障碍。人工耳蜗植入(cochlear implant, CI)是目前最为有效的听力干预手段之一,作为一种人工电子装置,它通过植入体内的电极系统直接兴奋听神经来恢复或重建听觉功能。简单来说,人工耳蜗就是替代人体自身耳蜗。但是临床实践中发现,大部分患者术前低频区有部分残余听力,传统耳蜗植入手术以及术后异物反应对耳蜗微结构的损伤很大,一定程度上限制语后聋患者(尤其是术前具有残余听力)的术后开机效果。对此,张志钢教授团队一直致力于人工耳蜗术微创植入技术,力求耳蜗创伤最小化,最大程度保留残余听力,从而改善语后聋患者的耳蜗植入效果。

张志钢教授介绍,重视耳蜗微结构保护,可以有效保护手术患者(尤其是语后聋患者)残余听力的同时,还能保留未来随着人工耳蜗技术进步,患者接受再次植入的可能。此外,目前基因治疗已突显成效,精细结构保留可能会为基因治疗提供基础。

 

融合“柔手术”概念,逸仙团队首创“潜水”植入

为什么传统手术会造成耳蜗微结构的损伤?司瑜副教授介绍了国内外学者的主要观点,主要致损因素包括电钻机械损伤和噪声损伤、耳蜗开窗损伤、电极插入损伤、植入后异物反应以及包括术中操作导致听骨链脱位、鼓膜穿孔、中耳积液或积血等在内的其他因素。

“1993年,国外学者首次提出“柔手术”概念,即通过极其谨慎的手技巧减少耳蜗内部创伤,开创了人工耳蜗微创植入的先河。而我们团队一直致力于人工耳蜗术微创植入技术的探索,力求耳蜗创伤最小化,最大程度保留残余听力。”张志钢教授介绍。

经过多年的技术打磨和经验积累,团队开创了一项“潜水”植入技术。在“人工耳蜗微创植入”探索道路上迈进重要一步,开创新局面。这个新技术采用最佳的圆窗植入路径,根据“柔手术”原则,在耳蜗开窗前充分冲洗术腔并止血。在手术过程中,团队会在鼓窦入口处外接低流量激素(地塞米松)灌注系统,保持液体持续灌注,使术区结构清晰度放大约1.3倍;切开圆窗膜时,内耳开放在静水压相同的灌注液体,避免瞬时压力改变或淋巴液丢失造成内耳创伤;液体缓冲,避免耳蜗开窗时骨粉、血液落入内耳。

而电极则以“潜水”的方式,轻柔、缓慢地从开窗口“潜入”鼓阶,“游走”在外淋巴液中,减少电极摩擦力,避免损伤内耳精细结构。在电极植入过程中,还会持续灌注糖皮质激素,保护残存毛细胞,并减轻植入后炎症反应。

临床验证效果好,新技术“迈出国门”走向国际

据介绍,团队在新技术通过科学、严密的动物实验,证实了“潜水”植入技术的安全性和有效性,团队通过反复的对比、改进,明确了“潜水”植入的最佳参数。

 

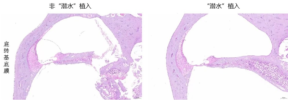
潜水插入技术明显减轻电极对耳蜗基底膜损伤

 

目前,人工耳蜗“潜水”植入技术已成功应用于15例成年语后聋患者。术中神经反应遥测结果良好、监测患者面神经功能良好,神态及肢体反应未见异常;术后患者均没有出现面瘫、脑脊液漏、眩晕、耳鸣等并发症,耳蜗位X线片示电极位置良好。术后1月开机率100%,患者自诉适配度良好,“听声柔顺,非电流脉冲声”,言语分辨率50%以上,日常生活交流正常,回归社会。

这项新型人工耳蜗植入技术近期发表于European Archives Of Otorhinolaryngology杂志,张志钢教授受邀在国内外学术会议上授课示教。未来,张志钢教授团队将进一步开展临床队列研究,探究“潜水”技术对内耳结构和残余听力保护机制,为这一新型人工耳蜗技术的临床应用和推广提供强有力的询证医学证据,为人工耳蜗术后残余听力的保留提供新策略。

 

张志钢教授于国际人工耳蜗会议示教“潜水”技术

 

张志钢教授于中国听觉植入技术新进展高峰论坛作专题报告

  

【专家简介】

 张志钢

主任医师,博士生导师

中山大学孙逸仙纪念医院耳鼻咽喉科副主任

中国医师协会广东耳鼻咽喉分会耳科学组组长,广东省健康管理学会耳鼻咽喉分会副主任委员,中华耳鼻咽喉-头颈外科学会广东分会常委,中国生物医学工程广东耳鼻咽喉-头颈外科分会常委。中华耳鼻咽喉头颈外科杂志通讯编委,中华耳科学杂志,临床耳鼻咽喉头颈外科杂志,中国耳鼻咽喉头颈外科杂志,国外医学耳鼻咽喉头颈外科杂志编委。2013-2018年连续六年被全国名医百强榜研究院评为中耳炎外科TOP10专家。

留学于瑞典和德国。主要擅长耳科疾病的诊断与治疗,完成耳硬化、鼓室硬化、先天性听骨链畸形、各种中耳炎所致的传导性耳聋的听力康复手术10000多例,其听力恢复达到国内领先水平。对难治性粘连性中耳炎病灶清除联合听力康复治疗有深入的研究和丰富经验,其成果发表于世界权威的专业杂志喉镜(《Thelaryngoscope》)上,创伤性耳廓缺损全耳假体修复写入欧洲指南。目前致力于听觉植入临床研究,特别是人工耳蜗植入在保留残余听力和保护内耳精细结构方面有深入研究,原创性“潜水”植入技术获国际认可,疗效显著。

相关研究成果获得国家自然基金项面上项目2项,中山大学临床医学研究5010项目一项,省市级课题多项。特别是中山大学5010资助项目《粘连性中耳炎的规范化治疗》的研究成果,以RCT的形式发表在耳鼻喉科最权威的The larynscope(Thomson Reuters JCR-SCI分区:Q2)上,被纳入粘连性中耳炎的治疗指南中。相关临床疾病研究与基础研究发表SCI近30篇。


 司瑜

副主任医师、硕士生导师

中山大学孙逸仙纪念医院逸仙优秀青年人才。掌握耳鼻喉常见病诊治,擅长各类病因引起的耳聋的精准治疗及突发性耳聋、颞骨恶性肿瘤的综合治疗,尤其擅长儿童耳部疾病的个性化治疗如儿童分泌性中耳炎、中耳胆脂瘤及特纳综合征耳部疾患的诊治。2016获得国家留学基金委公派至德国-杜伊斯堡埃森大学攻读博士学位,以最优等“Summa cum laude”成绩毕业,相关研究成果发表于Science immunology,且被肿瘤标志物协会评为“2019年度肿瘤标志物十大进展之一”。目前主持国家自然科学基金面上项目,青年项目、广东省自然科学基金及广州市-校联合基金等4项,主持逸仙临床培育项目1项,主持中山大学5010临床研究1项,以第一作者发表SCI论文18篇。

​​